2022年6月13日,南昌大学第一附属医院心内科郑泽琪主任、彭小平主任团队成功应用TriGUARD3™抗栓塞远端脑保护装置行经导管主动脉瓣置换术。这是TriGUARD3™中国临床试验的国内第九家开展医院,也是江西地区首例入组。
患者基本情况:
老年女性;主诉:活动后胸闷3年余。超声心动图显示:主动脉瓣狭窄(重度)并少中量反流,主动脉瓣二瓣化畸形,主动脉最大流速4.8m/s,平均PG 70mmHG。CT影像显示:主动脉瓣中度钙化,主动脉瓣环内径24.4mm,LVOT 26.8mm,STJ 36.4mm,升主动脉增宽50mm,横位心角度75°。
手术策略:
团队讨论后认为,病人主动脉钙化较为严重,特别是无名动脉钙化更为严重,存在横位心的跨瓣难度以及球扩后钙化脱落风险,因此选择在脑保护装置的辅助下完成TAVR手术。
手术过程:
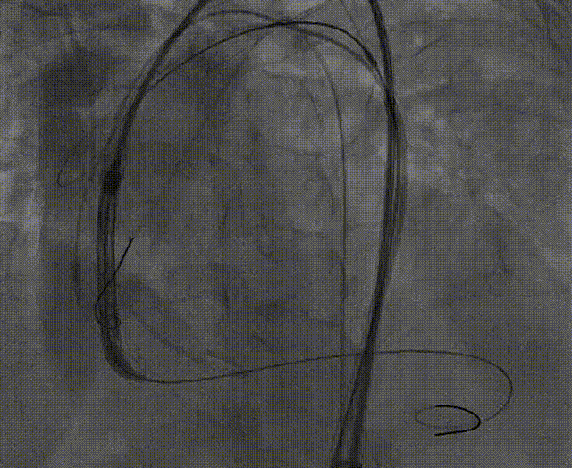
手术开始后,彭小平、姜宇等专家使用猪尾导管在主动脉弓造影辅助下选定TriGUARD3™锚定区,确认释放位置,经由左股动脉送入脑保护装置,使脑保护装置完全覆盖头臂干动脉、左颈总动脉、左锁骨下动脉开口。
TriGUARD3™ 定位
TriGUARD3™ 释放过程
综合考虑瓣环直径、左室流出道直径、钙化分布等因素,彭小平主任团队顺利为患者植入一枚VenusA-Valve®L26型号的人工主动脉瓣膜,借助Snare,克服了超大横位心等难题,血流动力学效果非常好。
Snare辅助跨瓣
VenusA-Valve®完成释放
术前跨瓣差压93mmHG
术后跨瓣压差2mmHG
TriGUARD3™抗栓塞远端脑保护装置在介入瓣膜释放后撤出,术中未出现任何并发症。
TriGUARD3™撤出
TriGUARD3™作为在TAVR手术过程中第一个进入人体,最后一个撤出的器械,从植入,球囊预扩,瓣膜输送系统过弓跨瓣,瓣膜释放,输送系统撤出,直至TriGUARD3™脑保护装置撤出,全程保护大脑血管,对降低患者新发脑损伤,减少相关并发症的发生起到良好的效果。
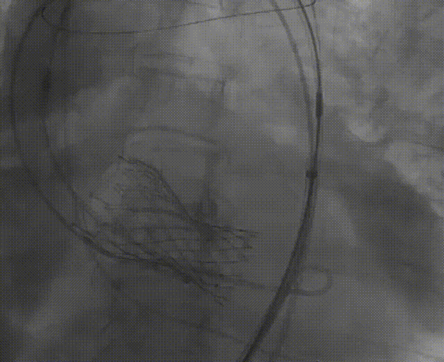
术后脑保护装置留存的斑块
术后总结:
姜宇主任表示,TriGUARD3™抗栓塞远端脑保护装置操作简单,能够有效降低手术过程中因瓣膜钙化的组织脱落进入脑血管的问题发生,在TAVR手术期间对脑保护进行全面的保护,为患者带来获益。
团队介绍
南昌大学第一附属医院心脏瓣膜团队由郑泽琪教授、彭小平教授牵头组建,联合心脏大血管外科、麻醉科、手术室、超声医学科等多个学科组成多学科团队,整合了多个部门精英骨干,聚焦经导管心脏瓣膜病介入治疗,制定了精细的术前筛查、手术计划,术中精诚合作,术后精细管理,为每一位心脏瓣膜疾病患者提供最优化的治疗方案。团队自2018年组建以来,已完成近百例TAVR手术,包括全国首例经腋动脉入路无造影剂TAVR手术、江西省首例一站式TAVR+PCI术、江西省首例可回收TAVR术及江西省年龄最大(90岁超高龄患者)TAVR手术,江西省首例主动脉脑保护下TAVR手术,取得了良好的社会反响。
