华西医院陈茂教授团队成功完成DragonFly™功能性二尖瓣返流本院首例入组

2022年5月12日,由四川大学华西医院心脏内科陈茂教授、冯沅教授,联合超声心动图室梁玉佳魏薪医师等组成的心脏内科经导管心脏瓣膜病介入治疗团队,应用来自德晋医疗科技有限公司研发的经导管二尖瓣瓣膜夹系统(DragonFly™),成功完成医院首例将经导管二尖瓣缘对缘修复手术用于治疗功能性二尖瓣返流(FMR)的确证性临床研究。

图片

早在2020年11月,陈茂教授冯沅教授团队就已应用DragonFly™成功完成了经导管治疗器质性二尖瓣返流(DMR)的介入手术。此次针对FMR的手术成功再次展现了四川大学华西医院在我国二尖瓣介入治疗领域的实力及先锋地位。

患者为55岁男性患者,诊断为扩张型心肌病,在优化药物治疗后心衰症状未得到改善,术前经胸超声检查提示二尖瓣重度返流(4+),左室舒张末径7.54cm,左室收缩末径6.51cm,左室射血分数28.1%,缩流颈0.51cm,有效返流口面积0.55cm²,二尖瓣瓣口面积4.51cm²。

手术难点:第一,患者二尖瓣后瓣叶活动受限,长度较短,且后瓣环严重钙化,抓捕困难大,可能需要多次尝试夹合;第二,患者二尖瓣返流口宽度较大,有需要使用多个瓣膜夹进行夹合的可能。手术过程复杂,难度较高,如何平衡术后残余返流和继发狭窄风险,需要术者凭借丰富的临床经验仔细评估后决策。


手术过程:术中,陈茂教授和冯沅教授团队与梁玉佳、魏薪医师密切配合,在超声和X射线引导下经股静脉入路,完成房间隔穿刺后,通过特殊设计的操作手柄将器械送达病变区域,通过反复评估二尖瓣瓣叶抓捕位置和返流程度,先后使用两枚瓣膜夹在二区巧妙实施夹合。整个手术流畅完美,术后患者无明显不适感,返流程度降至轻度(≤2+)。

图片

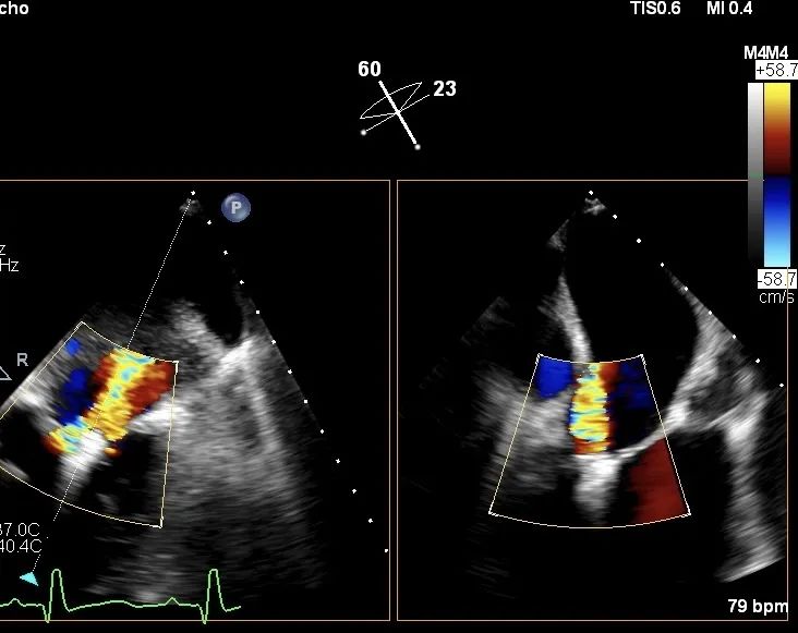
患者术前二尖瓣重度返流(4+)

图片

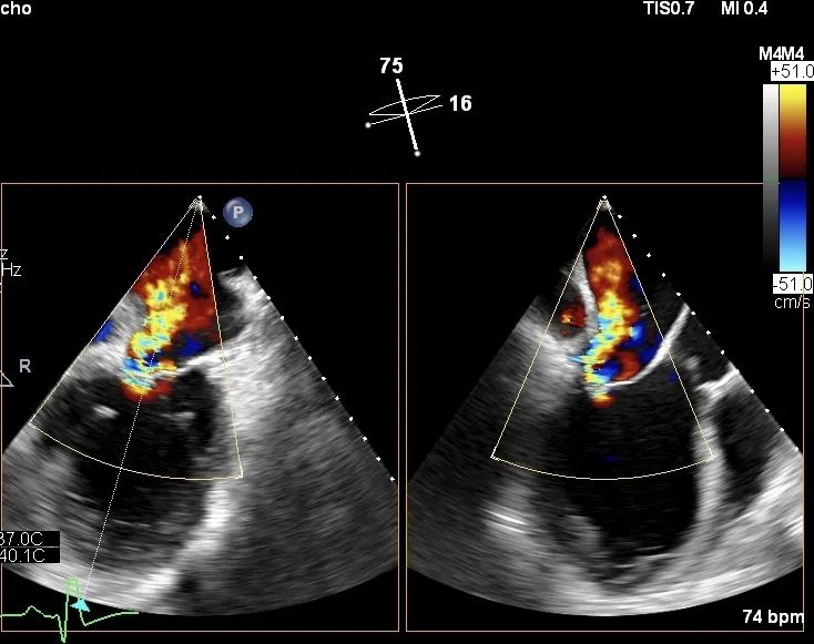
第一枚瓣膜夹夹合后二尖瓣仍有较多返流

图片

第二枚瓣膜夹夹合后二尖瓣轻度返流

图片

二尖瓣返流是最常见的心脏瓣膜疾病之一,在西方总体人群中的发病率约为1.7%,其发病率随年龄的增长而增加,在≥65岁人群中的发病率可达7.3%。经导管介入技术的发展为大量高危而不能耐受外科手术的患者带来了福音。四川大学华西医院心脏内科在经导管心脏瓣膜病介入治疗领域有着丰富的经验,已开展经导管主动脉瓣、二尖瓣、三尖瓣以及肺动脉瓣等瓣膜疾病的相关介入治疗,旨在为广大有迫切治疗需求的心脏瓣膜病患者提供最佳治疗方式。

阅读数: 2182