嘉境 · 瓣旅|南宁市第一人民医院刘杰主任团队成功完成TaurusElite经导管主动脉瓣系统首例植入

2022年6月2日,南宁市第一人民医院刘杰主任团队成功完成TaurusElite经导管主动脉瓣系统首例植入。患者是一位65岁的老年男性,反复胸闷痛10年,再发一周,于5月28日急诊轮椅送入院,入院后完善心脏CT提示患者为Type 0型重度钙化二叶式病变重度主动脉瓣狭窄,其钙化重,瓣口面积小,瓣口限制明显,预估术中瓣膜锚定难度较大,瓣膜植入存在移位及瓣周漏风险。刘杰主任带领手术团队术前反复讨论、精准评估,制定了详细的手术策略,手术圆满成功,瓣膜植入后即刻血流动力学改善,无位移及瓣周漏,为患者后续生命生存质量带来极大获益,保障了患者的远期预后。这是TaurusElite经导管主动脉瓣系统上市以来,在南宁市第一人民医院的首例植入。

图片

患者基本信息:

患者为65岁老年男性,因”反复胸闷痛10年,再发1周”5月28日急诊轮椅入院。患者10年前反复于劳累后出现胸闷痛不适,心前区为主,每范围约1掌大小,无放射至他处,伴心悸、头晕、乏力,伴晕厥1次,每次持续约30-60min,休息后可缓解,曾多次至当地医院治疗,诊断:冠心病,经治疗(具体不详)后可好转,但反复。1周前患者因感冒后出现上述症状,伴心悸、头晕、乏力,无端坐呼吸、冷汗等不适,至当地医院就诊,行心脏彩超提示:主动脉雕重度狭窄伴轻度关闭不全,诊断:“心脏瓣膜病”,为寻求进一步治疗转至南宁市第一人民医院就诊。

入院后心脏彩超提示:EF:64%,FS:35%,Vmax=528cm/s,轻度反流。主动脉瓣重度狭窄并轻度关闭不全,左房增大,左室壁增厚,升主动脉增宽,心律不齐,二尖瓣,三尖瓣轻度反流。左室收缩功能在正常范围。

初步诊断:1、主动脉瓣重度狭窄并轻度关闭不全;2、心房颤动。

术前评估:

● Type 0型二叶式主动脉瓣,重度钙化,钙化分布于窦内,钙化分布均匀,瓣叶对合缘处存在钙化黏连和不规则纤维增厚,LVOT呈收口形;

● 左右冠脉开口高度可,左冠切线角度测量瓣叶大于LCA开口下缘到根部距离;

● 瓦氏窦内径尚可,窦管交界高度尚可、升主动脉内径尚可;

● 主动脉瓣环水平夹角46度,非横位心,主动脉弓角度宽度尚可;

● 心室内径尚可,心室壁增厚;

● 外周入路走行适宜,腹主中下端和左右髂总散在钙化,血管内径尚可,血管内壁存在不规则纤维增厚和钙化斑。

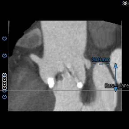
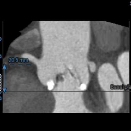
主动脉根部CTA:

根部概览:

图片

ANNULUS

图片

SOV DIAMETER

图片

LVOT

图片

STJ

图片

LEFT CORONARY

图片

RIGHT CORONARY

图片

LCA&LEAFLET

图片

RCA&LEAFLET

图片

2mm SUPRA ANNULUS

图片

4mm SUPRA ANNULUS

图片

6mm SUPRA ANNULUS

图片

8mm SUPRA ANNULUS

图片

10mm SUPRA ANNULUS

图片

12mm SUPRA ANNULUS

图片

HU850

图片

虚拟瓣环与水平夹角

图片
图片
图片

外周血管及主动脉弓解剖

手术策略讨论:

术前考虑右侧股动脉为主入路,左侧为辅助入路。非横位心,主动脉弓角度、宽度尚可,预估输送器过弓难度适宜,跨瓣难度适宜,术中必要时采用Snare辅助。左右冠脉开口高度可,左冠切线角度测量瓣叶大于LCA开口下缘到根部距离,结合瓦氏窦及STJ尺寸预估,冠脉风险适中,建议术中密切关注左冠灌注情况。外周入路走行适宜,腹主中下端和左右髂总散在钙化,血管内径尚可,血管内壁存在不规则纤维增厚和钙化斑,入路穿刺规范操作,小心通过,避免入路血管损伤及相关并发症。重度钙化二叶式病变重度主动脉瓣狭窄,其瓣口面积小,瓣口限制明显,术中瓣膜锚定难度较大,瓣膜植入受二叶瓣瓣叶及团块状钙化挤压存在移位及少量偏多瓣周漏风险,为避免手术并发症,手术预装AV26瓣膜,根据20mm球囊预扩结果选择瓣膜型号,计划瓣膜瓣上3mm开始释放。

