近年来TAVR发展迅速,随之对各种复杂病例的应用需求也逐渐开放。主动脉瓣膜病合并升主动脉瘤样扩张的患者,往往病因复杂,两种疾病相互作用、互相影响,极易诱发其他疾病,属于高危疾病。经心尖主动脉瓣置换术已经成为主动脉瓣疾病微创治疗的主要方法之一,也为复杂主动脉疾病患者带来了新的治疗选择。
近日,武汉大学中南医院刘金平教授所带领的微创瓣膜团队成功为一位横位心重度主动脉瓣关闭不全+低冠脉重度狭窄合并升主动脉瘤样扩张的复杂病例完成救治,患者术后一周出院。面对如此紧急的情况,刘金平教授团队抓住希望不放弃,对患者病情进行详细的科学评估,正确选择手术方案,做好术后处理,取得良好的临床效果,帮助患者恢复生活质量。
患者主诉:
半年前出现胸痛不适症状,主要为心前区,口服“救心丸”后缓解。3个月前患者胸痛症状加重,范围扩大至心前区及上腹部,伴有活动后胸闷、气促症状,平卧时加重。双下肢轻微浮肿。经区医院彩超提示:主动脉增宽,肺动脉稍宽;左心扩大,右房扩大;左室壁增厚、室壁运动异常;主动脉瓣退变并中度关闭不全,EF=36%,口服药物症状稍缓。
超声:
1. 升主动脉扩张,主动脉窦部内径4.3cm,窦管交界近消失,内径5.1cm,主动脉瓣三瓣瓣缘回声钙化、粘连,开放不佳,CW:收缩期主动脉瓣口最大血流速度:3.1cm/s,最大压差:38mmHg,平均压差:19mmHg,主动脉瓣环径2.7cm,主动脉瓣弓部内径3.5cm。肺动脉增宽。肺动脉瓣形态、活动正常;
2. 左心扩大,右心不大;
3. 二尖瓣刑天、开放可,闭合欠佳;三尖瓣形态、开放可,闭合欠佳;
4. 室间隔增厚,左室后壁增厚,二者呈逆向运动,未见节段性室壁运动异常;
5. 房、室间隔未见连续中断;
6. CDFI:主动脉半口舒张期可见大量反流信号。
超声提示:
升主动脉扩张;
主动脉瓣钙化、轻度狭窄并重度关闭不全;
左心扩大、左室壁增厚;
二尖瓣轻度关闭不全、三尖瓣轻中度关闭不全;
肺动脉增宽。
影像评估:
1. 患者主动脉瓣三叶式,窦部增宽,窦管交界消失,瓣叶基本等大,瓣叶增厚,瓣叶游离缘轻度钙化;
2. 患者主动脉瓣环周长折算直径约29.1mm;
3. 患者左侧冠脉开口高度低LCA:3.1mm,左冠瓣瓣叶长度约12.4mm;右侧冠脉开口高度可RCA:16.8mm;
4. 患者术中造影角度LAO:2°,CAU:30°;
5. 主动脉根部及升主动脉瘤样扩张;
6. 主动脉弓、降主动脉及双侧髂总动脉散在钙化。
瓣环直径:29.1mm
瓣上:3.5mm处直径:31.2mm
瓣上:8.2mm处直径:35.6mm
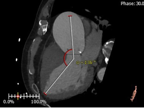
主动脉与左心室夹角:136°
左冠高度:3.1mm
瓣叶长度:12.4mm
右冠高度:16.8mm
左室流出道直径:30.4mm
窦部直径:44.4/44.8/48.7mm
窦管交界处直径:62.4mm
升主动脉直径:66.2mm
术中造影角度:LAO:2°,CAU:30°
手术策略:
1. 患者前降支中段重度狭窄,先行左冠PCI术后,进行TAVR手术;
2. 由于患者是大瓣环,在瓣膜预装至输送器前,分别与瓣膜三个瓣架边缝合裁剪后的涤纶补片固定,减少了释放后脱落的风险。
手术过程:
取平卧位,行右侧股动脉穿刺,置入6F鞘管,注入7000U肝素,分别送EBU3.75、EBU4.0、JL4指引导管均未能到达左冠口,EBU4.0塑型后成功达到左冠口,送VT导丝至前降支远端,送BMW导丝至回旋支远端,送2.0*20mm双导丝球囊于前降支近段狭窄处充分预扩张;送波科3.0*24mmDES一枚至前降支中段病变处,精准定位后释放,分别送3.5*16mm乳突球囊、3.0*15mmNC球囊至支架内修饰扩张。复查造影示支架膨胀良好,撤除鞘管,常规加压包扎,注意有无出血及高迷走反射。
