2022年5月3日,梅州市人民医院钟志雄院长带领瓣膜病中心钟炜主任、李友钱等医生完成一例TaurusElite经导管主动脉瓣系统的植入,救治一位68岁主动脉瓣重度狭窄合并关闭不全、冠脉高堵塞风险的患者。术前团队充分讨论并精心准备手术方案,手术圆满成功,瓣膜植入后即刻血流动力学改善,为患者后续生命生存质量带来极大获益,保障了患者的远期预后。经导管主动脉瓣置换术是当前结构性心脏病领域介入治疗的热点,此次手术由沛嘉医疗的第二代可回收主动脉瓣系统TaurusElite保驾护航。
患者基本信息:
患者,女,68岁。因“反复气促2月余,加重2周”入病房。
一、病例特点:
1、老年,女性,68岁。病程长,急性起病。
2、病史:患者于2月前反复于活动后出现气促,伴阵发性咳嗽,爬2层楼梯时即出现,休息后可缓解,无胸闷痛,无心悸,无咳粉红色泡沫痰,无恶心呕吐,遂至当地医院就诊,予对症处理后症状可改善(具体不详)。2周前,患者再次出现上述症状,性质同前,遂至我院就诊,完善心脏彩超提示AS(重度)合并AI(重度),抽血BNP:1897.30pg/ml,现患者为求进一步诊治来我院,门诊考虑"心脏瓣膜病"收入我科。
3、体征:T:36.5℃,P:89次/分,R:20次/分,BP:101/64mmHg;神清,呼吸平顺,双肺呼吸音清,双肺闻及少量湿性啰音,心率89次/分,律齐,胸骨左缘第二肋间闻及收缩期喷射样杂音。腹平软,全腹无压痛及反跳痛,肝脾肋下未及。双下肢无浮肿。
4、辅助检查:心脏彩超提示AS(重度)合并AI(重度),抽血BNP:1897.30pg/ml。
二、初步诊断:
心脏瓣膜病:主动脉瓣重度狭窄合并重度关闭不全 心功能IV级;
主动脉根部测量
冠脉及钙化数据测量
外周血管入路尚可
手术难点及策略:
1.Type 2型二叶式主动脉瓣重度钙化,左窦和右窦、右窦和无窦瓣叶对合缘处存在钙化嵴,左室流出道呈敞口形态,瓣膜锚定难度适中,瓣膜植入受二叶瓣瓣叶及钙化挤压存在移位及少量偏多瓣周漏风险。
2.左冠脉开口高度偏低,左冠切线角度测量瓣叶大于LCA开口下缘到根部距离,结合瓦氏窦及STJ尺寸预估,冠脉风险增高。
3.非横位心、主动脉弓宽度角度可,弓部存在散在钙化斑。
4.外周走行适宜,腹主中下端和右侧髂总动脉存在散在钙化,左侧股动脉分叉较高,血管内径尚可,血管内壁存在钙化以及纤维增厚,避免入路血管损伤及触碰钙化斑相关并发症。
相应手术策略:
1.推荐右侧股动脉为主入路,左侧为辅助入路。
2.根据当前影像及测量数值,推荐·LAO·22·° ·CAU·0(右窦中心)左右跨瓣。
3.20mm球囊充分预扩,预扩时结合LAO·35·° CRA·12(左冠切线)进一步观察评估冠脉血流灌注情况。
4.预装AV23瓣膜,释放角度·RAO·3·° ·CAU·23(左右重合)左右,瓣环下零位开始释放,建议释放后调整至左冠切线位 ·LAO·35·° CRA·12· 左右进一步确定冠脉冠灌注及人工瓣膜展开形态,瓣膜释放过程操作难度适中,要求团队密切配合,充分利用瓣膜系统部分及完全回收功能。
5.瓣膜植入成功后,建议常规造影评估入路血管情况,避免遗漏血管并发症情况。
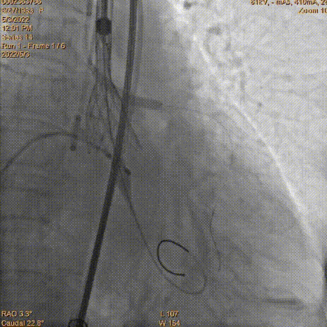
手术过程:
主入路穿刺
主动脉根部造影
导丝跨瓣
球囊预扩,左冠脉血流明显减慢,远端显影不清
院长团队手术中
瓣膜定位
工作位造影
工作位冠脉球扩
瓣膜释放2/3同时发现患者血压降低,立即释放冠脉支架
瓣膜脱钩
AV23瓣膜完全释放
术后无瓣周漏
平均压差降为9mmHg平均流速降为1.41m/s
讨论与小结:
本例手术为二叶式主动脉瓣重度狭窄合并关闭不全、冠脉高堵塞风险的患者。术前手术团队对患者进行了全面细致的评估,确定假体瓣膜锚定区域范围,制定释放术中零位释放策略。考虑患者冠脉风险极高,术中提前预埋冠脉支架进行保护。术中球囊扩张评估,左冠灌注受影响,证实冠脉阻挡高风险,增加手术难度,极为考验术者的手术水平。
术中TaurusElite瓣膜系统优异的输送性能,保障了术中轻松过弓、顺利跨瓣。钟志雄院长团队通力配合、精准释放,充分利用TaurusElite可回收功能,在瓣膜释放至2/3时,多角度评估瓣膜植入深度、锚定力以及冠脉灌注情况。此时患者血压偏低,根部造影评估后,考虑左主干开口受限冠脉灌注不全导致。随即释放预埋支架,行烟囱支架技术保护冠脉。完成冠脉保护后,确认瓣膜植入深度合适、锚定力稳定,故缓慢逐个脱钩,进行瓣膜释放。
瓣膜释放后行血流动力学评估,跨瓣压差从术前100mmHg降至9mmHg,无瓣周漏,左冠脉灌注良好,手术圆满完成。
本例冠脉高风险手术的完成是整个瓣膜中心团队,包括心内、超声影像、麻醉、护理等相关科室通力合作的成果。此次病例的成功,标志着我院使用TAVR针对主动脉瓣狭窄的治疗又上了一个新的台阶!
专家简介
钟志雄
梅州市人民医院
梅州市人民医院院长、心血管病中心主任、心血管病研究所所长、主任医师、博士生导师、硕士生导师、享受国务院特殊津贴专家、广东省医学领军人才、梅州市专业技术拔尖人才。梅州市心血管病介入诊断和治疗创始人,国家临床重点专科建设项目--梅州市人民医院心血管内科的奠基人、领路人,在医疗、教学、科研方面取得突出成就,获得全国先进工作者、全国卫生计生系统先进工作者、广东医师奖、广东医院优秀院长等荣誉。
技术专长:擅长冠心病、大血管、结构性心脏病、心脏起搏的介入诊疗以及心脏重症的抢救治疗。
钟炜
梅州市人民医院
副主任医师、科教科科长、技能培训中心主任、心脏瓣膜病中心主任、硕士研究生导师、国家冠心病介入培训导师。
技术专长:擅长冠心病、结构性心脏病(先心病和瓣膜病)的介入诊疗以及心脏重症的抢救治疗。