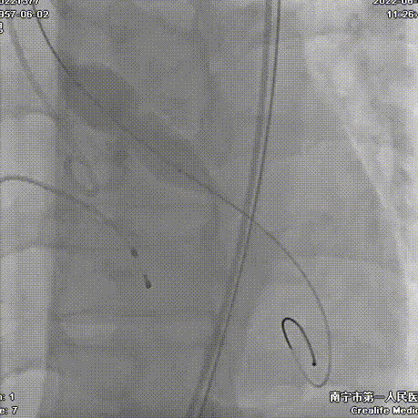
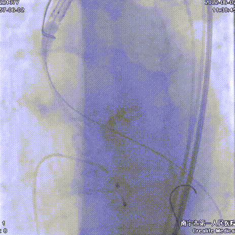
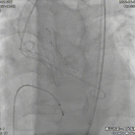
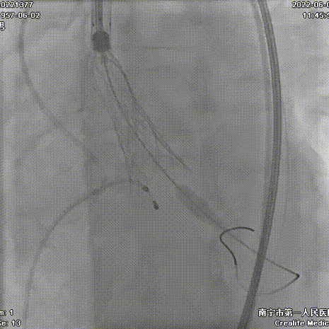
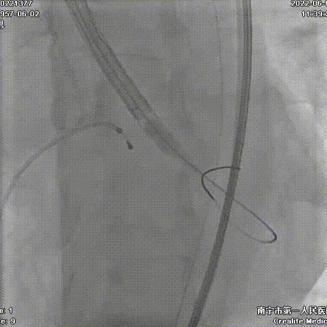
手术过程:

图片

导丝跨瓣

图片

20mm球囊预扩

图片

Snare协助输送器跨瓣

图片

AV26瓣膜定位

图片

AV26瓣膜释放到工作位

图片

AV26瓣膜释放

图片

22mm球囊后扩

图片

术后主动脉根部造影,形态改善

本例手术为重度钙化二叶式病变重度主动脉瓣狭窄TAVR手术,团块状钙化挤压存在移位瓣周漏风险,术前手术团队对患者进行了全面细致的评估,确定假体瓣膜锚定区域范围,制定术前释放策略。球囊第一次通过困难,刘主任当机立断,采用外周小球囊预扩策略,再上20mm主动脉球囊充分预扩。通过球扩预判,果断采取snare辅助输送器顺利跨瓣。

刘杰主任团队通力配合、精准释放,充分利用TaurusElite可回收功能,在瓣膜释放至2/3时,多角度评估瓣膜植入深度、锚定力以及冠脉灌注情况,确认瓣膜植入深度合适、锚定力稳定,缓慢逐个脱钩,进行瓣膜释放。释放后造影显示钙化挤压严重,瓣膜膨胀不良,故选择球囊后扩,后扩后造影显示瓣膜膨胀良好,行血流动力学评估,跨瓣压差从术前220mmHg降至5mmHg,无明显瓣周漏,手术圆满完成。术后10小时拔管,第二天正常下床活动,术后5天出院。

专家寄语:

随着TAVR手术的快速发展,国产器械日新月异,也不断加快脚步跟上了医疗发展需求。从不可回收到可多次回收,从单裙边到内外双层裙边设计……更高的容错率,更小的并发症。TAVR的微创性和更安全便利的器械让越来越多患者“重获心生”。期待我们民族企业能够奋发图强,不断创新,设计出质量优异,价格亲民的医疗器械,让更多老百姓真正“看得起病,治得好病。器械强则医疗强,医疗强则国民强。

专家简介

微信图片_20220616131122_副本.jpg

刘杰

南宁市第一人民医院

心血管内科主任、心血管内科一区主任,教授、医学硕士。

现任南宁市第一人民医院大心血管内科主任,医学硕士,主任医师、中国共产党党员、南宁市第一人民医院心血管支部党支部书记、亚太结构性心脏病青年俱乐部黄金会员、中国医疗保健国际交流促进会难治性高血压与周围动脉病分会委员、海峡两岸医药卫生交流协会老年医学专业委员会青委会常委、广西医师协会心血管医师分会常务委员、广西医师协会内科学分会委员、广西预防医学会老年病防治专业委员会常务委员、广西中西医结合学会心脏介入专业委员会委员,南宁市劳动能力鉴定委员会医疗卫生专家库专家、南宁市胸痛中心副主席。

从事临床工作20余年,擅长复杂、高危冠脉病变的介入治疗(左主干及分叉病变、慢性闭塞病变(CTO)、钙化病变),熟悉各种冠脉介入技术(各种分支支架术、冠脉斑块旋磨术、冠脉内超声检查、冠脉血流分数储备、正、逆向开通CTO),擅长外周动脉疾病介入(包括主动脉夹层、动脉瘤腔内隔绝术,椎动脉、锁骨下动脉、肾动脉、下肢动脉),率先在南宁市级医院开展了国内领先的经导管主动脉瓣置换术(TAVR)并取得了良好疗效;熟悉原发性醛固酮增多症、大动脉炎、纤维肌发育不良的诊断、药物及手术介入治疗;常规开展肾上腺静脉分侧取血(AVS)等继发性高血压介入检查。擅长临床教学工作,有丰富的临床带教经验,目前担任南宁市第一人民医院住培基地副主任,曾多次获得优秀带教老师称号。参与卫计委课题7项,主持2项,参与国外心血管论著翻译1部,SCI3篇、国内医学期刊上发表论文20余篇,拥有国家级专利一项。

阅读数: 1433