2022年5月13日,兰州大学第一医院心脏中心白明教授团队成功为一名高龄、重度主动脉瓣膜狭窄伴房颤心衰患者行经导管主动脉瓣膜置换(TAVR)和左心耳封堵(LAAC)手术,此例为甘肃地区首例TAVR+LAAC一站式手术,预示着甘肃地区结构性心脏病诊疗继续迈向新高度。
该病例为一例72岁男性,重度主动脉瓣狭窄、房颤、心力衰竭反复2年,辗转全国多家医院住院治疗无明显改善,近日加重转入兰州大学第一医院心脏中心。
经各项术前诊断分析,白明教授充分评估后,决定行经导管主动脉瓣膜置换(TAVR)和左心耳封堵(LAAC)一站式手术彻底解决患者心脏结构问题,此手术难点突出:
1、地区未开展过类似一站式手术,技术要求高,挑战大;
2、瓣环形态特异,Type0型二叶瓣本身具有TAVR植入困难的特点;
3、患者为反鸡翅型心耳,且深度较浅,对房间隔穿刺轴向和浅心耳植入经验要求较高;
4、患者高龄,伴房颤心衰,要求对围术期全面管理具有丰富经验。
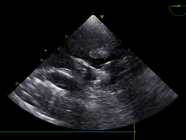
术前超声心动图:
主动脉瓣狭窄(重度,跨瓣平均压差69mmHg),房颤、心衰,反复住院2年;瓣环直径2.4cm,AV 5.0m/s EF 59%。
CT分析:
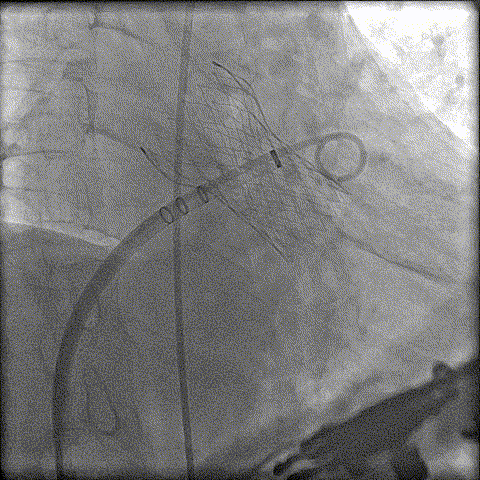
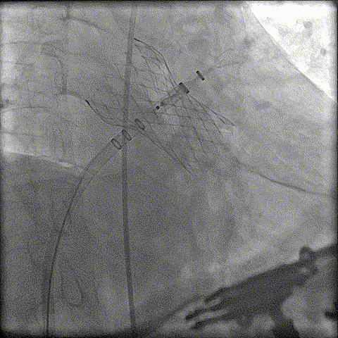
预扩
猪尾中部释放
稳定回收
评估
最终释放
后扩
无瓣周漏
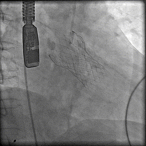
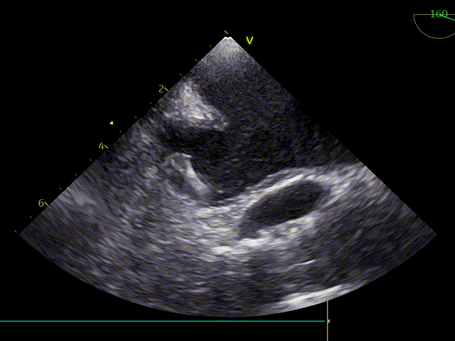
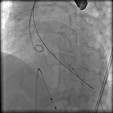
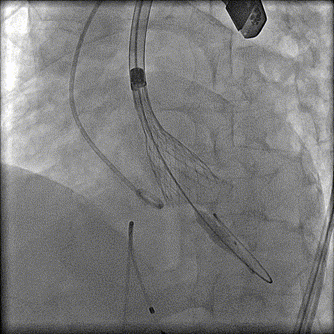
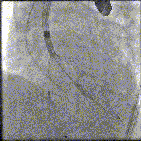
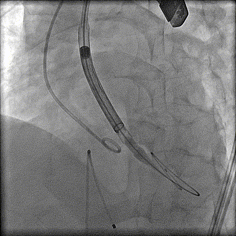
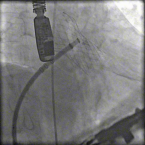
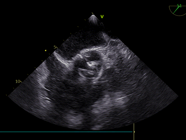
术前CT分析判断该心耳为反鸡翅型左心耳,选择偏下略偏前的位置进行房间隔穿刺。在工作体位造影后,可见左心耳内梳状肌发达,反鸡翅叶显影清晰,鞘管轴向佳。经DSA测量左心耳开口18mm深度17mm,结合TEE测量数据,综合考虑选用WATCHMAN24mm封堵器进行封堵。在展开封堵器时利用在体内借深度技巧,保证封堵器封堵位置合理。封堵器展开后经造影检查封堵器封堵效果理想,牵拉试验稳定。超声评估封堵器各角度无残余分流,位置理想,满足PASS原则,随即释放封堵器,一站式手术顺利结束。
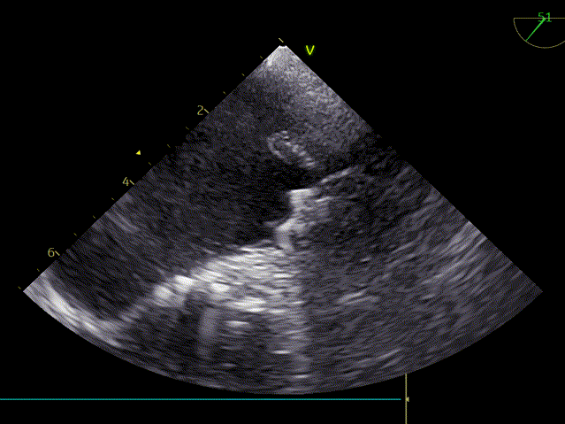
TEE45度检查左心耳
TEE0度封堵效果
TEE50度封堵效果
TEE135度封堵效果
左心耳造影
封堵器缓慢展开
即刻造影
释放封堵器
中心简介
兰州大学第一医院结构性心脏病诊疗团队自2004年就开始进行结构性心脏病的治疗,但当时仅限于血动脉导管、肺动脉狭窄扩张等。
随着器械和技术的进展,白明教授带领团队成员不断突破,创造了甘肃省内多个首次。
2016年,在兰州大学第一医院新落成的心脏中心导管室内完成了甘肃省第一例左心耳封堵术;
2018年,完成了甘肃省内第一例TAVR手术;
2020年,凭借团队前期丰富扎实的知识积累(去往美国、台湾等很多中心学习培训),可以开始独立开展TAVR。
在白明教授带领下,兰州大学第一医院心脏中心已累计完成百余例TAVR,包括抢救性急诊的、高龄复杂的TAVR植入,以及合并其他疾病临床情况复杂的TAVR患者,整个团队TAVR手术水平快速发展并造福更多患者。
专家简介
白明
兰州大学第一医院
主任医师,医学博士,教授,硕士生导师,兰州大学第一医院副院长;甘肃省医学会心血管病专业委员会主任委员;甘肃省心血管疾病重点实验室主任;甘肃省心血管介入专业质控中心主任;甘肃省领军人才;甘肃省卫生健康行业骨干人才;中国医师协会心律专业委员会委员;中国医师协会胸痛专业委员会委员;中国胸痛中心认证专家;国家卫健委。
冠心病、心律失常及先心病介入培训基地导师。
