2022年5月,中国首例SinoCrown™瓣膜植入治疗重度主动脉瓣狭窄患者完成术后1年随访结果,SinoCrown™瓣膜中长期安全性与有效性得到了初步证实。2021年4月6日,阜外医院吴永健主任团队和合肥高新心血管病医院方唯一主任团队,在合肥高新心血管病医院为该患者成功行经导管主动脉瓣置换(TAVR),这是SinoCrown™瓣膜首例临床应用(FIM)研究患者。期待中国SinoCrown™瓣膜治疗重度主动脉瓣狭窄的前瞻性、多中心临床试验(已启动,正在火热入组)研究效果。
患者基本情况
患者72岁,男性,患者7年前因“心慌、胸闷”在LAD植入一枚支架,术后规律服药一般情况尚可,先后多次到多家医院随访心脏彩超均为主动脉狭窄,与2020年10月12日在中国阜外医院行心脏彩超提示:主动脉瓣二瓣化、主动脉瓣中度狭窄伴少量反流、左房增大、升主动脉增宽。建议外科换瓣治疗,患者拒绝。近1个月患者反复胸痛,多于活动时发生,持续1-2分钟缓解,于2021年3月26日到定远县人民医院心电图示完全性左束支传导阻滞、ST-T段改变;心脏彩超示主动脉瓣钙化、主动脉瓣重度狭窄。建议上级医院诊疗,故于2021年3月26日于合肥高新心血管病医院就诊,以“主动脉瓣重度狭窄、冠心病、PCI术后”收住。诉半年来有上楼后胸闷气喘,数天前因流鼻血不止在当地医院就诊,外院心脏彩超提示:主动脉瓣钙化,主动脉瓣中度狭窄伴关闭不全;三尖瓣轻度关闭不全,左室顺应性减低。现患者为求进一步诊疗,遂来我院就诊,以“主动脉瓣中度狭窄伴关闭不全”收住。超声心动图显像提示:主动脉瓣重度狭窄、钙化伴少量反流,最大峰值血流速度为5.1m/s,平均跨瓣压差为62mmHg,瓣口面积约为0.46cm²,左室EF为58%;二尖瓣钙化伴少量反流;心包积液。
术前CT评估
术前分析及手术策略
患者为Type1型二叶瓣,左右融合钙化脊,主动脉瓣重度钙化,双冠脉高度可,左前降支中段支架上管腔明显狭窄。患者美国胸外科医师协会(STS)评分为1.288%,预期术后30天内发生死亡或不可逆合并症的风险>50%,存在手术禁忌的合并症(主动脉弥漫性钙化),预期外科术后30天内发生死亡或者不可逆合并症的风险>30%,且患者拒绝外科手术,符合TAVR手术适应症,故决定进行TAVR手术治疗。经过多科室团队和企业团队对患者病例深入分析,反复讨论后,决定选用25mm球囊预扩张,同时决定使用SinoCrown™可回收主动脉瓣膜系统,视预扩张情况,选择植入27号瓣膜,经由右侧股动脉入路完成此次手术。
手术过程
冠脉造影示LAD原支架近段狭窄90%
LAD置入支架后造影
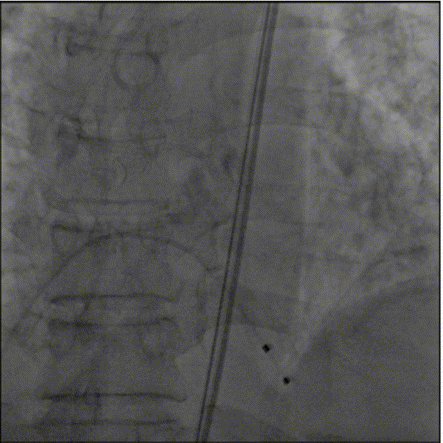
主动脉根部造影
导丝跨瓣
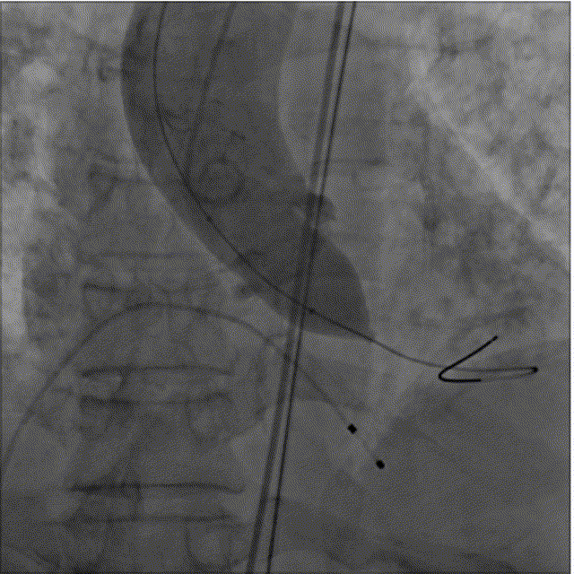
球囊(25mm)预扩钙化的主动脉瓣
SinoCrown瓣膜定位
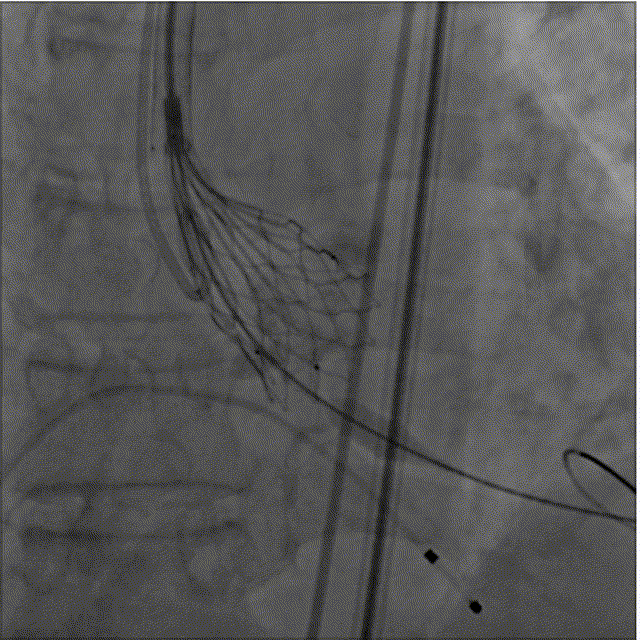
SinoCrown瓣膜逐步释放
SinoCrown瓣膜释放后已工作(解锁前)
SinoCrown瓣膜完全释放后最终造影(解锁后)
术后讨论
