近日,空军军医大学唐都医院心内科李妍教授团队首次采用我国自主研发创新产品D-shant心房分流器为一例反复住院的顽固性心力衰竭患者成功实施了心房分流手术,复查各项指标良好,临床疗效显著。这一技术的成功开展开启了心衰器械治疗技术的新篇章。
病例特点:
患者,男性,57岁,既往有心梗病史半年。患者1月份开始间断出现活动后胸闷伴后背部剧烈疼痛就诊于当地医院,诊断”心力衰竭、心肌梗死”,药物治疗后好转,出院后服用美托洛尔、依那普利、螺内酯、呋塞米等药。3月前因”发作性胸痛20天”就诊于当地医院,诊断“慢性心力衰竭、心肌梗死”。2月前胸闷憋气再发加重就诊于当地医院,诊断“急性左心衰、缺血性心肌病”,积极调整药物治疗后症状缓解,复查冠脉造影仍无介入治疗指征。患者仍感体力不佳,为进一步诊治再次来院就诊住院。
术前评估:
住院后查NT-proBNP:9230pg/ml,NYHA III级,堪萨斯心肌病评分48分,6分钟步行距离试验为146米。心电图为窦律,偶发室早、房早。超声心动图提示:左室前壁、间隔及心尖段陈旧性心梗改变、双房、左室扩大、二尖瓣中度反流、三尖瓣轻-中度反流、肺动脉瓣轻度反流、左心功能减低、肺动脉高压(中度)。患者已经过充分的指南最佳药物治疗策略(GDMT)及器械治疗管理,病情仍然控制不理想,近期反复住院,无更好的治疗手段,且心衰病情和类型评估适合进行心房分流手术,与患者充分沟通后实施。
术者:王子宽副主任医师、杨竞霄副主任医师等。
操作过程:
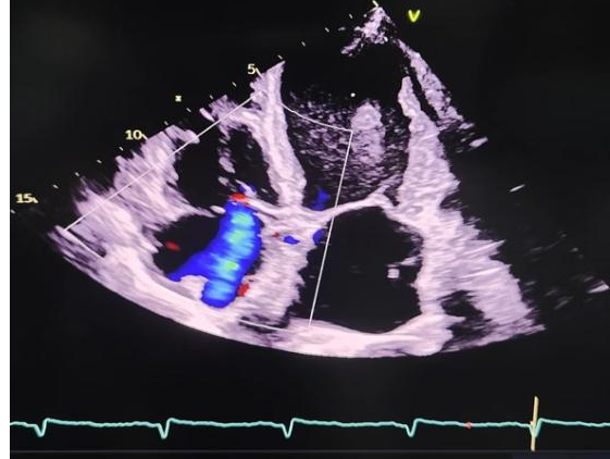
手术在局麻下进行,右股静脉穿刺后,行右心导管检查评估肺高压和右房压,计算肺阻力和心排量,然后再经胸超声引导下穿刺房间隔,测量左房压力、左向右压差符合左心衰血流动力学障碍特点,不合并毛细血管前性肺高压。确定合适规格的心房分流器,选择6mm高压球囊扩张后,送入6mm分流器释放于房间隔两侧。推拉试验分流器固定稳定、位置良好,透视下孔径符合预期目标,测量左房压、右房压、肺动脉压均较植入前下降,左向右分流为少量,床旁超声可见分流器夹持于房间隔两侧,分流流速0.84m/s。评估达到预期效果,释放分流器。术后12h患者下床活动,无任何胸闷、头晕不适,活动量较术前改善。目前患者已顺利出院,期待后续随访情况。
术前超声
术后超声
术前超声
术后超声
球囊预扩
分流器植入后
心房分流术是通过器械植入创造稳定可控的左向右分流,通过限定房间隔造口直径,可在有效降低患者左心房压力、缓解肺淤血及呼吸困难的同时不显著增加右心负担,也不降低心排量,也不易引起反常栓塞。目前国内外在HFpEF、HFmrEF、HFrEF均有临床研究开展,针对于充分的规范化药物治疗仍控制不佳的中晚期慢性心力衰竭,可改善血流动力学障碍引起的肺淤血呼吸困难和反复再住院,改善生存质量和不良预后,近中期效果显著。
D-shant心房分流器是一款国内首创、国际领先的分流装置,具有腰部径向支撑强、可回收和二次干预、超薄形态记忆优良等特性,其与传统封堵器的编制原理有所不同,盘片不会因腰部压缩而变形增厚。FIM研究结果显示其与国外同类产品类似,可改善患者心功能分级和活动耐量,并有望能减少心衰患者反复再住院比率。术前充分的筛选评估可能是决定患者能否从中获益的主要预后影响因素,同时心衰患者心腔解剖和血流动力学情况变异较多,术中需根据血流动力学状态个体化定制分流孔径。目前D-shant心房分流器多中心注册临床试验正在如火如荼地进行,其有望成为首个NMPA注册上市的心房分流器械,造福广大心力衰竭患者。
专家简介
李妍
空军军医大学唐都医院
心血管内科主任,教授,主任医师,博士生(后)研究生导师。先后留学日本大阪大学,美国斯坦福大学斯坦福医院。享受空军优秀人才岗位津贴。
现任美国心脏学会专家委员(FACC)、美国心血管造影及介入学会专家委员(FSCAI)、中国医师协会心血管分会全国委员、全军心血管分会常委、首批国家卫健委介入培训导师等。
长期从事心血管疾病介入治疗20余年,擅长各种心血管复杂危重疾病治疗,包括老年瓣膜病不开胸介入治疗、房颤左心耳封堵治疗、复杂钙化性冠状动脉疾病治疗。担任《JACC Cardiovasuclar Imaging》编委、《中华心血管病学》审稿人、《心脏杂志》常务编委等。主持国家支撑计划子课题、国自然、军队省部级课题19项,获空军高层次科技人才资助,在Circulation,Diabetologia等杂志发表SCI及核心期刊论文90余篇,最高影响因子23.603。获中华医学会医学科学技术奖一等奖、军队医疗成果一等奖。荣获中华医学会青年菁英奖、领衔获批陕西省科技创新团队、陕西省青年科技奖,荣立个人三等功1次,获陕西省三八红旗手称号。
王子宽
空军军医大学唐都医院
医学博士,副主任医师。
中华医学会起搏与心电生理分会心脏远程治疗专业委员会委员,陕西省起搏与心电生理专业委员会委员。专业方向:心力衰竭药物治疗及三腔起搏器植入;冠心病介入治疗;快速心律失常射频消融治疗;缓慢心律失常起搏器植入。
杨竞霄
空军军医大学唐都医院
副主任医师,硕士学历,唐都医院心血管内科副主任医师。
陕西省保健学会高血压委员会委员,陕西医促会胸痛委员会委员。擅长诊治冠心病、原发性高血压病及心力衰竭等常见心血管疾病;介入手术方面,参与了10000余例介入手术包括冠心病介入、起搏器植入、先心病封堵术及心脏射频手术,尤其在处理冠状动脉急性血栓病变有丰富的经验。
主持省基金1项,曾在国内外期刊发表文章10余篇,参编专著1本,任副主编。


