OCC 2022|中山医院完成首例肺动脉高压右心衰竭患者心房分流器植入术

近日,复旦大学附属中山医院葛均波院士、周达新教授、潘文志教授、李明飞医师心脏团队,在心超科、麻醉科等多学科团队的密切配合下,使用上海傲流医疗科技有限公司自主研发的FreeFlow经皮房间隔分流系统完成了首例高龄肺动脉高压右心衰竭患者心房分流植入术,并在2022 OCC东方会上进行手术转播演示。

图片

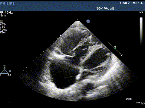
术前诊断

该手术患者为81岁男性,因反复胸闷、气促4年余,加重2周入院,诊断为肺动脉高压、阵发性房颤、心功能不全。

术前超声评估:

1.重度肺动脉高压伴重度三尖瓣反流,LVEF 60%,左心房左右径缩小,PASP 75mmHg;

2.继发性右房室增大,右室壁增厚伴收缩活动减弱;

3.轻度二尖瓣反流;

临床评估:

患者药物治疗效果欠佳,尿量少,下肢水肿不能缓解。经多学科团队评估后行心房分流术:通过心房水平右向左分流,减轻右心负荷,缓解右心衰竭症状。

图片

手术过程:

图片

第1步:

股静脉穿刺后上行到右心房,行房间隔穿刺术;

第2步:

球囊扩张房间隔穿刺孔,行房间隔造口术;

第3步:

FreeFlow输送系统过房间隔造口到达左心房;

第4步:

在心房逐步释放FreeFlow分流器左右盘;

第5步:

超声观察分流器穿隔血流;

第6步:

解离分流器,退出输送系统,加压包扎穿刺点。

图片

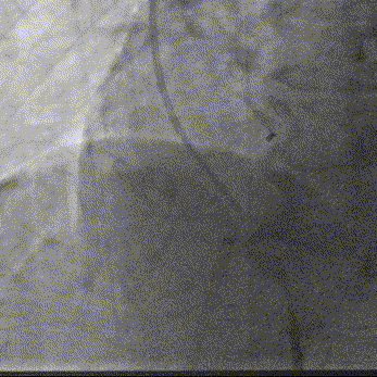
术后DSA

植入1枚分流孔径为5mm房间隔分流器,顺利完成手术,可见心房穿隔血流。

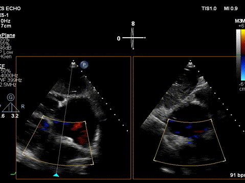
图片

术前心超

房间隔没有血流 

图片

术后心超

心房间可见分流束

术后超声评估:

1. 房间隔分流器植入术后;

2. PASP 61mmHg,重度三尖瓣反流,继发性右房室增大,右室壁增厚伴收缩活动减弱; 

3.轻度二尖瓣反流;

FreeFlow经皮房间隔分流系统特点:

• 全球首款具有高分子膜可快速内皮化,同时可二次回收的房间隔分流器;

• 独特的椭圆形盘面设计,较小的植入物体积;

• 5mm、7mm、9mm、11mm多孔径规格设计,更好的满足患者治疗需求;

• 8-10F输送系统设计独特弯曲角度,便于手术操作。

图片

该例高龄肺动脉高压右心衰竭患者成功植入FreeFlow经皮房间隔分流系统,术后心输出量增加,尿量较术前增多,右心衰竭症状改善。期待FreeFlow经皮房间隔分流系统尽快启动全国多中心注册临床试验,给更多的心力衰竭及肺动脉高压患者带来福音。

阅读数: 1392