在手术进行之前,心内科团队与多方专家进行会诊沟通,认为患者钙化明显,冠脉需要介入处理,故需要选择一款过弓顺利、支撑力优良,不影响后期冠脉手术的瓣膜。患者术后即刻食道超声可见支架位置固定良好,短轴塑性良好,支架扩张形态均匀一致,瓣叶启闭运动尚可;EF提高到60%,最大峰值血流速为1.7m/s,平均跨瓣压差为7mmHg,瓣口面积约为2.2cm²,瓣环内未见明显反流,瓣架前后缘微量瓣周漏。患者心功能明显改善,恢复状态良好,手术圆满成功。
随访结果
术后第六天出院前,心脏彩超提示:人工瓣支架位置固定良好,短轴塑性良好,支架扩张形态均匀一致,瓣叶启闭运动尚可;EF为55%,最大峰值血流速为2.53m/s,平均跨瓣压差为13mmHg,瓣口面积约为2.0cm²,瓣环内未见明显反流,瓣架前后缘探及微量瓣周漏。
术后30天随访,心脏彩超提示:人工瓣支架位置固定良好,短轴塑性良好,支架扩张形态均匀一致,瓣叶启闭运动尚可;EF为59%,最大峰值血流速为2.18m/s,平均跨瓣压差为10mmHg,瓣口面积约为2.0cm²,瓣环内未见明显反流,瓣架前后缘探及微量瓣周漏。
本次患者完成术后一年随访,心脏彩超提示:人工瓣支架位置固定良好,短轴塑性良好,支架扩张形态均匀一致,瓣叶启闭运动尚可,闭合欠佳;EF为55%,最大峰值血流速为2.15m/s,平均跨瓣压差为8mmHg,瓣口面积约为1.9cm²,瓣环内未见明显反流,瓣架前后缘探及少量瓣周漏。
患者术前基线时、术后即刻及术后随访结果如下:
从随访结果可见,人工主动脉瓣膜植入术后即刻至术后一年无明显变化,瓣膜位置固定正确,瓣架展开充分,瓣叶运动状态可,瓣膜功能良好,对患者心功能有着持续性的改善。此次术后一年随访结果优秀,说明SinoCrown™瓣膜的长期临床疗效值得肯定和进一步期待。
SinoCrown™瓣膜及输送系统构成
A:SinoCrown™瓣膜体外展开形态及构成材质
B:该瓣膜输送系统整体形态、释放旋钮(标记1)和解锁旋钮(标记2)
“工欲善其事必先利其器”,随着国内外经导管主动脉瓣置换技术的蓬勃发展,新的国产瓣膜和器械不断产生[1,2]。SinoCrown™瓣膜与先前上市国产的自膨式瓣膜[3-5]及国外的球囊扩张式瓣膜均有明显的结构差异,其优点包括:(1)架体特点:短支架而极少植入物;独特内外裙可降低瓣周漏;优异血液动力学特性;支撑力优异而适应二叶式主动脉瓣患者;具有定位标记。(2)瓣叶特点:牛心包瓣叶持久耐用。(3)释放特点:全挂头连接,配合完全可回收再定位输送系统,可实现100%完全回收;独特释放过程,展开极其稳定;(4)最具特色设计理念:释放过程长瓣膜形式,瓣膜植入过程稳定性增强,不弹跳;解锁后短瓣膜形式植入体内,遮挡冠脉口风险低,便于后期冠脉再次干预。
本例为国内首次采用SinoCrown™瓣膜成功治疗重度主动脉瓣狭窄的外科低危患者[6],术后即刻效果良好,12个月随访结果喜人,后期冠脉介入更为方便,充分证明了新型创新瓣膜的安全有效性。
目前,SinoCrown™瓣膜治疗的FIM研究已经结束,而中国SinoCrown™瓣膜治疗重度主动脉瓣狭窄的前瞻性、多中心临床试验已启动(正火热入组),其疗效有望在该试验中得到进一步验证。
参考文献:
1. 中国经导管主动脉瓣置换术临床路径专家共识(2021版). 中国循环杂志. 2022;37(01):12-23.
