2022年5月,山东大学齐鲁医院顺利召开了申淇淇麟®经导管二尖瓣夹及可操控导引导管FMR(功能性二尖瓣反流)和DMR(退行性二尖瓣反流)两项上市前注册临床试验启动会,标志着由韩雅玲院士牵头的两项全国多中心研究正式在齐鲁医院开启。近日,由山东大学齐鲁医院陈玉国院长带领的急危重症团队顺利完成了该注册临床试验山东的首例患者入组工作。
2022年6月7日,经过术前充分的评估和准备,在陈玉国院长引领下,急诊科副主任李传保教授联合心内科陈文强教授、心脏超声刘艳教授以及曹媛教授,在南京市第一医院张俊杰教授、张娟教授及瑞士赫兰心脏中心的Dr. Maurizio Taramasso教授的指导下,运用全新一代经导管二尖瓣缘对缘修复系统 – 申淇淇麟®系统,为一位高龄退行性二尖瓣反流患者成功实施了股静脉途径经导管二尖瓣介入修复术。团队配合密切,手术过程顺利,获得成功,标志着申淇淇麟®全国多中心DMR注册临床试验在山东大学齐鲁医院正式启动入组。
患者基本信息:
术前经胸超声显示:房颤,左心、右房扩大,二尖瓣重度反流,三尖瓣中度反流伴中度肺动脉高压,EF 64%;
经食道超声显示(术前):二尖瓣前叶长度25mm,后叶长度15mm,脱垂宽度约15mm,脱垂高度约为4.7mm,VC 6.4mm, MVA 5.7cm²。
诊断:二尖瓣重度关闭不全,考虑DMR;
患者经评估为外科手术高危患者,STS评分为9.1%。经Taramasso教授,陈玉国院长团队会诊后决定采用申淇淇麟®经导管二尖瓣夹及可操控导引导管,在心脏超声指导下施行经皮二尖瓣钳夹术。
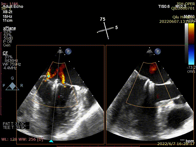
术前TEE显示二尖瓣重度反流,反流位置位于A2/P2区
患者全麻后,在经食道超声心动图和X射线引导下,经股静脉入路,将申淇淇麟®系统瓣膜夹顺利送至二尖瓣A2/P2区域,经调整位置使瓣膜夹垂直对合缘,跨瓣。由于后瓣活动度很大,很难同时捕获,遂应用单瓣叶独立捕获功能,成功地分别捕捉二尖瓣前叶和后叶,经超声心动图反复确认瓣叶夹持牢固,反流量减少,跨瓣压差4mmHg。遂释放瓣膜夹,超声心动图评估瓣膜夹位置和功能良好,瓣膜夹活动度低,手术顺利完成。
术后TEE显示,二尖瓣夹植入后反流减少
二尖瓣病变是发病率较高、介入治疗难度较大的瓣膜疾病。据不完全统计,我国二尖瓣病变潜在患者人数逾千万,治疗缺口极大。同时,由DMR及FMR二尖瓣关闭不全构成的复杂二尖瓣反流疾病谱,也大大增加了该类瓣膜病变治疗难度。介入二尖瓣诊疗器械的研发已成为全球心血管介入诊疗领域的热点及难点,而目前唯一成熟的介入二尖瓣技术便是经股静脉途径经导管二尖瓣缘对缘修复(TEER),以雅培的MitraClipTM系列产品为代表,其已被FDA、CE和NMPA批准用于包括DMR及FMR的全二尖瓣反流疾病谱病变,临床技术体系已然成熟。
专家简介
陈玉国
山东大学齐鲁医院
教授、博导,泰山学者攀登计划专家、国家卫生健康委突出贡献中青年专家、山东省突出贡献中青年专家、山东省医学领军人才,美国心脏病学院Fellow(FACC),美国心血管造影和介入学会Fellow(FSCAI),欧洲心脏病学会Fellow(FESC),香港急症科医学院Fellow,享受国务院政府特殊津贴。现任山东大学齐鲁医院院长、急诊科学科带头人、山东省急危重症临床医学研究中心主任、山东省急危重症防治工程实验室主任等。兼任中华医学会急诊医学分会第九届委员会主委、中国医师协会胸痛专业委员会候任主委、中国医疗保健国际交流促进会胸痛分会主委等。
承担国家重点研发计划项目3项、国家自然科学基金重点项目1项,国自然面上项目、教育部博士点基金、973子课题、山东省重点研发计划等30余项科研基金,以第一或通讯作者发表SCI论文120余篇,以第一完成人获省部级一等奖3次,主编、副主编《急诊医学》国家规划教材等教材、专著15部。
李传保
山东大学齐鲁医院
医学博士,主任医师,山东大学教授,硕士研究生导师,山东省优秀医师,齐鲁卫生与健康杰出青年人才,国家公派密歇根大学访问学者,国家胸痛中心建设全国飞检专家。主要从事急危重症心血管病的抢救与诊治,尤其是冠心病及心脏瓣膜病的介入诊疗工作,年完成手术300余例。
目前担任山东大学齐鲁医院急诊科副主任(主持工作),兼任中华医学会急诊医学分会心脑血管病学组副组长,中国医师协会心脏重症专家委员会青年委员,中国老年医学学会心血管病分会委员,中国医疗保健国际交流促进会胸痛分会常务委员,山东省医学会急诊医学分会委员,山东省医师协会大血管疾病专业委员会副主任委员,山东省心血管疾病介入专业医疗质量控制中心常务副主任,山东省急诊医学专业医疗质量控制中心委员等。研究方向:急危重症心血管病的基础及临床研究。目前主持国家自然科学基金2项及省部级课题3项,先后在国内外核心期刊发表论文20余篇,SCI收录10余篇,单篇最高影响因子24.093。获省部级奖励3项。

