高然然 何浪
浙江绿城心血管病医院心脏中心
基本资料
患者,男性,64岁,5年前发现心脏扩大,心超提示“左室舒张末期内径65mm,LVEF 40%”,心电图提示“心房颤动”,因体力活动不受限,未正规诊疗。2年前活动耐力较前下降,爬3层楼即出现胸闷、气促,休息后可缓解,无夜间阵发性呼吸困难,心超提示“全心增大(左房内径59mm,左室舒张末期内径72mm),LVEF38%”,此后规律服用“螺内酯、沙库巴曲缬沙坦、美托洛尔缓释片”治疗并逐渐增加剂量。1月来出现夜间阵发性呼吸困难、端坐呼吸伴双下肢凹陷性浮肿,胃纳差伴腹胀,自行增加利尿剂量后症状无明显改善而来院。
入院查体:T36.7°C,P 83次/分,R22次/分,BP 89/69mmHg,颈静脉充盈,肝颈反流征阳性,两肺呼吸音粗,双肺底少许湿罗音,心界向两侧扩大,心律绝对不齐,心音强弱不等,HR 99bpm,心尖区可闻及II/6收缩期杂音,腹软,肝脾肋下未及,双下肢轻中度凹陷性浮肿。
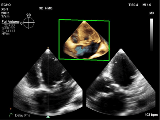
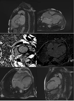
入院检查:甲状腺功能、凝血功能、血常规、hs-CRP均正常范围,eGFR 71ml/min/1.73㎡,BNP 3881.7pg/ml ,肝功能“TBIL 41.2umol/L DBIL 17.1 umol/L IBIL 24.1umol/L”;心电图提示“异位心律,心房颤动,偶发室早,QRS 波宽度113ms”;心超提示“扩张型心肌病 ,全心扩大(左房内径 64mm,左心室舒张末期内径82.1mm),左室壁运动弥漫性减低,二尖瓣中度反流,三尖瓣轻度反流,主动脉瓣轻-中度反流,心律失常,左室收缩功能减低(LVEF 37%)”;心肌MR提示“扩张型心肌病,全心扩大,LVEF 22.4%,左心室基底段-中央段间隔壁心肌中层见点、线样延迟强化”;动态心电图“心房颤动24小时总心搏114767次,平均90次/分,最慢67次/分,最快164次/分,多源室早(1918次,包括单发室早1854次,成对28对,短阵室速2阵)”。
入院时心电图
超声心动图
心肌磁共振
入院诊断
扩张型心肌病
◆ 全心增大
◆ 心律失常
→ 永久性心房颤动
→ 频发室早 短阵室速
NYHA心功能 III级
治疗方案
1、常规治疗:入院后予以速尿针利尿、左西孟旦针强心,螺内酯片、沙库巴曲缬沙坦片、美托洛尔缓释片、达格列净片等治疗。CHA2DS2-VASc评分2分 ,HAS-BLED评分1分,予以华法林抗凝。低盐饮食,监测24小时进出量,保持进出量负平衡,维持水电解质平衡。
2、器械治疗:患者心衰症状明显,药物治疗不佳,需评估器械治疗指证。根据《2021年欧洲心脏病学会发表的慢性心衰诊断和管理指南》建议,CCM指证为NYHA III-IV级慢性心力衰竭,LVEF 25-45%,QRS波宽度<130ms;ICD适应症为对于非缺血性病因所致慢性心衰,NYHAII- III级,规范药物治疗大于3月,LVEF≤35%,一般状况良好预计生存期大于1年。此患者系非缺血性心肌病导致慢性心衰,NYHA心功能III级, LVEF22.4%,QRS宽度113ms,且无CRT指征,心肌纤维化程度轻,符合CCM植入指证;因为已规范药物治疗2年,但心功能不全进行性加重并恶化,LVEF明显下降,伴频发室早及短阵室速,符合心脏性猝死1.5级预防;但QRS波宽度110ms,不符合CRT植入指证。预计生存期大于1年,符合ICD植入指证。于2022年5月17日行CCM联合ICD一站式植入,手术顺利。
3、其他治疗:目前患者入院后药物治疗症状可改善,若病情进展,心脏移植可作为备选方案。
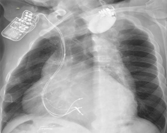
