2022年5月11日,广西壮族自治区人民医院急诊科吕立文主任带领的ECMO团队,首次采用one-site双腔插管成功实施VV-ECMO救治一例重症肺炎患者。据悉,此次双腔ECMO插管的成功应用为广西首例。目前为止,国内常规通过股静脉-颈静脉的双管置管技术开展VV-ECMO;Crescent双腔插管产品及技术的成功应用,将使得VV-ECMO向着更少创伤、更低并发症、更好病人活动性的目标大踏步迈进!
Crescent双腔颈静脉ECMO插管
接受治疗的患者被诊断为“重症肺炎、急性呼吸衰竭”,辗转多地就诊,病情进展迅速,高参数呼吸机辅助下仍不能有效改善缺氧,广西壮族自治区人民医院急诊科ECMO团队评估该患者已经达到VV-ECMO上机指征。
经家属同意、团队讨论后,立即为患者进行了食道超声(TEE)引导下双腔颈静脉插管,接VV-ECMO支持治疗。ECMO转机辅助后,患者呼吸机参数有效下调,氧合明显改善。
双腔插管置管成功
双腔插管支持过程中
患者ECMO支持过程中
吕立文主任介绍:相较于传统单腔插管,虽然双腔插管的技术要求更高,需要在X线或超声引导下精准定位置管。但其优势也非常显著:
❖ 首先:该技术仅在颈静脉置入单根导管,对患者损伤小、并发症少;
❖ 其次:可减少再循环,提升ECMO效率;
❖ 最为重要的是:不占用股静脉置管,更便于患者早期开始康复治疗;为改善患者预后迈出了重要的一步。
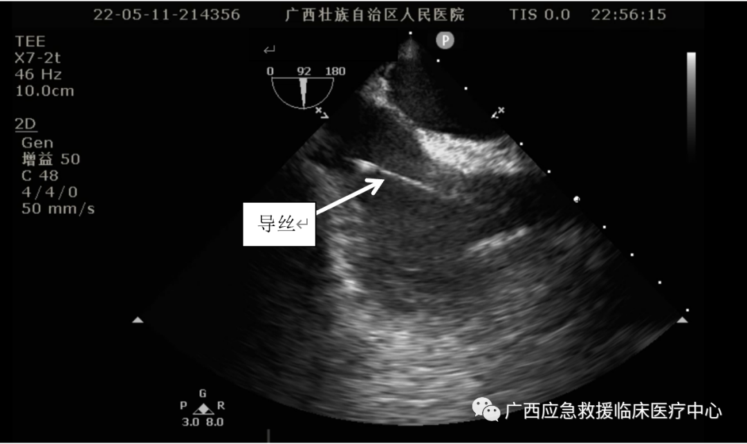
食道超声引导下进行Crescent置管及定位:
食道超声引导导丝
食道超声定位导管
食道超声定位ECMO血流
此次使用的Crescent双腔颈静脉ECMO插管,通过创新的设计,即:在插管重要的引流和灌注部位设置的不透射线标记marker,使得在X射线下(如DSA,床旁X光机等)进行置管及定位操作成为可能;为ECMO专家、医护提供了除超声外的更多、更灵活的选择。
Crescent不透射线标记:使得“X射线下的置管及定位”成为可能
创新的产品与技术推动医疗发展,医疗的进步促进产品持续创新。我们有理由相信:随着双腔颈静脉插管技术在国内的规范化应用,VV-ECMO将向着更少创伤、更低并发症、更好病人活动性的目标大踏步迈进!
团队介绍:
广西壮族自治区人民医院急诊科此次率先应用双腔颈静脉插管技术,填补了广西体外生命支持技术的该项空白,是该院急诊科ECMO团队在精准治疗、减少医源性损伤方面做出的又一项积极尝试,也将对学员单位起到良好的示范作用。
专家简介
吕立文
广西医学科学院·广西壮族自治区人民医院
急诊科主任,留英博士,主任医师,硕士研究生导师。
中国医师协会急诊分会全国委员;中国医师协会体外生命支持专业委员会全国委员;中国医促会重症分会常委;广西医师协会急危重症超声专委会主任委员;广西医学会急诊分会副主任委员;广西医师协会体外生命支持专业委员会副主任委员。
