Crescent双腔·吾技无双|中南大学湘雅二医院急诊科ECMO团队开展湖南首例双腔颈静脉插管ECMO危重患者救治
2022-05-25 21:07
5月21日,中南大学湘雅二医院急诊医学科ECMO团队采用先进置管技术实施了一例高难度静脉-静脉体外膜肺氧合(VV-ECMO)。相比传统股静脉—颈静脉双管置管技术,本次采用了国际先进的单管双腔颈静脉置管技术。据悉,这是湖南首例成功采用单管双腔颈静脉插管技术实施体外膜肺氧合。
置管过程中
患者田先生,从当地医院转入我院急诊ICU,诊断为“重症肺炎、I型呼吸衰竭”,经常规抗感染,并予以纯氧支持后,患者呼吸衰竭仍无改善。
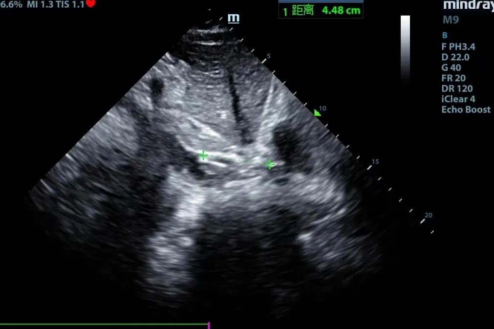
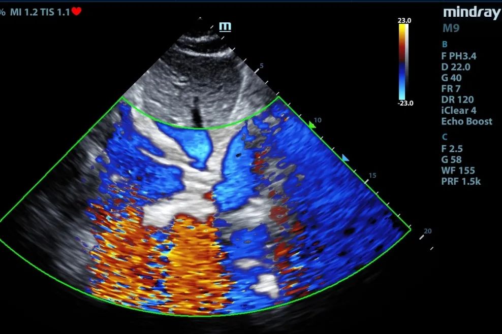
超声引导下,完成双腔颈静脉插管Crescent的置管和定位
张东山教授介绍:单管、双腔颈内插管较传统的双部位、单管插管技术难度更高;双腔插管需经颈内静脉、上腔静脉进入右心房后,再入下腔静脉,导管的三个开口需要分别位于上腔静脉、右心房、下腔静脉,且灌注口角度需要朝向三尖瓣,该要求对置管的深度及角度提出了极高要求,需要在超声引导下精准定位置管。但其优势也很明显:
❖ 该技术仅需在颈静脉置入单根导管,对患者损伤小、并发症少;
❖ 不占用股静脉置管,更便于患者早期康复,为后续清醒ECMO下的康复锻炼提供方便;为改善患者预后迈出了重要的一步。
Crescent双腔颈静脉ECMO插管
Crescent不透射线标记,使得X射线下置管及日常定位成为可能
湘雅二医院急诊科此次率先应用单管双腔颈静脉插管技术,填补了湖南省体外生命支持技术的该项空白,是我院急诊科ECMO团队在精准治疗、减少医源性损伤方面做出的又一项积极尝试。
专家简介
张东山
中南大学湘雅二医院
