2022年5月20日,四川大学华西医院郭应强教授团队成功应用南京圣德医疗科技有限公司研制的带结构贴合锚定及全新释放方式的自膨式TAVR产品Xcor,为一位外科高危高龄重度主动脉瓣狭窄合并中度关闭不全患者实施了经导管主动脉瓣膜置换手术。该例手术也标志着,由四川大学华西医院郭应强教授牵头的全国多中心研究正式起航。
Xcor系圣德医疗团队基于世界首创的“结构贴合(form-fitting)”的理念研发,是目前全球唯一从流出端开始释放且通过创新支撑臂结构实现双锚定的经导管主动脉瓣膜系统。
郭应强教授团队本次手术是Xcor瓣膜在中国的首例植入,同时还是全球第一台使用基于人工智能的心脏瓣膜疾病辅助决策软件进行术前规划的瓣膜手术。
患者信息
患者为68岁男性,因心悸胸闷入院。术前超声报告显示,患者为功能型二叶式主动脉瓣,右无融合钙化,主动脉瓣明显增厚钙化,瓣叶开放受限,主动脉瓣前向血流加速Vmax=4.2m/s,平均跨瓣压差36mmHg,有效开口面积0.7cm²,舒张期瓣口中度反流信号。
临床团队同时使用了基于医生手工描点的围术期影像评估软件和基于人工智能的瓣膜疾病围术期分析辅助决策软件进行术前影像学评估。
患者病史
通过术前测量,对病例深入分析,结合人工智能术前分析辅助决策软件进行三维和二维图像融合,郭应强教授指出本例手术存在以下难点:
瓣叶明显增厚钙化,瓣膜释放过程中存在移位风险。
功能型二叶式主动脉瓣,瓣叶开口偏向一侧,瓣膜释放后存在不同轴可能。
患者不到70岁,需要考虑远期冠脉保护。
通过对手术难点的分析,心脏团队经过全面的讨论,制定出相应的手术策略:
选择植入Xcor-26瓣膜,充分利用支撑臂避免瓣膜移位发生。
标准位释放,双锚定实现生理性同轴以获得更优的血流动力学效果。
在LAO 9 CAU 24(左右窦重合体位)投照角度,瓣叶交界贴合释放。
手术过程
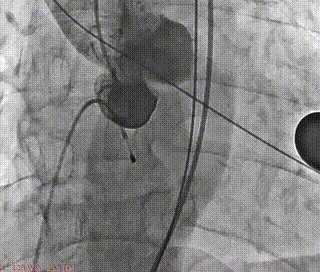
术前造影(左右窦重合体位)
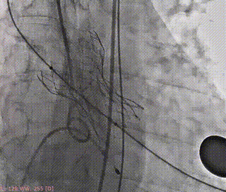
释放支撑臂
支撑臂释放后定位
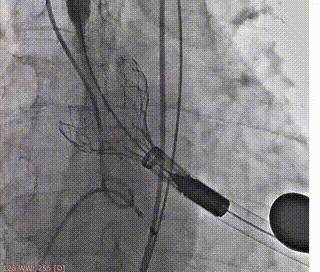
瓣叶交界贴合释放瓣膜
23mm球囊后扩
最终造影评估
术前、术后超声对比
术后评价
本次手术植入瓣膜定位准确,操作简便,症状即刻改善。术后超声显示瓣口未见明显反流,微量瓣周漏,主动脉瓣前向血流加速Vmax=1.9m/s,有效开口面积2.9cm²,PGmean=8mmHg。患者生命体征稳定,手术室当场清醒,手术圆满成功。术后复查超声恢复良好,3天后出院。
专家寄语:
四川大学华西医院郭应强教授:
Xcor这样一款世界首创结构贴合的产品问世,和当前市场上依赖径向支撑力锚定的瓣膜有非常大的差异。支撑臂的设计远优于单纯依靠摩擦力固定的方式,不单大大降低了瓣膜植入后移位的风险,并且提供了生理性同轴的血流动力学效果和精确定位植入,瓣叶交界贴合释放还为患者远期提供冠脉保护。同时该瓣膜系统是全球唯一从流出端释放且可回收输送系统,全新释放方式大大简化了手术操作,有望真正推动经导管主动脉瓣膜置换手术成为中国大多数心脏专科医生都能开展的日常手术,造福更多患者。
德意志心脏中心Lange院长:
祝贺Xcor的首例人体植入顺利完成。华西医院郭应强教授团队展现了对于世界首创器械的优秀理解和对于中国瓣膜病患者的结构的深厚认识,整个手术体现了世界级的团队合作和手术水平。
专家简介
郭应强
四川大学华西医院
华西医院副院长,心脏大血管外科教授,主任医师,博士生导师,美国胸外科学会(AATS)会员,国际微创心胸外科学会(ISMICS)会员,国家心血管病专家委员会微创心血管外科专业委员会副主任委员;亚洲心脏瓣膜病学会中国分会心脏瓣膜病介入治疗技术学术委员会副主任委员;中国医药教育协会心脏外科专业委员会副主任委员;四川省学术技术带头人;《中国胸心血管外科临床杂志》编委。
Rüdiger Lange
德意志心脏中心
德意志心脏中心院长,心脏外科主任。世界最早开展经皮瓣膜介入手术的外科医生之一。慕尼黑工业大学终生教授,发起并成立了慕尼黑心脏联盟。技术特长以经导管心脏瓣膜成型或者植入(主动脉瓣+二尖瓣+三尖瓣+肺动脉瓣)、瓣膜成形手术(腔镜或小切口)、重症先天性心脏病治疗以及终末期心力衰竭治疗等。德国心胸外科学会最高荣誉Ernst-Derra奖获得者。
结构贴合经导管主动脉瓣膜系统Xcor