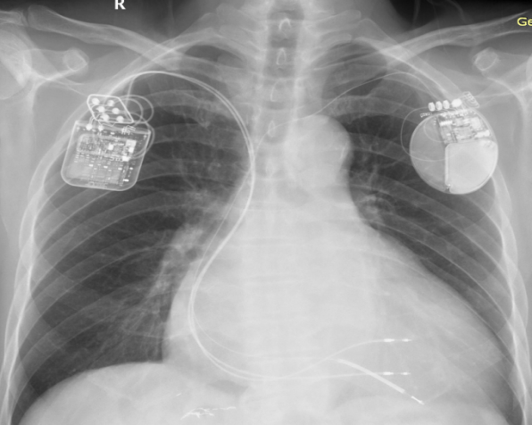
CCM+ICD术后X片——正位及左前斜位
术后心电图可见CCM脉冲发放,正常运行
讨
论
1、ICD类型的选择:(1)选择经静脉ICD(TV-ICD)或全皮下ICD(S-ICD)。该患者行S-ICD体表心电图筛查三个向量2个体位均通过,无心动过缓及需ATP治疗单形性室速发生,适合选择S-ICD。以往文献中关于CCM与S-ICD安全性的研究中证实了两者可兼容,不影响VT/VF治疗,因经济因素而该患者选择了TV-ICD。(2)选择单腔或双腔ICD,该患者慢性房颤,左房内径64mm,无复律机会,因此选择单腔ICD。
2、房颤患者是否可选择CCM:心脏收缩力调节器(CCM)是一种先进的心力衰竭治疗装置,通过微创手术将刺激电极植入到患者心室,在心脏搏动的绝对不应期释放电刺激,通过将非兴奋性的电脉冲传递到右心室间隔,触发心肌细胞的生理过程,在分子水平上影响细胞功能并且不增加细胞的氧气消耗,从而改善了心脏的功能,形成有益的逆向重构。这种电刺激不会改变患者心律,但是可以通过一系列信号通路改善心肌的生理状态,加强心脏收缩能力,从而改善心衰患者的心功能。对于患者是否房颤,因不影响其对心肌细胞获益,故房颤患者也可以选择CCM。
3、CCM联合ICD一站式手术的难点:精准的放置三根导线对此次手术尤为关键,也是手术的难点,不仅要求导线参数满足要求,还需要兼顾三根导线放置的位置和间距。首先是准备静脉通路,在右侧锁骨下静脉穿刺,送入导丝,在透视下确认钢丝成功进入右心系统;之后进行囊袋制作;随后进行起搏导线植入,两根起搏导线之间的距离在2cm以上,ICD导线与普通导线距离3cm以上(ICD导线除颤线圈长度,可作为导线之间距离的参考),从而保证CCM的正常感知与发送且不会互相干扰,最终所有电极导线都被精准完成植入,分别测试三根电极导线的起搏阈值和起搏阻抗并记录。连接导线与脉冲发生器,设定输出为7.5V。联合测试,三根电极均可以正常工作且彼此无干扰。同时考虑到除颤的效果,将ICD放置在左侧,CCM放置在右侧。此患者术后心电图对比,完美展示了自身心律与起搏心率下CCM正常工作。
4、术后评估:CCM+ICD植入后,次日程控CCM和ICD参数以及工作情况,评估患者症状、运动耐量及心超等情况。患者夜间可平卧入睡,无夜间咳嗽,6分钟步行试验步行距离增加了35米,活动耐量明显改善。BNP下降至738pg/ml,心超复查提示“二尖瓣轻度反流,LVEF 38%”。
总
结
此次手术过程,经过心脏起搏电生理团队对患者心功能及预后的全面评估及分析,制定了比较完善的治疗方案,最终为患者做出最合适的选择,期待后续效果。
专家简介
何浪
浙江绿城心血管病医院心脏中心
主任医师 ,教授,浙江绿城心血管病医院业务副院长。
中华医学会心电生理与起搏分会青年委员,中国医师协会心律学分会青年委员,中华医学会长程心电监测工作委员会委员,中国生物医学工程学会女性心律失常工作委员会委员,浙江省医学会心血管病分会青年委员,浙江省医学会心电生理与起搏分会青年委员,浙江省生物医学工程学会心律专业委员会常委,浙江省社会办医协会心血管病学专业委员会委员,《中华心律失常学》杂志通讯编委。EP Europace中文版杂志编委。
2001年毕业于浙江大学医学院,长期从事心血管内科临床工作,擅长心律失常、心力衰竭、高血压病、冠心病的诊治。主攻方向起搏与电生理专业。擅长各种起搏器(单腔/双腔/ICD/CRT-D/希浦系统起搏)植入术,并长期进行起搏器随访工作。
高然然
浙江绿城心血管病医院
主治医师,心内科主治医生,医学硕士。长期从事心血管内科工作。在冠心病、高血压、心律失常、心衰等心血管疾病诊疗方面有丰富临床经验。参与市级课题立项,发表临床论文数篇。

