日前首都医科大学附属北京安贞医院心外科张海波教授团队在纪智礼书记和张宏家院长大力支持下,成功应用LuX-Valve Plus经血管介入三尖瓣置换系统,为一例重度三尖瓣反流患者完成颈静脉穿刺途径的微创瓣膜置换手术,并获圆满成功!这也是LuX-Valve Plus新型介入瓣膜在上海之外的医院首次临床应用,预示着中国完全自主研发的新一代经皮穿刺三尖瓣置换产品进入新的阶段。
患者基本情况:
接受本次治疗的为一名71岁男性患者,主诉“活动后胸闷、气短3年余”。18年前,患者于外院做过二尖瓣机械瓣置换+三尖瓣成形术,无冠脉介入治疗和冠脉搭桥史。
术前超声提示:
1.右心、左房明显增大;
2.二尖瓣人工机械瓣功能正常,无瓣周漏;
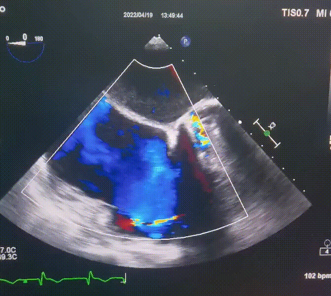
3.三尖瓣环巨大扩张,收缩期瓣叶对合不拢,收缩期三尖瓣房侧见大量反流信号,反流面积15-20cm²,TRVmax:240cm/s,跨瓣压差:23 mmHg。
结合术前CT评估结果,患者老年男性,体弱,下肢浮肿和间段腹水病史,王坚刚主任、王盛宇主任、郑帅医师、王胜询医师、孟斐医师、胡秋明医师等专家团队,联合超声专家何怡华、张涵,麻醉专家卢家凯、武威,体外循环专家黑飞龙、杨景,重症中心专家贾明、刘楠,影像科专家徐磊、王文川等多个专家会诊讨论后,认为再次开胸和体外循环下进行三尖瓣手术,对患者创伤较大,因此计划使用LuX-Valve Plus经血管三尖瓣置换系统对患者进行手术。术前利用3D打印模型多次进行体外模拟演练,为患者制定了最优的手术策略。
此次手术在全麻下进行,采用经右侧颈静脉入路。术中在经食道超声和DSA的指引下多个维度精细调整输送器角度,在达到正确位置后,逐步释放瓣膜锚定装置和盘片,最终完成瓣膜植入。术后患者右房压明显下降,术后超声提示人工三尖瓣同轴性良好,瓣架固定牢靠,无反流和瓣周漏,血压术后即刻上升20mmHg左右,手术后监护室顺利拔除气管插管,3天后恢复良好,予以出院。
图2.术后超声
三尖瓣反流(TR)是一种常见的心脏瓣膜疾病,在美国重度TR的患者人数超过150万。严重的三尖瓣反流患者临床预后差,也会极大的降低患者的生活质量。由于三尖瓣独特的解剖结构及病理生理学特点,使用微创介入三尖瓣置换装置的设计尤为困难。作为全球首款、具有中国完全自主知识产权的经导管介入三尖瓣置换系统,LuX-Valve利用前瓣夹持及室间隔锚定的复合方式进行瓣膜装置固定,不依赖瓣环径向支撑力。同时采用自适应复合裙边材料,结合双层瓣膜结构,可以有效贴合密封柔软的三尖瓣瓣环,对于三尖瓣反流患者有优异的疗效。早在疫情之前,2019年张海波教授曾经赴加拿大进行LuX-Valve介入三尖瓣手术带教和学术报告。此次治疗应用的“LuX-Valve Plus”系统是第二代产品,这款产品采用了经血管输送系统(经颈静脉入路),这种术式对患者的身体损伤更小,术后恢复更快,进一步降低了手术风险。特殊设计的输送器和支架支撑系统更加方便术者进行术中操作,更加方便进行介入瓣膜的多个维度的精细调控,大大提高了手术的简便性和准确度,进一步提高了手术安全性。此款产品的正式多中心临床研究即将开展,相信日后会为更多的三尖瓣反流患者带来福音。
专家简介
张海波
首都医科大学附属北京安贞医院
门诊时间:
每周一、四上午特需门诊
周三下午门诊八楼专家门诊
