“狭”路相逢:宁波市医疗中心李惠利医院叶红华院长、陈治奎主任瓣膜介入团队完成一例高难度主动脉瓣狭窄的TAVR治疗
图片


 经典病例

图片

2022年05月11日,宁波市医疗中心李惠利医院叶红华院长、陈治奎主任领导的瓣膜介入团队成功完成一例股动脉入路纤细Type 0型极重度钙化二叶瓣主动脉瓣置换术 (钙化积分2129mm²)。在医院多学科的共同协助配合下,手术顺利完成,目前患者出院,随访良好,无传导阻滞。标志着宁波市医疗中心李惠利医院在主动脉瓣治疗水平方面进入微创手术新时代。

图片

病史简介

患者:71岁男性,50kg/170cm



现病史:今年因“血尿4月” 2022年04月27日入院,收住泌尿外科;入院心超发现重度主动脉瓣狭窄,追问病史:胸闷气促症状病史约1月,2022年05月6日转入心内科拟行经皮微创主动脉瓣置换术(TAVR)。

术前检查

心脏超声

图片
  • 各房室内径未见明显增大,室间隔增厚,左室后壁厚度正常上限;

  • 最大跨瓣压差约94mmHg,平均跨瓣压差约59mmHg;估测肺动脉收缩压60mmHg。

目前诊断:

  1. 重度主动脉瓣狭窄,心功能3级

  2. 膀胱恶性肿瘤

  3. 肾功能不全

CT评估

图片

主动脉根部CT测量

图片
图片

瓣环周长87.9mm

平均径28.0mm

LVOT周长93.9mm

平均径29.7mm

图片

瓣叶增厚、重度钙化

图片

钙化积分2129mm²
主要在瓣叶及瓣叶交界处

图片
图片

主动脉弓角度与宽度可,心脏水平夹角47°

图片

入路血管左侧分叉高,无迂曲。左侧血管平均最小内径4.7mm,右侧血管平均最小内径4.2mm


手术治疗策略

术前讨论

陈治奎教授总结了该病例特点:

  1. 患者钙化非常严重,Type 0型二叶瓣,钙化积分高达2100+,钙化主要分布瓣叶、瓣叶交界,升主动脉严重扩张,必要时使用Snare辅助过弓和跨瓣;

  2. 患者主动脉弓角度在过弓时会遇到困难,并且降主动脉明显瘤样扩张,容易产生夹层;

  3. 患者入路条件不好,双侧股动脉明显狭窄,术中会采用外周预扩球囊4.0mm、5.0mm及6.0mm逐步预扩张右侧股动脉和右髂动脉,造影验证预扩后情况,根据预扩张后情况决定是否采用右侧股动脉为主入路血管;

  4. 患者入路血管左侧分叉高,无迂曲。

手术策略

对于Type 0型二叶瓣且钙化积分达到2100+,这种非常特殊病例,在瓣膜选择上需要非常谨慎:

  1. 考虑瓣膜选择Downsize,使用20mm球囊进行预扩;

  2. 使用VitaFlow®瓣膜,其柔顺性降可低过弓时血管夹层的分险。其高裙边可降低/改善术后瓣周漏风险;

  3. 植入TAV27瓣膜;

