2022年6月17至19日,2022 TAIPEI VALVE SUMMIT在线上成功召开。厦门大学附属心血管病医院王焱院长团队受大会邀请成功向大会和在线国内外专家进行一例TAVR手术演示。在王焱教授、王斌教授、陈翔博士带领下,以及麻醉科、超声科的协助下,为一位危重症IABP患者实施经导管主动脉瓣置换手术,手术过程顺利,取得圆满成功。术后患者状态良好,血流动力学均得到显著改善。
Wacin Buddhari教授,曹殿萍教授,林佳衝教授、Simon Lam教授,Toru Naganuma教授,郑正一教授,施志远教授,李怡教授,罗建方教授,袁义强教授等专家一同云聚线上,共同讨论TAVR在中国的发展现状。二叶瓣、高钙化一直是TAVR临床应用的挑战,而国内患者具有钙化重二叶瓣比例高的特点。与会专家对厦心团队的高超技艺和默契配合给以肯定,以及沛嘉TaurusElite设计和在高钙化病例中的表现表示高度赞扬。通过本次会议,有效促进大陆与台湾地区以及国外对于TAVR术式经验和器械方面的学术交流。
患者基本情况及术前超声评估:
64岁男性。临床病史:反复呼吸困难2个月。患有冠心病、陈旧性肺结核、胸腔积液、COPD、PAH等合并症。
入院超声评估LVEF值仅为39%,TNT 197ng/ml,NT-proBNP 13231pg/L,CREA 67 μmlo/L,BP 86/42 mmHg,STS score 7.325%。超声诊断为瓣膜性心脏病主动脉瓣狭窄(重度),主动脉瓣反流(中度),二尖瓣关闭不全(中度)。左房扩大;左室壁增厚;左室整体运动幅度普遍降低。左室收缩功能减低。微量心包积液。此次患者急诊入院即发生急性左心衰,予IABP维持下生命体征尚平稳,经结构性心脏病团队评估患者无法耐受传统外科开胸手术,遂拟行TAVR手术治疗。
主动脉根部评估及手术策略制定:
1.瓣环周长84.4mm,平均周长径26.9mm;
2.SOV瓦式窦周长114.6mm,平均周长径36.5mm ;
3.LVOT 周长95mm,平均周长径 30.3mm;
4.STJ 周长103.3mm,平均周长径 32.9mm,高度20.4mm。
手术策略制定:
1.CT三维评估表明为Type1二叶式主动脉瓣,左窦与右窦瓣叶融合,无冠窦有重度团块样钙化。
2.左右冠脉开口高度可,且左右瓣叶在高位融合处有明显的增厚,术前经手术团队进行评估,相应冠脉风险较低。
3.拟采用22mm球囊进行预扩,植入TaurusElite AV26瓣膜,使用Cusp-Overlapping技术零位或高危释放的策略降低术后新发传导阻滞风险。
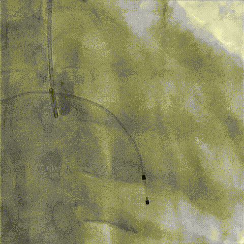
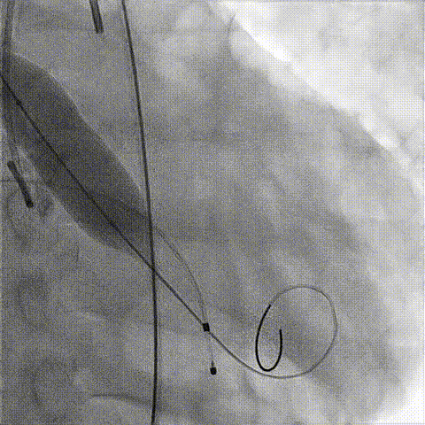
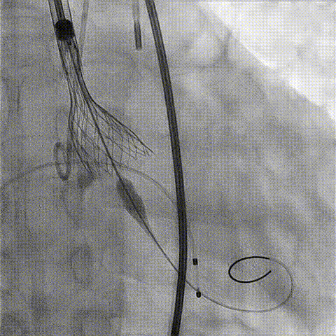
手术过程概览:
根部造影
球囊预扩
释放工作位造影
后扩后造影
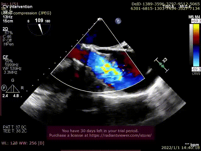
术后超声评估:
❖
中国患者主动脉根部解剖与欧美人群存在一些差异,具有先天性二叶瓣发病率高、风湿性瓣叶交界粘连重、瓣叶钙化程度高等特点。二叶式主动脉瓣狭窄曾被国外指南列为相对禁忌症,在国外相关报道中也常作为“Unfavorable”的解剖,极大增加了TAVR治疗的临床挑战。这就使TAVR在国内的开展除了借鉴国外经验外,需要针对中国患者的解剖特点积累更多适合国人的治疗经验。
2022 TAIPEI VALVE会议期间,王焱院长团队与国内外专家就国内TAVR技术进行了深入的交流和讨论。随着国内术者经验的积累,在术前策略分析的时候,会特别注意瓣上多平面的测量和钙化分布特点的评估。以判断最主要的锚定点在瓣环或瓣上,最终来选择合适的球囊和瓣膜尺寸。此外还要充分分析初始释放位置、目标植入位置,预估瓣膜移位、瓣周漏等相应并发症风险。这与国外通常以瓣环作为最主要的锚定点选择瓣膜尺寸的思路是不相同的。
王焱院长和与会海内外专家分享到:针对国内高钙化的解剖特点,需要足够支撑性瓣膜产品才能更好的保证植入远期效果。但我们临床实践也发现,钙化重的二叶瓣患者瓣上往往会呈现“火山口”的结构,过硬的瓣膜也会增加释放难度导致瓣膜下滑。此次演示的国产TAVR器械TaurusElite针对国内患者的特点进行径向支撑力的优化,在既满足足够径向支撑力的同时又增加释放的稳定性,使瓣膜释放更加容易定位,完美的贴合。再附加以优异的输送性能,可以最大程度减少入路血管的损伤。而多次回收设计,尤其是回收后可以重新跨瓣等设计特点,都增加手术安全性,增强术者信心。此次完美的手术演示也赢得了海内外与会患者的高度好评。
专家简介
王焱
厦门大学附属心血管病医院
主任医师,教授,博士生导师,厦心院长。
厦门市心血管疾病重点实验室主任,美国心脏病学院院士(FACC);香港大学医学院博士,中华医学会心血管病分会全国委员,中华医学会心血管病学分会介入心脏病学组副组长,卫生部海峡两岸医药交流协会心血管分会候任主任委员,中国胸痛中心认证工作委员会副主任委员,中国医师协会心血管内科医师分会委员,中国老年学学会心血管专业委员会常委。国务院特殊津贴专家,厦门市首届医学科学与技术带头人,厦门市科学技术重大贡献奖获得者,厦门经济特区建设30周年杰出建设者,第九届中国医师奖获得者。
门诊时间:周四下午。
王斌
厦门大学附属心血管病医院
陈翔
厦门大学附属心血管病医院
医学博士,主治医师,厦门大学附属心血管病医院主治医师,美国心血管造影与介入学会会员(FSCAI),中国病理生理学会会员,厦门大学医学院MBBS讲师,EHJ中国青年编委,CVIA青年编委。
擅长复杂冠心病、心脏瓣膜病的微创介入治疗。
承担和参与多项国家级及地市级课题研究。发表多篇SCI,第一作者单篇最高影响因子11.195(JACC interv)。
门诊时间:周一下午,周三上午,周日下午。


