2022年5月22日,由安健教授领衔的结构性心脏病团队在山西省心研所成功运用拥有自主知识产权的新一代经导管二尖瓣缘对缘修复系统 - 申淇淇麟®系统,完成了山西省第一例经导管二尖瓣缘对缘修复手术。手术在云南省阜外心血管病医院潘湘斌教授团队的现场支持下,在美国西奈山医院Dr. Gilbert Tang的线上指导下,顺利完成,首次植入耗时仅2.5小时左右,患者术后恢复良好。
此手术的顺利开展,实现了山西省介入二尖瓣缘对缘修复手术0的突破,填补了全省介入性二尖瓣治疗领域的空白,也标志着由北部战区总医院韩雅玲院士作为主要研究者的申淇淇麟®经导管二尖瓣夹及可操控导引导管全国多中心注册临床试验又迈出了坚实的一步。
患者基本信息:
此患者为57岁女性,诊断重度功能性二尖瓣返流FMR,在最佳药物治疗1个月以上的情况下,二尖瓣返流仍无明显减轻,且临床症状显著,不能平卧,反复心衰发作病史,经过心脏团队多学科讨论,决定行经导管二尖瓣缘对缘修复手术。
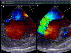
术前超声评估:
术前TEE提示重度功能性二尖瓣反流,反流位于A2/P2;
前瓣长度:25mm;后瓣长度:16mm;
前、后瓣叶对合深度:7.7mm;对合长度2.8mm;
瓣叶及瓣环无钙化,二尖瓣有效开口面积5.9cm²。
手术过程及结果:
手术于全麻下进行,手术采用经典股静脉房间隔途径,房间隔穿刺后置入24F导引导管及二尖瓣夹输送系统,在TEE引导下准确植入一枚二尖瓣夹,瓣膜夹位置稳定,植入后反流下降至1+,二尖瓣跨瓣平均压力阶差3mmHg,双孔化形成,遂移除器械输送系统。患者术后恢复良好,瓣膜夹位置稳定,已于5月16日出院。此次手术得到了医院领导、超声科、心胸外科、麻醉科、体外循环组、重症医学科、医务科及杂交手术室等科室的大力支持。
二尖瓣病变是发病率最高、介入治疗难度最大的瓣膜疾病。据不完全统计,我国二尖瓣病变潜在患者人数逾千万,治疗缺口极大。同时,由DMR及FMR二尖瓣关闭不全构成的复杂二尖瓣反流疾病谱,也大大增加了该类瓣膜病变治疗难度。介入二尖瓣诊疗器械的研发已成为全球心血管介入诊疗领域的热点及难点,而目前唯一成熟的介入二尖瓣技术便是经股静脉途径经导管二尖瓣缘对缘修复(TEER),以雅培的MitraClip™系列产品为代表,其已被FDA、CE和NMPA批准用于包括DMR及FMR的全二尖瓣反流疾病谱病变,临床技术体系已然成熟。
申淇淇麟®经导管二尖瓣夹及可操控导引导管是由上海申淇医疗科技有限公司研发的具有完全自主知识产权的经股静脉瓣膜介入修复系统,该产品已于2021年9月通过《创新医疗器械特别审查程序》,进入国家药监局创新产品"绿色通道"。该系统的核心技术参数对标国际最新一代经导管缘对缘修复系统,其输送系统具备在三个方向稳定调弯,并且拥有多型号力学优化的二尖瓣夹设计及瓣叶独立捕获能力。希望该系统的问世为我国广大的二尖瓣反流患者提供了更多新的治疗选择。
专家介绍
安健
山西省心血管病医院
副院长,冠心病介入病区主任、主任医师
中华医学会心血管分会动脉粥样硬化与冠心病学组成员
中国医促会心血管疾病预防与治疗分会常委
卫生部冠心病培训基地导师
山西医师协会心血管介入专业委员会主任委员
山西省卫生厅医疗质控中心心血管介入质控部副主任委员
山西省专家学者协会医学分会心血管专业委员会副主任委员
