近日,四川大学华西医院胡佳教授团队为一名二叶式畸形主动脉瓣重度狭窄合并升主动脉瘤样扩张的高龄(71岁)女性患者成功实施胸腔镜下肋间小切口免缝合主动脉瓣置换联合升主动脉成形术,患者术后恢复顺利。
该手术的成功开展,为患者及心脏外科同行提供了一个全新的微创瓣膜手术技术方法,标志着华西医院心脏大血管外科心脏瓣膜微创技术处于国内先进水平。经文献检索,目前国内尚未见类似病例报道。
赋能微创术式
患者李女士(化名),2个多月前活动后出现心悸、气紧、胸闷等不适,后症状日益加重,逐渐开始出现夜间无法平卧。患者辗转多家医院均建议患者手术。传统开胸手术虽然总体费用较低,但开胸手术手术创伤及风险大;而经导管主动脉瓣膜置换(transcatheter aortic valve implantation,TAVI)虽然微创,但术后病变瓣膜仍残留于体内,无法解决患者合并的升主动脉瘤样扩张性病变,且手术花费巨大。
碍于手术创伤和花费,患者及家属犹豫不决,于是到华西医院心脏大血管外科胡佳教授门诊进一步咨询是否有更好的解决方案。胡佳教授初步评估患者心脏病变和解剖条件,告知患者和家属可以考虑胸腔镜下肋间小切口行免缝合主动脉瓣置换,同期处理升主动脉病变。这样最大程度的兼顾了微创和经济负担两方面问题,患者及家属激动万分,最终决定来我院进行手术治疗。
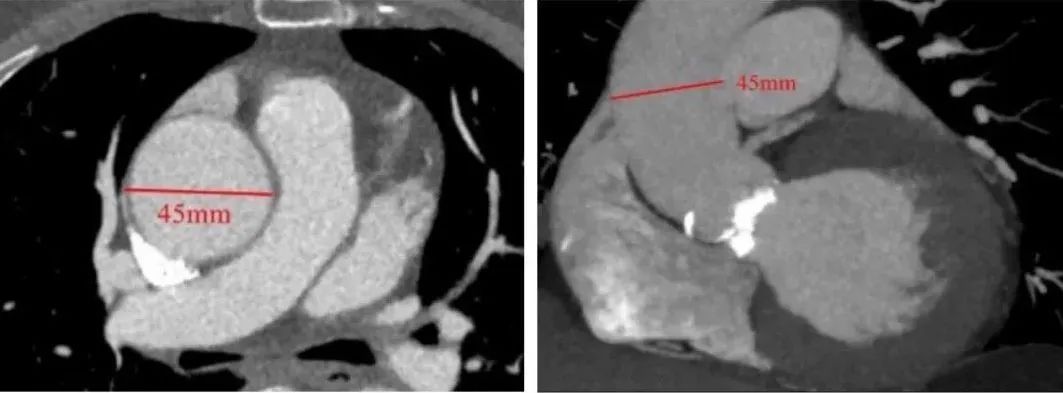
患者入院后完善相关检查,并给予药物支持治疗。术前检查我们发现患者先天性主动脉瓣二叶式畸形 主动脉瓣重度狭窄伴轻中度关闭不全,左室明显增大(LV 60),心功能测值降低(EF% 48%)(图1,2),同时合并升主动脉瘤样扩张(AAO 45)(图3,4)。心脏大血管外科胡佳教授对患者进行了全面的评估,反复与患者沟通手术相关风险和花费后决定为患者实施胸腔镜下肋间小切口免缝合主动脉瓣置换+升主动脉成形术。该方法既可以微创不损伤胸骨,免缝合主动脉瓣术中无需缝合打结,大大缩短体外循环和心脏阻断时间,降低手术风险,又可以在一定程度上降低患者总体费用。完善术前相关准备后手术如期进行。
图5,6
切除病变主动脉瓣,仔细清除钙化,测量瓣环径并选择合适型号的人工瓣膜(图9,10)。
选择瓣膜型号为“L”,进行压瓣(图11,12)。
主动脉瓣瓣环均匀缝置三根引导线,下瓣,确认位置后释放(图13,14)。
图13,14
球囊扩张人工生物瓣瓣环,撤出三针引导线(图15,16)。
图15,16
最后,行升主动脉成形关闭主动脉切口,停机,撤除体外循环,止血后关闭手术切口,手术切口约5cm(图17,18)。
图19,20
在胡佳教授外科团队、麻醉科余海教授、术中食道超声宋海波教授和体外循环谭赵霞教授的通力合作下,手术过程十分顺利。手术结束后,患者转至心外重症监护室。在重症监护室及病房医护团队的共同努力和细心照料下,患者术后恢复良好,顺利出院。
免缝合时代下的主动脉瓣置换
胡佳教授带领团队开创性地成功完成胸腔镜下经肋间小切口免缝合主动脉瓣置换联合升主动脉成形术,充分体现了其团队对高风险复杂病例实施个体化微创治疗能力,也展现出华西医院心脏大血管外科作为西南地区心脏大血管疑难重症中心的实力。
关于CORCYM恪心医疗
扫码进入恪心公众号
专家简介
胡佳
四川大学华西医院
博士,副教授,博士生导师。心脏大血管外科副主任。亚洲心胸血管外科医师协会常务成员,中国医师协会心血管外科分会青年委员,亚洲心脏瓣膜病委员会中国分会委员,国家心血管病专家委员会微创心血管外科专业委员会委员,国家心血管病专家委员会血管外科青年委员会副主任委员,中国医师协会重症瓣膜病专委会委员,四川省学术技术带头人后备人选,四川省卫生健康委学头带头人后备人选四川省胸心血管外科专委会青年委员会副主任委员,成都市胸心血管外科专委会委员。2012年7月博士毕业于香港中文大学医学院外科学系,于2013年初回华西医院工作。2015年9月晋升副教授,破格成为硕士生导师,2019年破格晋升博士生导师。
主要从事心脏大血管外科临床医疗工作,诊治各类复杂重症成人心脏外科疾病经验较为丰富,并致力于新技术的探索和实施,在心脏瓣膜外科,房颤外科治疗和冠心病外科治疗方面颇有建树。尤其在各类大血管(主动脉、腔静脉)疾病的腔内修复和杂交手术治疗方面处于国内先进水平,目前已独立成功开展>500例危重主动脉疾病的微创/杂交手术治疗,无重大不良事件发生,2015年底创新性地完成国内首例Marfan患者Bentall术后复发急性A型主动脉夹层的全腔内修复治疗,相关创新技术文章发表于Journal of Thoracic & Cardiovascular Surgery,受到国际同行高度评价,2019年初完成国际首例改良血流调节器治疗A型夹层开放术后远端残余夹层的全程主动脉腔内修复。目前负责2项国家自然科学基金,2项四川省科技厅课题,另作为主研参与4项国家自然科学基金,作为华西中心负责人参加多项腔内血管器械的多中心临床研究。近5年作为第一作者/通讯作者已发表SCI收录论文35篇,中文核心期刊16篇。担任SCI收录期刊Journal of Cardiothoracic Surgery, Phytomedicine, International Journal of Cardiology的特邀审稿专家。
