扬帆起航 蓄力前行 | 广东省人民医院完成国产创新介入二尖瓣修复器械注册临床试验华南地区首例入组

2022年5月7日,正值广东省人民医院心脏瓣膜病介入中心的成立之际,经过术前充分的评估和准备,由陈纪言教授领导、谭宁教授主持,麻醉科和心外科的大力协助下,心血管内科罗建方教授、李光教授、董豪坚教授、杨峻青教授、付明教授等通力合作,在美国西奈山医疗系统Dr. Gilbert Tang教授线上指导下,运用全新一代经导管二尖瓣缘对缘修复系统 – 申淇®系统,为一位高龄退行性二尖瓣反流患者成功实施了股静脉途径经导管二尖瓣介入修复术。团队配合密切,手术过程顺利,患者恢复良好。 该例患者的成功入组标志着北部战区总医院韩雅玲院士主导的经导管二尖瓣介入治疗多中心注册临床研究在华南地区的正式开始。

图片

患者基本信息:

入组患者为74岁男性,有冠心病史(三支病变,PCI术后),高血脂,高血压,心衰,此次主诉“反复咳嗽、气促1年余”入院。 

术前经胸超声显示:二尖瓣后叶脱垂,部分腱索断裂,重度二尖瓣(反流量4+),中度三尖瓣。EF 68%,VC 5mm,EROA 0.57cm²,MVA 4.5cm²。

经食道超声显示(术前):二尖瓣P2脱垂,反流束主要来源于A2/P2区域,前叶长度28mm,后叶长度14mm,脱垂宽度为11m,脱垂高度为9.5mm,量4+。

诊断:心脏瓣膜病,二尖瓣脱垂。

经心脏团队讨论评估该患者STS 评分8.699%,外科开胸手术高危。为使患者尽快得到有效救治,经省医团队会诊后决定采用申淇®经导管二尖瓣夹及可操控导引导管,在心脏超声指导下施行经皮二尖瓣钳夹术。

图片

图片

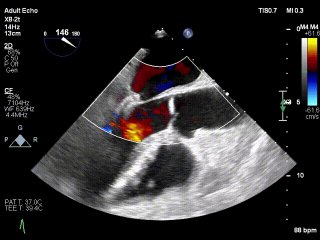
术前TEE显示二尖瓣重度反流,反流主要来源于A2/P2区

患者全麻后,在经食道超声心动图和X射线引导下,经股静脉入路,将申淇®系统瓣膜夹顺利送至二尖瓣A2/P2区域,经调整位置使瓣膜夹垂直对合缘,跨瓣,应用单瓣叶独立捕获功能,成功地分别捕捉二尖瓣前叶和后叶,经超声心动图反复确认瓣叶夹持牢固,反流量降至1+。遂释放瓣膜夹,超声心动图评估瓣膜夹位置和功能良好,瓣膜夹活动度低,手术顺利完成。

图片
TEE显示,二尖瓣夹植入后反流减少
图片
3D TEE显示,双孔化形成良好

二尖瓣病变是发病率最高、介入治疗难度最大的瓣膜疾病。据不完全统计,我国二尖瓣病变潜在患者人数逾千万,治疗缺口极大。同时,由DMR及FMR二尖瓣关闭不全构成的复杂二尖瓣反流疾病谱,也大大增加了该类瓣膜病变治疗难度。介入二尖瓣诊疗器械的研发已成为全球心血管介入诊疗领域的热点及难点,而目前唯一成熟的介入二尖瓣技术便是经股静脉途径经导管二尖瓣缘对缘修复(TEER),以雅培的MitraClip™系列产品为代表,其已被FDA、CE和NMPA批准用于包括DMR及FMR的全二尖瓣反流疾病谱病变,临床技术体系已然成熟。

申淇®经导管二尖瓣夹及可操控导引导管是由上海申淇医疗科技有限公司研发的具有完全自主知识产权的瓣膜介入修复系统,该产品已于2021年9月通过《创新医疗器械特别审查程序》,进入国家药监局创新产品"绿色通道"。该系统的核心技术参数对标国际最新一代经导管缘对缘修复系统,其输送系统具备在三个方向稳定调弯,并且拥有多型号力学优化的二尖瓣夹设计及瓣叶独立捕获能力。该系统的问世为我国广大的二尖瓣反流患者提供了更多新的治疗选择。随着此例DMR患者华南地区首例入组的成功完成,相信通过这两项临床研究,能够充分验证该系统的安全性和有效性,让国产创新性医疗器械更早、更多地惠及中国瓣膜病患者。

阅读数: 2533
相关专题