2. 结构性心脏病介入治疗2021年度报告精要. 中国介入心脏病学杂志. 2022;30(01):17-22.
3. Wang M, Song G, Chen M, Feng Y, Wang J, Liu X, et al. Twelve-month outcomes of the TaurusOne valve for transcatheter aortic valve implantation in patients with severe aortic stenosis. EuroIntervention. 2022;17(13):1070-6.
4. Song G, Jilaihawi H, Wang M, Chen M, Wang Ja, Wang W, et al. Severe Symptomatic Bicuspid and Tricuspid Aortic Stenosis in China: Characteristics and Outcomes of Transcatheter Aortic Valve Replacement with the Venus-A Valve. Structural Heart. 2018;2(1):60-8.
5. 宋光远, 王墨扬, 王媛, 刘先宝, 冯沅, 孔祥清, 等. Venus-A主动脉瓣膜介入治疗重度主动脉瓣狭窄的效果. 中华心血管病杂志. 2017;45(10):843-7.
6. 陈阳, 刘庆荣, 牛冠男, 张洪亮, 王宇彬, 宋光远, 等. 中国首例SinoCrown~(TM)经皮介入主动脉瓣置入术. 中国循环杂志. 2022;37(02):193-6.
撰写:中国医学科学院阜外医院
陈 阳医生 刘庆荣医生
审核:中国医学科学院阜外医院
牛冠男主任 王墨扬主任
张洪亮主任 赵 杰主任
合肥高新心血管病医院
心内科 段 伟主任
专家简介
吴永健
中国医学科学院阜外医院
北京协和医学院长聘教授、博士生导师、主任医师。中国医学科学院阜外医院冠心病中心主任、结构性心脏病中心副主任、冠心病二病区主任。
中华医学会心血管病分会委员,中华医学会心血管病分会冠心病与动脉粥样硬化学组副组长,中国医师协会心血管病分会常务委员,北京医学会心血管病分会副主任委员,中国医师协会中西医结合医师分会心脏康复专业委员会主任委员,世界中联心脏康复专业委员会主任委员,中国医师协会心脏重症专家委员会副主任委员,海峡两岸医学交流协会心脏重症专家委员会副主任委员以及全国多个学会的副主任委员、常委或委员;北京市冠心病介入质控专家组成员,中央和山东省保健成员,北京市医疗事故鉴定组成员。
《中国循环杂志》、《中国介入心脏病杂志》编委,《中华心血管病杂志》、英国《心脏》(HEART)杂志通讯编委及多家其他杂志的编委。
获得2020年教育部科技进步奖一等奖,2020年中华医学科技进步奖二等奖。
擅长复杂冠心病的介入治疗,在国内率先开展OCT、FFR、旋磨技术、准分子激光消蚀手术(ELCA)等,目前他与心脏外科医生通力协作开展复合杂交手术,具全国前列,为常规介入手术或搭桥手术高危和远期疗效差的患者提供了全新治疗手段。
吴永健教授是我国最早开展不用开胸经导管进行主动脉瓣膜置换的专家之一。承担国家和省部级科研课题12项,横向课题10项,2020年国家科技部国家重点研发计划专项(老年瓣膜性心脏病标准评估体系及优化治疗路径研究)任首席专家;已完成经导管主动脉瓣膜置换(TAVR)1000 余例。从零开始探索我国TAVR 体系,参与研发我国首个临床应用的商业化人工瓣膜Venus-A,参与研发多款其他瓣膜(VitaFlow、TaurusOne、Silara 和SinoCrown),获专利30 余项;参与制定我国首个《经导管主动脉瓣置换术中国专家共识》;打造国内首个TAVR 影像学核心实验室;国际上首次提出CT“多平面评估体系”;推广标准化TAVR体系在全国100 多家医院应用。