专家简介
郑泽琪
南昌大学第一附属医院
主任医师、教授、博士研究生导师,心内科主任,江西省高血压病研究所副所长,中国胸痛中心、中国心衰中心、中国高血压达标中心核查专家,中国心衰中心联盟专家委员会常务委员,中国高血压联盟第六届理事会理事,中国卒中学会心血管病分会第一届委员会常务委员,中国医师协会心血管内科医师分会第五届委员会委员,中国医师协会高血压专业委员第三届委员会委员,中国临床医学会江西省心血管专业委员会常务委员,江西省整合医学会心血管病专业委员会主任委员,江西省中西医结合学会第四届心血管病专业委员会主任委员,江西省介入心脏病学会冠心病诊疗专业委员会副主任委员,江西省医学会心血管学会第九届委员会副主任委员等。
彭小平
南昌大学第一附属医院
主任医师、教授,医学博士,博士研究生导师,留美归国学者,井冈学者特聘教授,南昌大学第一附属医院教务处处长,胸痛中心主任、心内科行政副主任
国家卫计委冠脉介入培训导师,国家心血管专科规范化培训导师,美国AHA会员、CTOCC成员、CTO老伙计成员,CIT工作组成员,中国医疗保健国际交流促进会心脏重症分会常务委员、亚太结构心脏病青年俱乐部黄金会员、全国高等医学教育学会诊断学分会委员,中国健康医学教育PBL联盟理事。江西省医学会介入心血管病学分会候任主任委员,江西省中西医结合学会心血管专业委员会/脑心同治专业委员会副主任委员,江西省医师协会心血管专业委员会副会长,江西省医学会心血管专业委员会常委。担任总教练/副总教练带领学生团队获得全国医学院校大学生临床技能竞赛,获华东赛区特等奖/一等奖,全国二等奖。主持国家自然科学基金3项,发表SCI等论文数十篇。全国青年岗位能手,国家卫健委医政管理局颁发的“改善医疗服务突出贡献工作者”。江西省抗击新冠肺炎疫情先进个人,南昌大学十大教学标兵,南昌大学优秀共产党员。
姜宇
南昌大学第一附属医院
副主任医师,硕士生导师,亚洲心脏病学会理事,中国冠状动脉慢性闭塞病变介入治疗俱乐部(CTOCC)会员,江西省医学会介入心血管病学会委员,江西省医学会第七届心血管病学专业委员会委员。中国生物医学工程学会心脏起搏与电生理分会江西省常委,江西省心电协会常务理事。从事心血管内科、心脏介入治疗,从事心脏介入多年,能熟练完成起搏器安装、射频消融、先心封堵、冠脉介入等介入手术,擅长心血管疾病治疗,急性心肌梗死,严重心律失常,心源性休克,急性心功能不全,高血压,冠心病,心力衰竭的抢救及心血管介入手术。
郑耀富
南昌大学第一附属医院
主治医师,主要从事冠心病、结构性心脏病介入手术,擅长先天性心脏病介入术、左心耳封堵术、心血管超声等;江西省心血管介入心脏病学会青年专业委员会常务委员;江西省整合医学学会睡眠医学分会委员。



