2022年5月6日,在上海疫情防控复杂严峻的形势下,上海交通大学医学院附属新华医院心胸外科梅举教授、汤敏教授、黄健兵教授及团队秉承不畏艰难、无私奉献的精神,急患者之所急,克服了种种困难,为一名患者实施了经导管肺动脉瓣膜植入术,成功植入一枚国产PT-Valve®介入肺动脉瓣膜,将术前重度肺动脉反流逆转为术后无反流,术后患者症状较前明显减轻,手术效果优异并保障了患者的远期预后。
梅举教授(左1)、黄健兵教授(左2)、汤敏(右1)成功植入肺动脉瓣膜
患者基本情况及术前超声评估
男性,45岁,法洛氏四联症术后35年,肺气肿病史,3年前行左肺肺结节切除术,患者6年前因体力下降,当地查出肺动脉瓣反流,未给予治疗。近2年来,活动耐量明显下降,步行数十米即感气喘,无法运动,体重增加后,活动耐量更差,入院前,患者自述“走几步路就觉气喘”。心超提示患者肺动脉瓣环内径约2.83cm,主肺动脉内经增宽,约4.61cm,频谱多普勒测及前向最大流速134cm/s,峰值压差7mmHg,舒张期探及大量反向血流信号(4+),瞬时量约17-21ml,三尖瓣轻度关闭不全,右房右室增大。
术前超声影像
手术策略
经梅举教授、汤敏教授、黄健兵教授讨论,考虑患者肺气肿及肺结节切除术史,再次开胸换瓣手术风险大,经术前检查及测量评估,决定为患者拟行介入肺动脉瓣膜植入术,通过外周血管途径介入植入瓣膜,降低手术风险。
术前基于增强CT对肺动脉、右室流出道结构进行三维重建和精准测量
手术过程及造影
术前造影显示肺动脉瓣大量舒张期逆向血流。
术前造影显示肺动脉瓣大量反流
患者全麻状态下,经右侧股静脉入路将加硬导丝置入右肺动脉,建立通路,沿导丝将介入肺动脉瓣PT-Valve®推送至肺动脉主干,通过造影准确定位后逐步释放瓣膜。再次行肺动脉造影显示瓣膜支架位置良好,瓣叶工作正常,未见明显肺动脉瓣反流和瓣周漏。
术后造影显示无肺动脉反流(左图,肺动脉远端造影;右图,肺动脉近端造影)
从输送系统进股静脉至撤出体内的核心操作时间不超过10分钟,在超声、麻醉、护理各方的密切配合下,成功为患者实施了介入肺动脉瓣膜植入术。手术过程几乎无出血,术中及术后均未出现相关并发症,手术取得圆满成功,术后第二天患者拔除气管插管回病房!
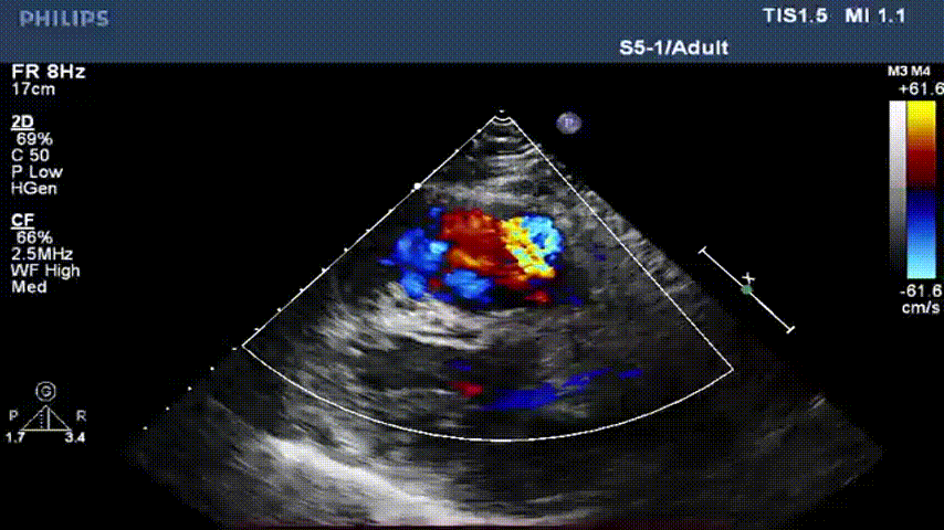
术后即可超声显示肺动脉瓣反流消失、瓣叶开闭正常
术后24小时超声显示瓣叶启闭功能正常
上海新华医院心胸外科简介
