2022年5月18日,天津市胸科医院姜楠教授带领团队陈庆良主任、赵丰主任、付博主任成功为一名复杂的Type0型重度主动脉瓣膜狭窄高龄患者植入了美敦力Evolut PRO经导管主动脉瓣膜系统(TAVR),此例植入为天津地区首例,同时也是全国首批植入。
术前超声心动图:
LVEF:61%;PPG:30mmHg;LA:42mm;RA:30mm;LV:52mm;
RV:30mm;Amax:6.3m/s;mPG:95mmHg;AVA:0.6cm²。
主动脉瓣重度狭窄;
主动脉轻度反流;
二尖瓣及三尖瓣轻度反流。
主动脉瓣根部:
CUSP OVERLAP植入视图:
Type0型二叶瓣环上结构:
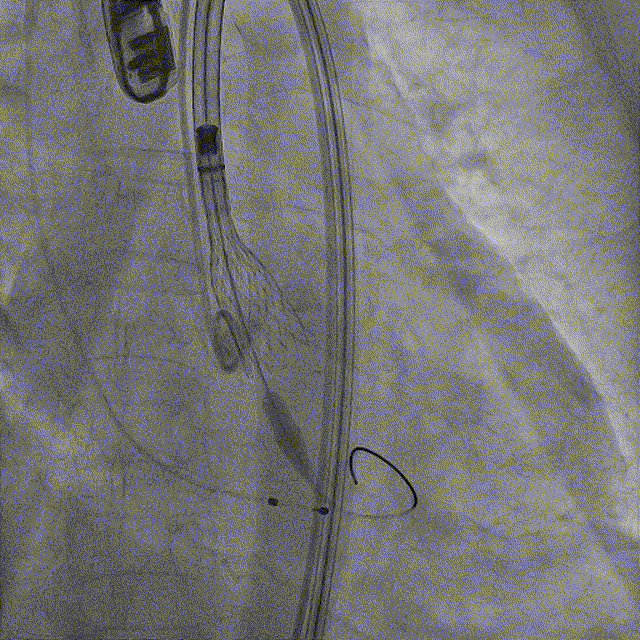
股动脉入路:
瓣膜尺寸的选择:预装26,备选29:
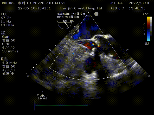
术前TEE检查:TEE多普勒检查
主动脉根部造影
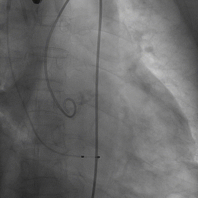
球囊预扩
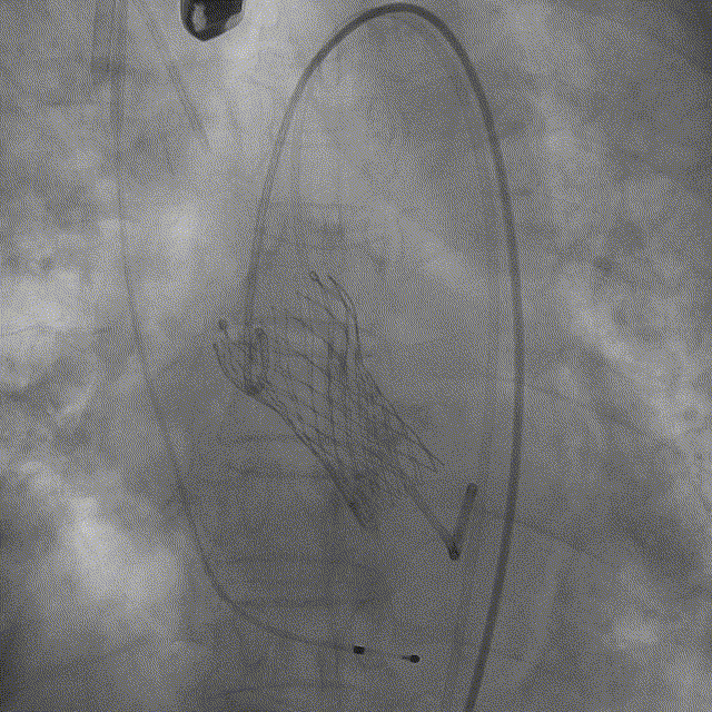
瓣膜定位和初始释放:采用美敦力标准化流程,应用Cusp overlap 技术,在模拟的左右窦重合的释放角度下将标记带调整到猪尾的中间开始释放
瓣膜释放到2/3:瓣膜缓慢释放到1/3时开始快速起搏,然后释放速度稍快一些直到2/3处(此处有触觉提示)。
瓣膜释放到80%:从2/3处开始缓慢释放到80%(即hat marker 标记带和上方黑色标记即将重合),然后进行各项(深度、流速、压差、反流等)评估。
最后释放:转至三窦共面视角,调整LAO至瓣膜流入端无视差,再次评估确认后从无冠窦撤出猪尾导管,回拉导丝释放张力并做最后释放
释放完成后造影
术后TEE检查
本例患者为Type0型主动脉瓣重度狭窄患者,CT分析只有两个瓣叶,正常人是三个瓣叶,且左右冠脉开口位于同一个瓣窦,该类型病例的主动脉瓣先天的开口小,瓣叶较长,加上中度的钙化,导致了重度的主动脉瓣狭窄。经过团队综合评估,该患者才74岁,先天只有两个瓣叶,开口较小,因此一款具备长期耐久性、安全稳定可回收、良好的术后瓣环有效瓣口面积、以及极低的起搏器植入率的瓣膜显得非常重要。最终选择了进口的,经过无数国外临床病例证明安全和有效的美敦力Evolut PRO 瓣膜;应用独特的Cusp Overlap技术,结合瓣膜合适的径向支撑力在重度狭窄的二叶瓣中更能稳定锚定。13mm高度猪心包生物外裙边可以减少不规则瓣环瓣周漏,且拥有稳定的多次(3次)可回收功能,实现精准定位,稳定释放。经过姜楠团队熟练配合,瓣膜位置合适,无明显瓣周漏,达到预期效果,患者术恢复良好。