  4. 备22mm球囊后扩。

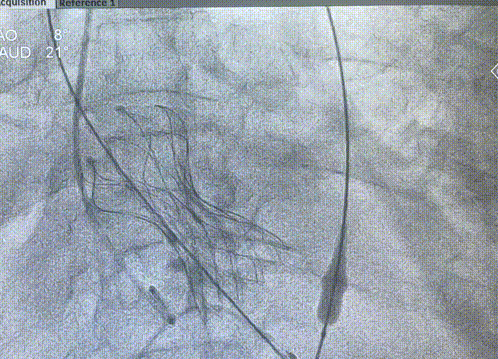
术中操作

图片
图片

20球囊预扩

输送系统定位

图片
图片

瓣膜释放完成

释放后造影

图片
图片

22球囊后扩

后扩后造影

图片

术后主动脉弓部造影,未发现夹层

最终结果

图片
图片

术后患者测得左室压力137/12mmHg,主动脉根部压力131/49mmHg。平均跨瓣压差由术前约59mmHg,改善至术后约6mmHg


术后讨论

术后团队对病例进行回顾与讨论,认为手术难点主要在于患者入路条件困难,术中入路产生血管痉挛,对于输送系统进入带来了极大的困难,瓣叶钙化严重,瓣膜位移风险高,瓣周漏严重等风险

图片

瓣膜介入团队合影

术前,在手术团队的配合下,充分进行术前讨论,反复模拟演练,为之后手术的顺利开展打下坚实基础。


手术当日,手术团队老师再次对手术方案进行确认,并再次商量手术策略以及考虑术中可能存在的一些突发情况,势必要给患者一个最完美的效果。手术过程相当顺利,全程按照预定手术策略稳步进行,且没有出现血管并发症。


最终,在整个手术团队通力合作,血管外科同事的帮助下,过弓顺利、定位精准,一次性释放成功,术后轻度瓣周漏,手术跨瓣压差均稳定在6mmHg,完美的完成了TAVR手术。

叶红华院长寄语

随着TAVR在中国的发展越来越快,患者群体不断的扩大,更多的病例呈现出来,此次宁波市医疗中心李惠利医院完成一例Type 0型极重度钙化二叶瓣主动脉瓣置换术(钙化积分2129mm²),为无法接受外科手术的患者带来了全新生命的希望。但同时带来的,是对术者的专业水准和医疗器械产品性能的巨大挑战


此次手术病例,经过整个TAVR团队术前对CT的慎密的分析,制定了比较完善的手术策略。最终TAVR手术的完美结果,离不开心脏多学科的通力合作,也离不开患者对TAVR、对宁波市医疗中心李惠利医院的信任。同时,极大地提高了团队的自信心,可以根据患者情况,做出更精确地选择,对于提高手术的安全性,及患者的预后有极大地帮助。对于团队来说,将更好的手术效果带给广大患者,为区域内的患者造福

专家信息

图片

叶红华,宁波市医疗中心李惠利医院党委副书记、院长、心血管内科专业主任医师(二级)、硕士生导师,擅长冠心病介入诊疗,瓣膜病介入诊疗和心血管疾病全程管理,宁波市医学会心血管病学分会主任委员,宁波市康复医学会心血管病专业委员会主任委员,浙江省医学会心血管病分会常务委员,中国医师协会高血压专业委员会委员。2005年日本廉仓综合病院心脏中心研修冠心病介入诊疗。2021年获评第三届宁波市卫生名医。



图片

陈治奎,主任医师、宁波大学医学院硕士研究生导师、瓣膜中心医疗主任,医务部部长、心血管内科学科带头人、浙江省医学会心血管病分会委员兼结构心脏病学组副组长、宁波市医学会心血管病分会副主任委员、浙江省预防医学会心脑血管病预防与控制委员会委员,中国医药教育协会心血管分会委员,美国Vanderbilt University 访问学者。主攻介入心脏病学,擅长危重、疑难心血管疾病的诊治和冠心病PCI手术,尤其是冠脉复杂病变和心脏瓣膜病的微创介入治疗。



图片

胡万英,主任医师、心内科一病区主任,中国心脏联盟浙江分会常委、中国医促会动脉粥样硬化和血栓分会委员、省康复医学会心血管分会委员及冠心病康复分会委员、宁波市医学会心血管分会委员及康复医学会心血管分会委员。擅长冠脉造影及支架植入等介入治疗,在冠心病、高血压、高血脂等心血管疾病诊疗方面有丰富临床经验。长期承担临床及教学工作,曾参与多个临床研究,发表临床实用论文数篇。

阅读数: 1645