上海新华医院心胸外科-心脏大血管外科,国家临床重点专科。心胸外科现有床位105张,ICU床位23张,专用4间专用手术室与1间“杂交”手术室,拥有先进的心血管MRI、CT、DSA,三维心脏超声心动图设备,是国内集成人和小儿于一体的心胸血管疾病外科最权威的诊疗中心之一。在国际上创立了梅氏微创房颤手术,其手术例数、治疗效果居全球之首。在国际上创新微创二尖瓣手术同期消融房颤术术式,在国内创新微创不停跳下多支冠脉搭桥术;近年在介入瓣膜修复和置换治疗方面形成优势,治疗涵盖所有心脏瓣膜,是国内为数不多的外科介入瓣膜治疗中心。每年心脏大血管手术1200余例,普胸手术2000余例,手术成功率98%以上,治疗效果居国内外领先水平。
经导管肺动脉瓣膜PT-Valve®简介
PT-Valve®经导管肺动脉瓣膜为新一代国产自膨式瓣膜,由北京迈迪顶峰公司研发,主要适用于先天性心脏病矫治术后的肺动脉瓣反流或狭窄,具有适用范围广、创伤小、手术风险低、易操控等优点;能够有效改善此类患者心功能,显著提升患者的生活质量,较传统疗法具有明显的技术优势和更好的临床应用价值。
专家简介
梅举
上海交通大学医学院附属新华医院
博士,主任医师、教授、博士生导师,心胸外科行政主任,享受国务院特殊津贴,上海市优秀学科带头人,中国医师协会心血管外科分会“金刀奖”获得者。现任中华医学会心胸血管外科分会全国委员,国家心血管病专家委员会微创外科委员会副主委委员,中国医师协会心血管外科医师分会常委,中国医师协会心血管分会国际微创心胸外科协会会委员。澳大利亚悉尼大学附属心血管中心、美国马萨诸塞州立大学心脏大血管中心高级访问学者。《中国胸心血管外科临床杂志》、《中国心血管病研究》、《国际心血管病杂志》等杂志编委。
汤敏
上海交通大学医学院附属新华医院
医学博士,副主任医师,研究生导师。2007年毕业于上海交通大学医学院,获博士学位,2006年至荷兰Maastvicht大学医院胸心外科进修。从事胸心外科专业20年,是冠心病外科、心房纤颤的外科、心血管介入治疗及胸心外科重症监护治疗、心血管病杂交治疗专家。担任上海市医学会心脏大血管外科专业委员会委员,海峡两岸医药卫生交流协会老年医学专业委员会全国常委,担任《心房颤动的外科治疗》书籍的主审。入选上海交通大学医学院“百人计划”。荣获上海医学科技进步三等奖。已参与完成上海市科委重点科技攻关项目。
黄健兵
上海交通大学医学院附属新华医院
医学博士,副主任医师。2008年毕业于第二军医大学获外科学博士学位。2014年至美国宾夕法尼亚大学附属儿童医院、成人医院心胸外科进修。从事心血管外科工作近20年,熟悉各种先天性心脏病、心脏瓣膜病、冠心病、大血管疾病的诊断和治疗。擅长各心脏疾病的微创介入治疗。现每年参加手术病人300余例,治疗效果良好,具备丰富的临床经验。以主要参与者完成国家自然科学基金两项,以第一作者发表核心期刊及SCI论文10余篇。


