2022年5月14日,厦门大学附属心血管病医院王焱院长带领的血管外科团队成功应用启晨医疗自主创新研发的经导管肺动脉取栓系统(TwiFlow™)为一位急性肺栓塞患者完成了经导管肺动脉取栓手术。
该患者因一过性突发意识不清,头晕胸闷气促由120急诊入院,经诊断急性双侧肺动脉栓塞,病情危重。经血管外科团队充分术前评估后,于24h内应用TwiFlow™行肺动脉栓术,手术顺利,患者即刻转危为安。
本次手术的顺利完成标志着TwiFlow™在全国开展临床研究的开始,也标志着厦门大学附属心血管病医院在肺血管领域更深入的探索。
肺血栓栓塞症(Pulmonary Embolism,PE)是目前常见的三大致死性心血管疾病之一,具有高发生率、高致残率和高死亡率的特点。国内统计在10万成年人中,大约有110人可发生肺栓塞。未治疗患者的30天死亡率为30%,11%的患者在入院后的第一个小时内死亡,大量急性肺动脉栓塞患者病情迁延,转为慢性血栓性肺动脉高压,严重影响生活质量,大量消耗医疗、社会资源。临床亟需安全且高效的治疗手段。以往的治疗手段有诸多限制。
术前分析:
该患者是一名52岁中年男性,10天前无明显诱因突发短暂性意识不清,并持续头晕、胸闷、气促。BNP 2223 pg/ml、DDimer˃4.00 ug/ml;
术前CTA影像
血管外科团队充分评估,认为应用新型经导管肺动脉取栓系统是更优的治疗方式。
手术过程:
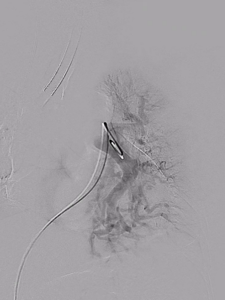
血管外科团队顺利完成股静脉穿刺,置管造影,然后在DSA指引下顺利送入抽吸导管至左右肺动脉主干,以取栓系统取出大量新鲜、陈旧混杂血栓,双肺末梢动脉即刻恢复灌注。
右肺取栓前后影像
左肺取栓前后影像
术后评估:
患者术后麻醉清醒,呼吸平稳顺畅,右心缩小,BNP、肺动脉压力下降,临床症状、指标得到明显改善。
本次手术为该器械首次临床运用。此例手术证明该取栓系统各方面优点:术前准备时间短,术中血栓清除效率高,术后无需辅助溶栓治疗,术后恢复快。
术中取出血栓汇总图
专家简介
王焱
厦门大学附属心血管病医院
厦门大学附属心血管病医院院长、教授、博士研究生导师、主任医师。FACC、FESC, FSCAI。任中华医学会心血管病分会委员、中华医学会心血管病学分会介入心脏病学组副组长、海峡两岸医药交流协会心血管分会主任委员、中国胸痛中心认证工作委员会副主任委员、中国医师协会心血管内科医师分会委员;获得国家卫生健康突出贡献中青年专家、福建省科技进步一等奖、福建省科技创新领军人才、厦门市科学技术重大贡献奖、厦门经济特区建设30周年杰出建设者、厦门经济特区建设40周年创新创业人物、第九届中国医师奖、2018年度十大医学贡献专家,享受国务院特殊津贴;从事心血管内科专业二十余年,擅长各种高难度复杂性冠心病、外周动脉闭塞性病变的PTCA及支架手术以及结构性瓣膜性疾病治疗。
庄晖
厦门大学附属心血管病医院
医学博士,厦门大学附属心血管病医院血管外科主任,副主任医师。福建省医学会血管外科分会委员,国家心血管病专家委员会血管外科专业委员会青年委员会委员,国家心血管病专家委员会血管外科专业委员会下肢动脉委员会委员,医师协会血管外科医师分会内脏动脉学组委员,国际血管联盟国际青年委员会委员,国际血管联盟中国分会下肢动脉专业委员会委员,中国医疗保健国际交流促进会血管外科分会静脉疾病治疗学组委员,法国斯特拉斯堡访学访问学者,德国纽伦堡访学访问学者。

