2022年4月24日,绵阳市中心医院罗彩东教授团队成功完成首例TaurusElite经导管主动脉瓣系统。成功为两例严重主动脉狭窄疾病患者进行了经导管主动脉瓣置换。团队针对该病例的特殊性及患者自身的身体情况做了详细的分析,根据分析制定了一系列的治疗方针。患者植入人工瓣膜后瓣膜工作正常稳定,均未出现并发症,术后即刻患者血流动力学得到了显著改善,为患者带来更长久生存期受益和更高生活质量。
病例1
患者基本信息
患者为73岁男性,经术前超声心动图诊断,患者属高龄高危:主动脉瓣重度狭窄伴轻度反流,主动脉瓣前向血流速度4.3m/s,平均垮瓣压差44mmHg。
术前评估
1.主动脉瓣瓣环周长91.5mm,平均周长径29.1mm。
2.主动脉瓣成二叶式,瓣叶增厚无明显钙化,右无纤维融合。
3.左右冠脉开口高度可,瓣叶冗长明显。
4.左心室壁增厚,横位心,升主动脉瘤样扩张。
5.双侧股动脉入路血管管径良好。
病例特点
该病人为一例典型主动脉瓣重度狭窄患者,结合横位心及升主动脉瘤样扩张,手术难度大。
1. 瓣叶无明显钙化,左室流出道呈直筒形,瓣膜锚定难度增加,人工瓣膜释放过程有向下位移可能,释放后有瓣周漏可能,存在瓣中瓣风险。
2. 横位心,瓣膜释放后位置可能受到影响。
3. 升主动脉瘤样扩张提高夹层、血管破裂等并发症风险。
主动脉根部评估
瓣环上解剖结构评估
外周血管及主动脉弓解剖
主刀医生戴闽手术策略讨论
1. 考虑到患者瓣叶有增厚,无明显钙化,需要更强的径向力锚定,预装AV29瓣膜。
2. 考虑到患者升主动脉扩张,夹层、血管破裂等并发症风险提升,所以术中可能需要圈套器辅助过弓。
3. 根据术前CT评估,跨瓣角度为LAO 20° CRA 12°(右无重合位)左右,球囊预扩角度为LAO 20° CRA 12°(左冠切线位)左右,释放角度为释放角度 RAO 10° CAU 35° (左右重合位)左右。使用23mm球囊预扩,充分利用沛嘉TaurusElite产品可回收的功能,瓣环上2mm高度释放,为高概率发生的瓣膜下滑留下缓冲位置。
4. 患者双侧入路血管条件佳,常规选择右侧股动脉为主入路,左侧为辅入路。
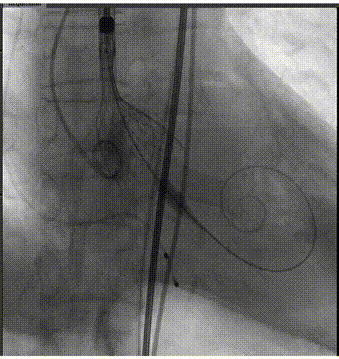
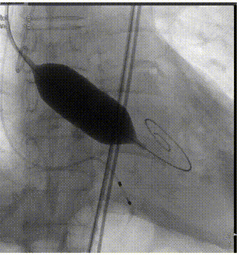
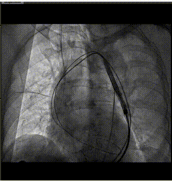
手术过程概览
主动脉根部造影
导丝跨瓣
球囊预扩
输送器过弓
输送器定位
瓣膜定位
瓣膜脱钩
瓣膜位置非常理想,并稳定锚定。
术后即刻超声评估
术后超声心动图提示:主动脉瓣人工瓣膜术后压差从44mmHg降至6mmHg,前向血流速度从4.3m/s降至1.8m/s微量反流,左室壁搏幅正常范围,心包未见积液,手术效果良好。
病例2
患者基本信息
患者为80岁男性,经术前超声心动图诊断,患者属高龄高危:主动脉瓣重度狭窄伴轻中度反流,主动脉瓣前向血流速度4.8m/s,平均垮瓣压差61mmHg。阵发性房颤,冠状动脉粥样硬化支架置入术后。
术前评估
1.主动脉瓣瓣环周长90.6mm,平均周长径28.8mm。
2.主动脉瓣成三叶式,瓣叶明显增厚伴重度钙化,钙化均匀分布与三窦瓣叶上。
3.左右冠脉开口高度可。
4. 左室腔内径较大,心室壁厚度可,横位心,升主动脉扩张。
5.双侧股动脉入路血管管径良好。
病例特点
该病人为一例典型主动脉瓣重度狭窄患者,结合横位心、冠状动脉粥样硬化支架置入术后及阵发性房颤,手术难度大。
1. 瓣叶明显增厚伴重度钙化,钙化均匀分布与三窦瓣叶上,流入端呈轻度开口形态 ,瓣膜锚定力难度适中,人工瓣膜释放过程有向下位移可能,假体瓣膜释放后有少量或少量偏多瓣周漏可能。
2. 横位心,瓣膜释放后位置可能受到影响。
