2022年5月18日,温州医科大学附属第一医院周浩教授团队成功为一名重度钙化的主动脉瓣膜重度狭窄患者植入了美敦力Evolut PRO经导管主动脉瓣膜系统(TAVR),此例植入为温附一医院首例,同时也是全国首批。
主动脉重度狭窄伴轻度反流,瓣膜钙化,左房增大,左室壁增厚,轻度二尖瓣反流,轻度三尖瓣反流,左实验室舒张功能轻度减退。LVEF:64.7%,CW估测跨瓣峰值流速约为Vmax:4.3m/s,平均压差约44mmHg 。
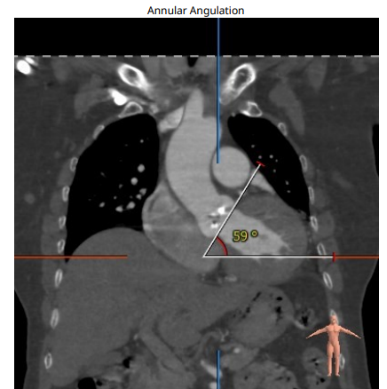
术前周浩教授带领团队对这位患者进行了详细的分析,从CT分析结果显示,患者的瓣环直径为25.1mm,结合患者瓣叶钙化等情况,符合美敦力Evolut PRO 29mm瓣膜选型要求。难点在于患者左右瓣叶钙化严重,钙化积分达到了1500,经讨论决定术中进行23mm球囊预扩张,保证系统顺利跨瓣及释放。术中采用了全球领先的Cusp Overlap瓣膜植入技术,实现更精准地定位瓣膜深度,减少对患者传导系统的影响。
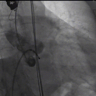
经左股动脉穿刺,置入6F股动脉穿刺鞘,将猪尾导管引导至主动脉根部,行主动脉造影。
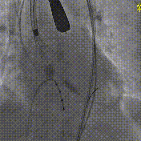
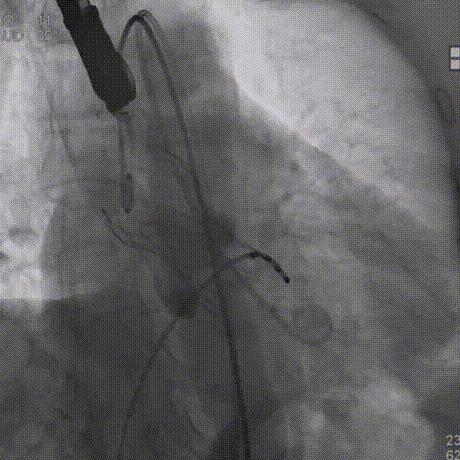
180bpm下置入23mm球囊扩张,沿导丝送入美敦力Evolut PRO经导管主动脉瓣膜系统,采用美敦力独有的commissural alignment技术,最大程度保护冠脉。递送系统顺利送入动脉系统并顺利过弓跨瓣,在最终目标位置完美释放,瓣膜立即工作。展开形态良好,无瓣周漏,无冠脉阻挡,无传导阻滞发生,术后无跨瓣压差,血液动力学稳定,手术圆满成功。
术前主动脉造影
球囊扩张
过弓跨瓣
瓣膜释放
术后0压差
术后造影无瓣周漏
该患者的瓣叶钙化程度实际超过了CT预估值,但是依靠TAVR团队的密切配合,和周浩教授高超的手术技巧,完美完成了手术。另外,周浩教授也高度评价了美敦力Evolut PRO经导管主动脉瓣膜优秀的设计和卓越的稳定性,为手术的顺利提供了有力的保证。
根据《中国心血管健康与疾病报告2020》,心脏瓣膜疾病加权患病率为3.8%,约有2500万人受到瓣膜病影响,其中150万为重度主动脉瓣狭窄患者。令人担心的是,在国内主动脉瓣狭窄远不如高血压、冠心病等为广大人群所知,但主动脉瓣狭窄却非常凶险和致命——早期几乎没有征兆,中后期会导致患者呼吸急促、头晕、心绞痛等不适,甚至可能出现心衰。如果不得到有效的治疗,50%患者会在2年内死亡,80%患者会在5年内死亡。
主动脉瓣狭窄是一种物理结构性改变,药物难以起到作用,需要采用手术治疗才能进行根本性纠正。包括传统外科手术以及创新介入技术——经导管主动脉瓣膜置换术(TAVR),TAVR顺应新时代医疗趋势的疗法,有伤口小、恢复快、术后生活质量高等特点。
美敦力TAVR被称作自膨胀瓣膜的鼻祖和金标准,在全球拥有全球累计超过3.2万名患者的临床数据,整体呈现高生存率、低卒中率、极少的瓣周漏以及优秀的血流动力学特性。美敦力TAVR已应用于全球160个国家与地区,40多万名患者因此而获益。Evolut PRO 为美敦力第三代TAVR产品,在秉承经典环上瓣设计理念的基础上增加了稳定的多次可回收功能以及生物组织外裙边,大大提高手术安全性和成功率,带给患者更好的临床获益。
专家简介
周浩
温州医科大学附属第一医院
心内科科主任,兼CCU科主任,教授,主任医师,博士生导师。
擅长:复杂冠心病,结构性心脏病诊治,心脏急重症处理。
美国匹兹堡大学访问学者,美国哈佛大学医学院、日本札幌心血管病中心,北京阜外心血管病医院学习。
浙江省创新人才培养对象,浙江省高校中青年学科带头人,温州市511人才第二层次。
国家卫计委冠心病介入导师,亚洲心脏病学会理事,中国医师协会心衰、高血压专委会委员,世界中医药学会介入委员会理事,中国医药教育协会心血管内科专委会委员,浙江省医学会介入心血管分会副主委,浙江省医师协会心血管内科医师分会委员,浙江省医学会心血管分会冠脉介入学组副组长,温州医学会心血管分会委员,介入学组委员。
多次参加美国TCT、亚太TCTAP大会交流挑战性病例。
主持国家、省部级各级课题10项,国家级、省市继教项目3项,第一作者或通讯作者发表30余篇论文,其中SCI 17篇。
以第一负责人获浙江省科技进步三等奖,省厅级科技进步奖二等奖,温州市科技进步三等奖。参编5本著作。
陈长曦
温州医科大学附属第一医院
心血管内科副主任医师;中国医师协会冠心病介入治疗培训导师;中国医药教育协会心血管内科专业委员会青年委员;浙江省医学会心血管病分会心脏瓣膜病学组成员;温州市医学会心身医学分会心脏心理医学学组成员。