全麻后,右颈静脉置入5F临时起搏电极至右室流出道备用。DSA指引下左胸第6肋间前外侧切5cm进胸,切开心包并悬吊,TEE引导下心尖处2-0prolene线带毛毡片缝双层荷包,全身肝素化,右股动脉穿刺置入5F猪尾至无冠脉窦底并行主动脉根部造影。心尖荷包穿刺置入泥鳅导丝及5F单弯导管至降主动脉,交换头部塑性后的Lunderquist加硬导丝,24F鞘管扩张,将装载29#J-Valve瓣膜的输送装置经过加硬导丝送入主动脉根部。打开定位件,回拉落入三个瓣窦,依次释放瓣膜,瓣膜释放后造影及TEE评估瓣膜位置及功能良好, 锁丝脱钩后撤出输送器。单弯管保护下撤出加硬导丝,再次造影确认瓣膜功能良好、升主动脉及入路血管无损伤,心尖处荷包打结。止血后留置左侧胸管一根并常规关胸。过程顺利,患者术后转ICU监护。
冠造提示左冠前降支狭窄处
PCI后血流通畅
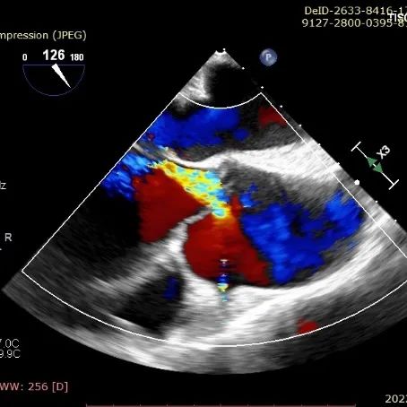
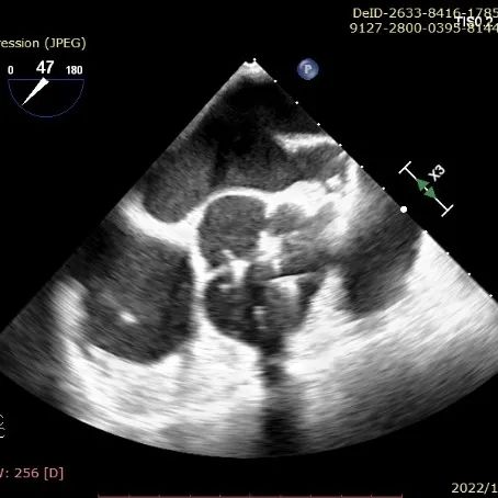
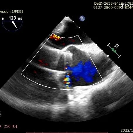
TEE示主动脉瓣大量反流
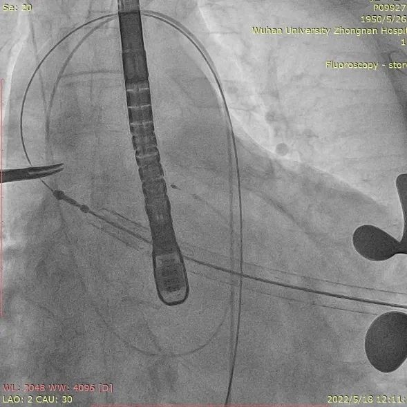
植入器进入升主动脉
定位件入窦后瓣膜落座
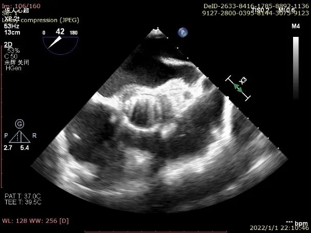
TEE提示定位件准确入窦
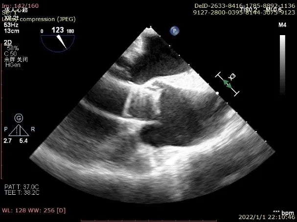
TEE提示瓣膜形态、位置良好
DSA(左)及TEE(右)提示无瓣周漏
总结:
重度主动脉瓣反流可以导致冠脉血流灌注减少,从而诱发心绞痛。该患者术前同时合并前降支重度狭窄,因此,在经心尖TAVR前可以先对上述狭窄部位行PCI治疗,这样可以充分改善TAVR术后的心肌供血,在最大程度上使患者获益经心尖TAVR的治疗。J-Valve瓣膜属于短支架瓣膜,结合顶端独有的波浪形设计,降低了冠脉风险,同时为日后老年人的PCI治疗留下了一个生命通道。
本例患者为横位心重度主动脉瓣反流,介入瓣膜支架在无钙化主动脉瓣区域植入易产生移位,增加了 TAVR 手术失败风险。其主动脉根部及升主动脉的相对的病理性扩张,导致主动脉瓣瓣环扩大,瓣环面积超过目前临床上常规的最大型号的人工瓣膜面积,瓣膜释放后存在脱落的风险。因而,介入瓣膜的尺寸选择、卒中等并发症以及稳定定位与锚定成为本例手术面临的技术挑战。通过对以上因素的全面科学分析,武汉大学中南医院微创瓣膜团队采取对29mm的J-Valve瓣膜进行缝裙边加固,微创经心尖入路的方式完成主动脉瓣的置换。J-Valve瓣膜,具有定位准、瓣架低、路径短、易操作等优点。
专家简介
刘金平
武汉大学中南医院
擅长瓣膜微创及介入修复/置换、冠心病微创及不停跳搭桥、心肺衰竭及心肺移植、先心病、大血管疾病
鲁志兵
武汉大学中南医院
擅长射频消融术、起搏器安置术、冠脉介入术。尤其是慢性闭塞病变、左主干病变及扭曲复杂病变介入治疗、外周血管介入术、先天性心脏病封堵术
张刚成
武汉大学中南医院
擅长先天性心脏病介入诊断及治疗、肺动脉高压的诊断和介入治疗,心源性卒中的临床研究及介入治疗,心脏瓣膜病的介入治疗及围手术期期处理
王斌
武汉大学中南医院
擅长各种超声引导下结构性心脏病的介入治疗,全球首位开展经鼻咽食道超声引导左心耳封堵,国内最早开展超声引导下TPVR,TAVR,TTVR、TMVR、LAAC及超声引导下房间隔分流器植入术



