2022年4月26日,China Valve (Hangzhou)2022直播手术演示中,中山大学孙逸仙纪念医院心内科聂如琼教授、林永青副教授、张海峰副教授共同完成显著左心室肥厚的二叶瓣、重度主窄、高难度TAVR手术一例,在术前准备、结构分析、术中操作过程中,无不体现术者对TAVR技术的精深理解。
患者基本情况:
患者系一名72岁女性,因“反复活动后胸痛半年余,加重1月”入院。
现病史:患者半年余前开始出现活动后胸痛,呈压榨性疼痛,以胸前区为主,范围约拳头大小,持续约5-10分钟,休息后可缓解,2-3天发作1次。近半年胸痛反复发作,性质大致同前,未予重视和诊治。1月前开始患者胸痛持续时间变长,每次持续10-30分钟,休息后可缓解,遂于4月上旬至外院住院治疗。
心电图:偶发室性早搏,左心室肥大,ST-T改变。
心脏彩超:平均跨瓣压差64mmHg,主动脉瓣钙化并狭窄(重度),EF 64%,拟诊断“1.心脏瓣膜病 主动脉瓣狭窄(重度)心功能II级 2.高血压病(3级很高危组)3.2型糖尿病”。
既往史:“高血压”病史10余年,“糖尿病”病史2年余 。
入院诊断:
1、心脏瓣膜病,主动脉瓣狭窄(重度);
2、冠状动脉粥样硬化性心脏病;
3、高血压病(3级、极高危组);
4、2型糖尿病。
CT报告评估:
Annulus:24.4mm,LVOT:22.6mm,Asc.Ao:43.4mm,STJ:30.7mm。
LCA:10.7mm,RCA:15.0mm。
瓣环结构及钙化情况:患者为TYPE 1型二叶瓣,瓣环及左室流出道呈上宽下窄型结构,钙化积分为529,主要集中于无冠窦,从基底部开始延申至左右融合处及无冠窦游离缘,整体窦部空间合适。
心室情况:升主动脉增宽,心脏角度59°,严重心肌增厚,心室腔小。
入路情况:主动脉弓部有斑块附着,髂总动脉少许斑块附着。
手术策略:
经聂如琼教授团队分析研判,考虑患者合并疾病复杂、虚弱等情况,拟行TAVR手术。预选20mm球囊预扩,观察球囊腰征及反流情况,以及左、右冠灌注情况。优选VenusA-Plus 26号瓣膜进行植入,观察释放完瓣膜后超声、造影评估效果。
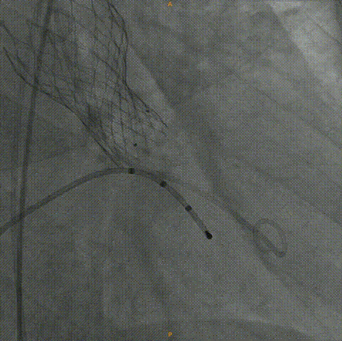
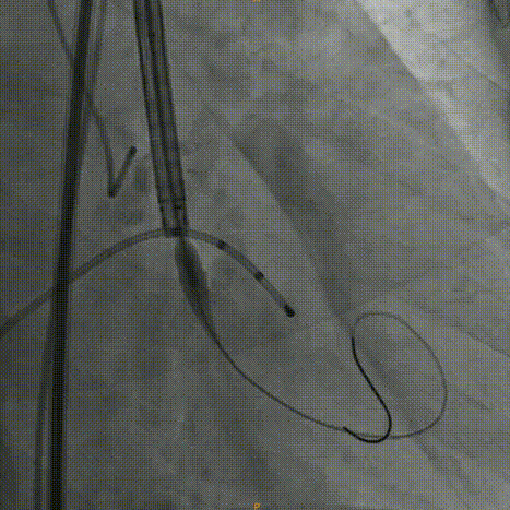
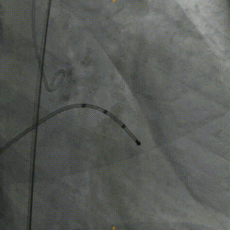
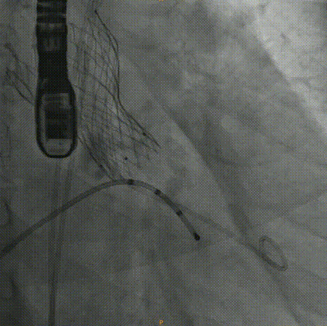
术中影像:
主动脉根部造影:左右冠灌注情况良好,瓣叶活动度一般,无明显反流。
20mm球囊预扩:冠脉灌注情况良好,瓣上结构改变,微量反流。
Venus26号瓣膜定位:结合瓣上结构考虑,采用0位释放。
Venus26号瓣膜释放:前三分之一慢放精准定位,中三分之一快放使瓣膜快速进入工作状态。
Venus26号瓣膜释放:位置良好,轻度反流,遂完全释放后采取后扩。
后扩后瓣膜最终形态。
术后超声:
影像所见:
床边心脏彩超:左房及左室增大,余房室腔内径正常范围。室间隔及左室壁增厚、运动稍增强。升主动脉扩张、管壁回声增强,其内探及管样强回声;肺动脉增宽。主动脉瓣位人工瓣瓣架固定,瓣架于主动脉瓣下长度约10mm;二尖瓣后瓣环可见强回声团;余瓣膜形态、结构未见明显异常。下腔静脉内径约15mm,吸气塌陷率大于50%。多普勒检查:主动脉瓣位人工瓣收缩期峰值流速稍加快,平均跨瓣压差15mmHg,瓣口微量反流束,未见明确瓣周漏;探及二尖瓣、三尖瓣、肺动脉瓣反流束二尖瓣环室间隔处TDI频谱显示:e'<a'。
影像诊断:
TAVR术后:人工瓣前向血流速度偏快,瓣口轻微反流;二尖瓣环钙化并瓣膜轻度反流;三尖瓣及肺动脉瓣轻度反流;左室收缩功能正常、舒张功能减退。
团队介绍
聂如琼
中山大学孙逸仙纪念医院
心内科副主任,医学博士,主任医师,博士生导师;国家卫生健康委员会冠心病介入培训基地培训导师;中国医师协会胸痛专业委员会委员;《中华高血压杂志》编委;中国大湾区心脏协会副会长;广东省医学会心血管病分会常委;广东省医师协会心血管医师分会常委;广东省医师协会器械与辅助循环分会常委;承担国家自然科学基金面上项目2项,广州市民生科技重点项目1项,承担省部级科研项目5项。作为主要完成人,获得教育部科技进步二等奖、广东省科技进步二等奖各1项。已发表SCI论文30余篇,中文核心期刊论文20余篇。
林永青
中山大学孙逸仙纪念医院
副主任医师,硕士生导师,心导管室副主任、胸痛中心副总监;中国大湾区心脏协会常务理事;中国胸痛中心暗访专家;广东省医学会心血管病学分会委员;广东省医师协会心内科医师分会委员;广东省医师协会心脏重症医师分会基层心脏重症专业组副组长;曾获得2004年“广东青年五四奖章”。擅长冠心病、心脏瓣膜病等的诊治,专长于冠心病、心脏瓣膜病和大动脉疾病的微创治疗等。曾赴美国哥伦比亚大学心脏中心进修腔内影像技术,利用血管内超声指导无造影剂冠脉介入治疗技术的开展。发表SCI文章28篇,主持省级科研基金2项,参与国家级科研基金2项。
郑韶欣
中山大学孙逸仙纪念医院
副主任医师,医学博⼠,讲师,硕⼠研究⽣导师。
⼴东省医学会超声医学分会⻘年委员;海峡医学会超声分会⻘年委员。
临床侧重于超声⼼动图在结构性⼼脏病介⼊治疗中的应⽤及⼼肌运动定量分析在⼼⾎管疾病中的应⽤;主要研究⽅向为⼼脏移植供体⼼脏病理⽣理状态的研究及⼲细胞移植对⼼律失常的治疗作⽤。发表论⽂近⼗篇,主持国家⾃然科学基⾦及⼴东省⾃然科学基 ⾦各1项。
张海峰
中山大学孙逸仙纪念医院
副教授/副主任医师,医学博士,硕士研究生导师;广东省医学会心血管病学分会委员兼秘书、介入心脏病学组副组长、青年委员会副主任委员;大湾区心脏协会结构性心脏病分会副主委;广东省医学教育协会心脏内科学专业委员会常委;广东省医学会心血管药理专业委员会常委;曾获北美中华心脏学会(CAAC)青年研究基础与转换医学青年研究者优胜奖(2017年)、长城青年医师奖二等奖(2018年)、第五届羊城青年好医生(2019年)。主持国家自然科学基金2项,省、市、中山大学及院内等各级基金项目十余项;近年发表以第一或通讯作者(含共同)身份发表SCI期刊论文近30篇,影响因子累计170左右,发表中文核心期刊论文5篇。



