2022年6月19日,广东省人民医院心脏外科郭惠明、刘健教授团队联合高州市人民医院曹勇教授团队成功应用KOKA CLAMP™经导管三尖瓣修复系统完成一例经导管三尖瓣缘对缘修复手术。患者术前三尖瓣极重度反流在术后基本消失,手术时间1小时10分钟,器械操作时间仅45分钟,即刻效果完美。此次手术的圆满成功正式拉开了KOKA CLAMP™注册上市临床研究的序幕,也标志着国内三尖瓣介入修复产品及临床技术开启新局面,将为更多三尖瓣反流患者带来重获“心”生的希望。
患者资料
57岁,女性
主诉:心脏瓣膜术后19年,胸闷气促2月余。
现病史:患者2003年因二尖瓣狭窄并关闭不全、主动脉瓣狭窄、于外院行二尖瓣主动脉瓣机械瓣置换术,三尖瓣成形术,术后恢复可。两月前因无明显诱因出现胸闷气促。于高州市人民医院复查彩超:二尖瓣主动脉瓣机械瓣功能正常,三尖瓣极重度反流。患者气促反复加重,夜间阵发性呼吸困难。自述口服“利尿剂”后症状稍缓解。今为求进一步治疗,以“三尖瓣极重度关闭不全”入院。
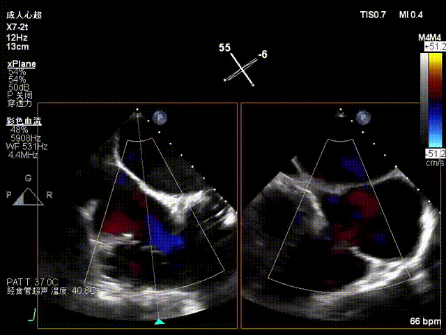
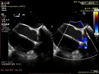
心脏彩超:三尖瓣关闭不全,收缩期可见极大量反流,VC>20mm,EROA:1.56cm²,反流峰速3.1m/g,压差33mmHg,三尖瓣反流5+。
术前TEE提示三尖瓣极重度反流
手术策略
经过充分的优化药物治疗,三尖瓣反流程度无明显改善,仍然反复出现右心衰竭与体循环淤血相关症状体征。经心脏团队讨论后认为患者目前具有干预三尖瓣的指征,然而患者已手术置换二尖瓣及主动脉瓣,外科再开胸行三尖瓣修复或置换术风险高,为使患者尽快得到有效救治,经广东省人民医院心脏外科郭惠明、刘健教授团队与高州人民医院曹勇教授团队进行联合会诊,缜密评估后,决定采用科凯KOKA CLAMP™三尖瓣瓣膜修复系统施行经导管三尖瓣缘对缘修复术。
手术在经食道超声心动图和DSA引导下进行,使用KOKA CLAMP™经导管三尖瓣夹合器,经左侧股静脉穿刺,送入导丝建立右心房通路,送入三尖瓣夹合器械,在右心房调整双层控弯导管,将夹合器置于三尖瓣前叶与隔叶间反流最大区域,在DSA与TEE不断调整超声探头的角度和位置保证清晰的手术视野的双重指引下,进行瓣叶的捕获与夹合,在经食道超声心动图反复确认手术效果后,释放三尖瓣瓣膜夹。
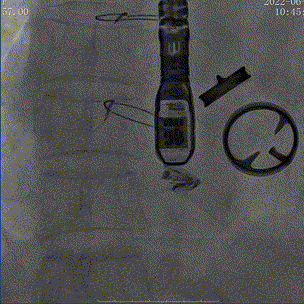
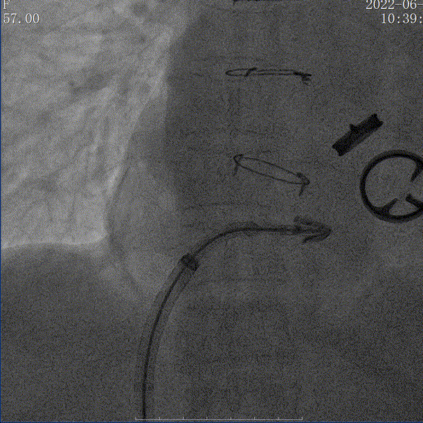
术中DSA
食管中段RV inflow-outflow引导前叶及隔叶分别捕获
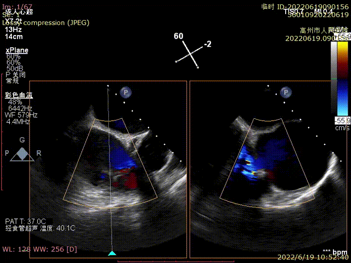
术后超声显示反流基本消失
术后DSA
此次手术全程仅用时一小时十分钟,器械从进入到撤出耗时45分钟,植入一枚夹合器,术后患者即刻超声心动图评估三尖瓣反流由5+下降至1+,手术取得圆满成功。