3. 升主动脉扩张提高夹层、血管破裂等并发症风险。
主动脉根部评估
瓣环上解剖结构评估
外周血管及主动脉弓解剖
主刀医生戴闽手术策略讨论
1. 考虑到患者瓣叶有增厚伴重度钙化,结合瓣环大小,downsize选择预装AV29瓣膜。
2. 考虑到患者升主动脉扩张,夹层、血管破裂等并发症风险提升,所以术中可能需要圈套器辅助过弓。
3. 根据术前CT评估,跨瓣角度为RAO 10° CAU 14°(右窦中心)左右,球囊预扩角度为为 RAO 6° CAU 6°(左冠切线位)左右,释放角度为释放角度 角度 RAO 25° CAU 35°(左右重合位)左右。使用23mm球囊预扩,充分利用沛嘉TaurusElite产品可回收的功能,瓣环上0mm高度释放,为高概率发生的瓣膜下滑留下缓冲位置。
4. 患者双侧入路血管条件佳,常规选择右侧股动脉为主入路,左侧为辅入路。
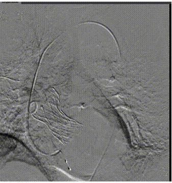
手术过程概览
主动脉根部造影
导丝跨瓣
球囊预扩
输送器过弓
输送器定位
瓣膜定位
瓣膜脱钩
全息剪影
术后即刻超声评估
术后超声心动图提示:主动脉瓣人工瓣膜术后压差从61mmHg降至5mmHg,前向血流速度从4.8m/s降至1.6m/s,微量反流,左室壁搏幅正常范围,手术效果良好。
专家点评:
本周我们先后完成了两台复杂高危重度主动脉瓣狭窄病人的治疗,两位患者一例基本无钙化,一例又钙化很重。由于庞大的人口基数等多种因素,中国主动脉瓣疾病患者的特点存在相当的差异,所以我们更应该遵循事实,深化疾病的判断与认知,针对每一位患者进行个体化的评估与分析。
回到这两例病人,第一例病人心脏横位角度大,瓣环附近几乎没有钙化,这给瓣环锚定的难度增加了许多。我们充分做好术前风险评估和手术策略制定,确保手术万无一失。事实也证明病人的形态特点影响到了瓣膜的锚定,我们充分利用了目前第二代可回收经导管主动脉瓣系统的优势,在瓣环上负位释放,解决了瓣膜下移的问题,完成精准定位,既保证手术安全性,又大大提高了手术质量,改善患者预后。另一例病人80岁高龄主动脉瓣钙化极其严重,坚硬的钙化影响人工瓣膜植入的形态和开口面积,我们使用球囊预扩,在保证安全的基础上打开了钙化。帮助人工瓣膜较好形态得展开,从而有效改善患者的血流动力学。最终两位患者成功顺利完成手术。
对于这两例重度主动脉瓣狭窄患者,TAVR手术虽不完全相同,但都取得了相当不错的成果。这是我们团队在术前进行了详尽的讨论,充分准备的结果。我们的团队成立之初,秉承“崇尚生命与科学”的价值观,和“仁爱、诚信、敬业、创新”的医院精神,稳步推广与发展技术。我们有信心在医院综合学科支持下,团队精诚合作,不断突破,为更多的瓣膜病患者带来福祉。
专家简介
罗彩东
绵阳市中心医院
绵阳市中心医院心内科主任,绵阳市心脏起搏与电生理主任委员,绵阳市胸痛全市模式质量控制组组长,四川省心血管专委会委员,四川医师协会心血管分会常委,中国医师协会心血管分会基层学组委员,中国心血管健康联盟胸痛专家委员,中国胸痛中心认证专家。
戴闽
绵阳市中心医院
博士,主任医师,重庆医科大学硕士研究生导师,绵阳市中心医院内科部主任,四川省卫健委学科带头人后备人选,中国白求恩研究会心血管分会理事,四川省医学会电生理与起搏专委会委员,绵阳市医学会电生理与起搏专委会常务委员,绵阳市医学会双心医学专委会常务委员,中国南方国际心血管病会议主席团成员,亚太冠脉CTO委员会广州CTO峰会主席团成员,德国Dusseldorf Central Hospital访问学者,以色列Soroka University Medical Center访问学者,《中国介入心脏病学杂志》青年编委,发表SCI论文十余篇。专业方向:冠状动脉粥样硬化心脏病和心脏瓣膜病的介入治疗。