美敦力TAVR被称作自膨胀瓣膜的鼻祖和金标准,在全球拥有全球累计超过3.2万名患者的临床数据,整体呈现高生存率、低卒中率、极少的瓣周漏以及优秀的血流动力学特性。美敦力TAVR已应用于全球160个国家与地区,40多万名患者因此而获益。Evolut PRO 为美敦力第三代TAVR产品,在秉承经典环上瓣设计理念的基础上增加了稳定的多次可回收功能以及生物组织外裙边,大大提高手术安全性和成功率,带给患者更好的临床获益。
根据《中国心血管健康与疾病报告2020》,心脏瓣膜疾病加权患病率为3.8%,约有2500万人受到瓣膜病影响,其中150万为重度主动脉瓣狭窄患者。令人担心的是,在国内主动脉瓣狭窄远不如高血压、冠心病等为广大人群所知,但主动脉瓣狭窄却非常凶险和致命 —— 早期几乎没有征兆,中后期会导致患者呼吸急促、头晕、心绞痛等不适,甚至可能出现心衰。如果不得到有效的治疗,50%患者会在2年内死亡,80%患者会在5年内死亡。
主动脉瓣狭窄是一种物理结构性改变,药物难以起到作用, 需要采用手术治疗才能进行根本性纠正。包括传统外科手术以及创新介入技术—— 经导管主动脉瓣膜置换术(TAVR),TAVR顺应新时代医疗趋势的疗法,有伤口小、恢复快、术后生活质量高等特点。
专家简介
姜楠
天津市胸科医院
国之名医优秀风范,三次荣获“天津市五一劳动奖章”,天津市胸心外科医疗质控中心主任委员、天津市医学会心血管外科学分会副主任委员、中国医师协会心血管外科医师分会委员及《Journal of Thoracic Disease》等期刊编委。擅长成人心血管外科的手术治疗、全胸腔镜微创心脏外科手术、经导管主动脉瓣介入置换手术及心脏危重症的体外生命支持、ECMO支持治疗,创立了二叶式主动脉瓣行TAVI术新的技术体系,创新型提出三孔法全腔镜二尖瓣置换/成形术及全腔镜主动脉瓣置换术,并取得了满意的治疗效果。主持天津市级课题1项,局级课题1项,发表论文20余篇,研究成果获得天津市科学技术进步二等奖1项、三等奖1项。
专家门诊时间
姜 楠主任:周一下午
陈庆良主任:周二上午
赵 丰主任:周二下午
徐 栋主任:周三上午