三尖瓣反流 (tricuspid regurgitation,TR) 是常见的心脏瓣膜疾病,欧美流行病数据显示其发病人群总数次于二尖瓣病变,高于主动脉瓣膜病变。其中功能性三尖瓣反流为主要病因,多继发于左心瓣膜病、心力衰竭、肺动脉高压和心房颤动等。美国全国注册数据显示10年内仅行单纯TR手术5000余例,单纯三尖瓣外科手术风险在瓣膜手术中是最高的,手术死亡率达8.8%~9.7%,亟待更加微创的经导管介入治疗方式。目前,虽然三尖瓣介入治疗技术路径繁多,真实世界中使用最广泛,临床证据最充分的依然是介入缘对缘修复,真实世界Trivalve注册研究显示接近百分之70%的介入三尖瓣手术是通过缘对缘技术完成的,凸显了介入缘对缘技术在三尖瓣介入领域中广阔的应用前景。科凯生命科学的KOKA CLAMP™经导管三尖瓣缘修复系统的问世,更是为我国广大的三尖瓣患者人群提供了更多的治疗选择。
专家简介
郭惠明
广东省人民医院
主任医师,教授,博士研究生导师。广东省人民医院、广东心研所心外科副主任,微创专业组、冠心病外科、房颤外科三学科带头人。现任AATS、ISMICS会员、亚洲心脏瓣膜病学会(AAHVD)中国分会常委、国家心血管病微创心血管外科专委会副主委、中国医师协会心血管外科医师分会常委和微创学组副组长、中华医学会胸心血管外科学分会委员、中国研究型医院学会心房颤动专业委员会副主委、 广东省医学会心血管外科分会副主委,广东省医学会微创外科分会常委等。 先后荣获“金刀奖”、国家名医、中国名医百强榜-心外微创专业第一名等。
刘健
广东省人民医院
副主任医师,博士研究生,硕士研究生导师,广东省人民医院瓣膜及冠心病外科手术组长,广东省人民医院房颤中心专家委员会副主任。Heart Center, Linkoping University Hospital,Sweden、Deutsches Herzzentrum Berlin (DHZB)访问学者。专业方向为心血管疾病的微创手术治疗。擅长微创小切口、完全胸腔镜心脏外科手术及经导管介入瓣膜手术。是国内极少数同时掌握经皮介入手术、全腔镜手术、各类小切口及常规开胸心脏手术的复合型微创心血管病专家。为患者提供从微创小切口到全腔镜再到经导管介入的个体化微创治疗方案。
曹勇
广东高州市人民医院
医学博士,教授,主任医师、副院长。荣获第二届广东好医生、2019年茂名好医生,第二批广东省杰出青年医学人才、茂名市第八批高端和拔尖人才、第二届感动茂名网络评选十大人物等荣誉。当选国际心胸外科微创学会委员,亚洲心脏瓣膜学会中国分会委员,国家心血管病专家委员会微创心血管外科专业委员会委员,中国医师协会心血管外科医师分会委员会委员,广东省医师协会血管病分会副主任委员,广东省胸部疾病学会心血管外科专业委员会副主任委员。近年来每年主刀心脏手术500例左右,累计主刀各类心脏手术5000多例,2017年,2018年 2019年2020年被广东省家庭医师协会评为岭南名医,他带领的心血管外科获得第三届中国质量奖提名奖,广东省心脏重大疾病诊治工程技术研究中心,广东省最强科室的称号。


