2022年5月25日,首都医科大学附属北京安贞医院心脏瓣膜介入中心宋光远教授团队应用应脉医疗科技(上海)有限公司(以下简称应脉医疗)NovoClasp®经导管二尖瓣夹及可操控导引导管(以下简称NovoClasp®系统)成功完成两例高难度近交界区复合机制经导管二尖瓣缘对缘修复术(以下简称TEER术)。这两例手术的成功完成,标志着应脉医疗NovoClasp®经导管二尖瓣夹及可操控导引导管用于治疗中重度、重度二尖瓣反流的前瞻性、多中心、单组、验证性研究正式开启。(图1)
图1:安贞心脏瓣膜介入中心宋光远教授团队完成NovoClasp®全国多中心验证性临床研究首两例入组
“二尖瓣反流的治疗受多因素的影响,除了TEER手术的夹合过程外,调整患者术前状态,评估病情及解剖结构,制定手术策略,手术过程及术后康复都至关重要。”安贞心脏瓣膜介入中心主任宋光远教授术后点评道,“随着术者经验的积累,影像学的进步和器械的创新,安贞心脏瓣膜介入中心逐渐探索出经导管二尖瓣缘对缘修复术的临床路径,建立了单中心标准化的诊疗流程,在接下来的多中心临床研究中,我们将在全国35家中心推广这种经验体系,推动中国TEER的规范发展。”
中国二尖瓣反流患者有相当的比例是复杂病变,在制订手术策略时,不仅要理解二尖瓣反流的机制,还要考虑毗邻结构如房间隔、左心房解剖特征对手术的重要影响。以本次完成的两个病例为例,这两个病例均为复杂病例,除患者自身存在多种合并疾病外,解剖结构复杂,二尖瓣反流存在多种复合机制。这就要求术者对疾病进行全面的评估,制定合适的夹合策略。也要求使用器械有极佳的可操控性,能精准实现术者的规划。
病例一:
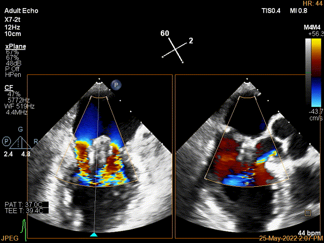
图2:P2P1间有一连续性中断,为瓣叶裂
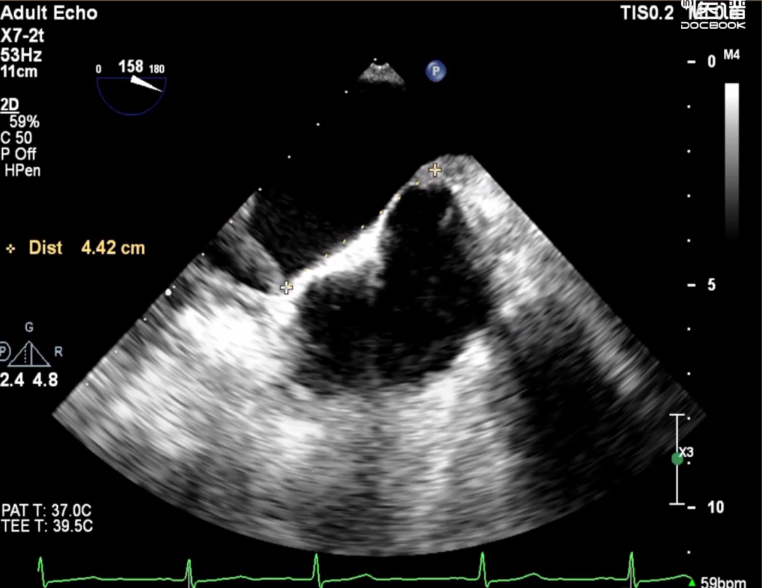
图3:房间隔高度
图4: 成功夹合二尖瓣P1P2区,超声显示P2区外侧脱垂
图5: 成功夹合二尖瓣A2P2区残余脱垂。整体反流量降至微量反流
病例二:
第二例为77岁男性患者,间断喘憋1年,患有高血压病史7年,冠心病病史5年,高血脂症、房颤病史,既往曾因降主动脉夹层行支架植入术。入院时存在急性心力衰竭症状,经积极治疗后改善。术前经食道超声显示A1到A3区均有反流,A3区脱垂并腱索断裂,A1、A2区假性脱垂经术前评估,认为主要矛盾为A3区脱垂,故计划术中先夹合A3区。术中NovoClasp®短夹(MCD0100)精准定位后,成功夹合3区。即刻超声显示,A1A2区反流消失,整体反流量降至少量。手术顺利结束。
术后两位患者症状均明显改善,目前已完成术后随访,顺利出院。
应脉医疗致力于为医生提供可操控性强,精准而稳定的经导管二尖瓣修复器械。帮助医生准确实现术前规划,助力治疗复杂病变及挑战性解剖结构,救治更多患者。心至无疆,所想即可得。
专家简介
宋光远
首都医科大学附属北京安贞医院
安贞医院心脏瓣膜病介入中心主任,教授,博士生导师。擅长主动脉瓣狭窄/返流、二尖瓣狭窄/返流,肺动脉瓣狭窄/返流,以及三尖瓣关闭不全等心脏瓣膜病的介入治疗,心房颤动左心耳封堵术,复杂冠心病的介入治疗。
中国医师协会心血管病分会结构专家委员会秘书,中华医学会北京分会心血管病委员会结构学组秘书,中华医学会北京分会心血管病委员会青年委员会委员,亚太结构性心脏病青年俱乐部秘书长,亚洲心脏病瓣膜病学会中国分会心脏瓣膜病介入治疗技术学术委员会副主任委员,世界中联专业委员会心血管介入协会常委,中国医疗保健国际交流促进会心血管预防治疗分会“冠心病防治学组”委员;长城心脏病学大会日程委员会委员,中国结构周核心工作组秘书长;美国心脏病学院(ACC)复杂冠心病介入介入导师,复杂冠脉 CTO 介入治疗-正向内膜下重回真腔技术(ADR)认证术者,全球 TAVR(启明、微创、沛嘉、爱德华等)带教专家,全球 LAAC(波士顿科学等)带教专家。
2015.02-2016.07美国Cedars Sinai Medical Center 博士后学习,累计完成瓣膜病介入治疗超过 1000 例;累计完成房颤左心耳封堵术超过 200 例,其中 LAAO+PCI 一站式治疗 50 余例;累计完成复杂冠脉介入治疗超过 5000 例;主持结构性心脏病影像核心实验室,目前完成 CT 和超声分析 3000 余例;带教省级医院横跨 30 余省市 60 余家。主持国家自然基金,国家自然青年基金、教育部博士点基金、北京市科委创新基金、协和青年基金等多项课题;发表论文 20 余篇,共计他引超过 110 次,最高单篇 SCI 影响因子超过 20发表文章质量高:63.2%的文章均发表在《我国高质量科技期刊分级目录》收录的期刊中;21%的文章位于 T1 区(国际一流期刊),31.6%的文章于 T2 区(国际知名期刊);主译《心脏导管手册》,《结构性心脏病介入治疗》;主编《结构性心脏病集萃 2020》。
