2022年4月25日,China Valve (Hangzhou)2022会上,广东省人民医院多学科瓣膜介入团队罗建方教授、范瑞新教授、李捷教授等成功应用Evolut PRO挑战一例严重钙化病变,作为最新一代在国内上市使用的自膨瓣产品,其独特的设计理念要求国内术者需要更新既往经验,在病例选择、策略制定以及操作技巧等方面做出更多思考与改变
患者基本信息:
患者为81岁女性,因“反复气促10余年,加重1月”入院。
心脏彩超:三叶主动脉瓣,重度主动脉瓣狭窄合并重度关闭不全,重度二尖瓣反流(反流面积13.5cm²),中度三尖瓣反流。
超声心动图:峰值压差106mmHg,平均压差66mmHg;EF 56%;LVED 60mm,左室扩大。
STS评分:12.59.
辅助检查:proBNP 2285pg/ml,eGFR 77.1。
CT评估:
瓣环周长83.5mm,平均直径26.6mm,左室流出道周长85.5mm,平均直径27.2mm,升主动脉直径37.3mm,STJ直径33.3mm,左冠高度12.7mm,右冠高度14.7mm。
瓣环结构:瓣环底部有钙化,延伸至流出道,为功能性二叶瓣;右无及左无交界有明显钙化融合,右无更严重,角度48°,钙化积分815.9mm。
瓣环结构:瓣环底部有钙化,延伸至流出道,为功能性二叶瓣;右无及左无交界有明显钙化融合,右无更严重,角度48°,钙化积分815.9mm。
外周血管入路:腹主动脉有瘤样扩张,右侧有迂曲,左侧迂曲折角。
手术策略:
综合各项评估,手术团队采取右侧为主入路,鉴于患者融合严重,决定使用22mm球囊预扩后downsize植入Evolut PRO 29mm瓣膜,高位释放,备20F血管鞘。
手术关键步骤及影像:
导丝过瓣,术前测得压差120mmHg,压差不稳定。
1、主动脉根部造影:重度狭窄,重度返流
主动脉根部造影
2、术前递送系统装载检查:
体外检查装载系统
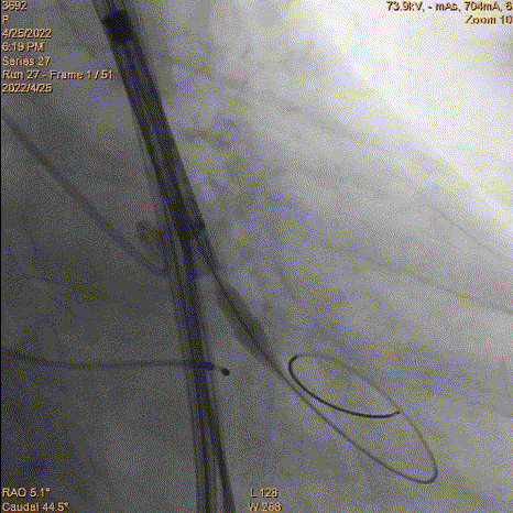
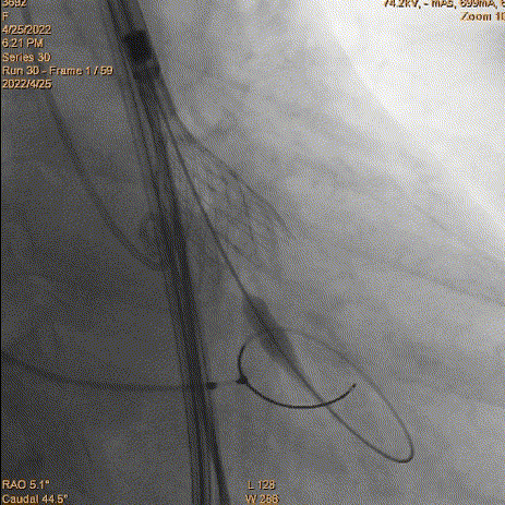
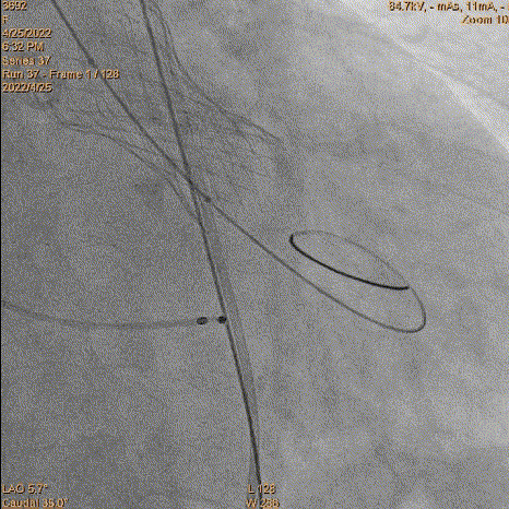
3、球囊预扩:由于钙化严重球囊无法通过,遂使用圈套器抓捕球囊。
套圈器抓球囊过瓣
20mm球囊预扩
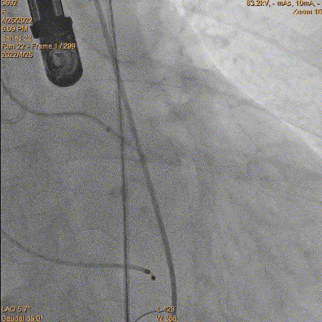
导丝位置改变
对侧上圈套器准备
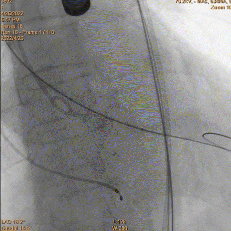
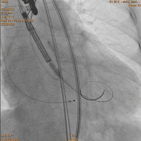
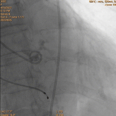
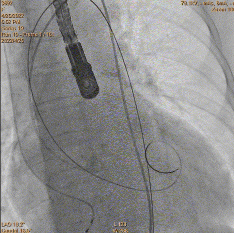
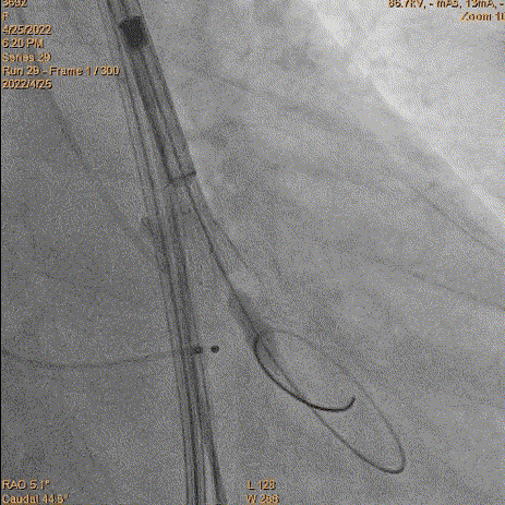
4、跨瓣:瓣膜跨瓣出现困难,计划使用圈套器。由于没有22F大鞘,内连鞘无法拆卸,选择左侧穿刺导入导管。右侧双导丝,送入Lunderquist,心室较大。扩张后,血压较稳定。经尝试无法退球囊,撤出系统。通过对侧使用抓捕器,将导丝全撤,导入AL1.0导管重新跨瓣。鉴于左侧入路有角度,使用泥鳅导丝带上导管,做圈套器。顺利抓住J型导丝,抓捕器顺利抓捕瓣膜过瓣。
重新过瓣
瓣膜过瓣
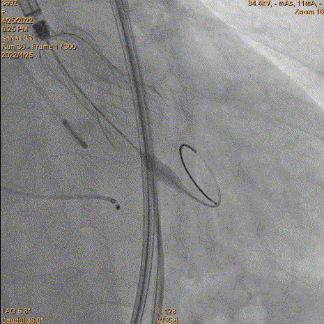
5、瓣膜定位和释放:参考猪尾中段1/3作为起始点。由于猪尾未到达窦底,参考1/2,参考Cusp overlap角度。造影确认位置,开始释放,1/4圈满满释放前1/3,起搏140bpm,压力逐步下降。
瓣膜定位评估
瓣膜释放
瓣膜释放
评估深度
评估深度-过深
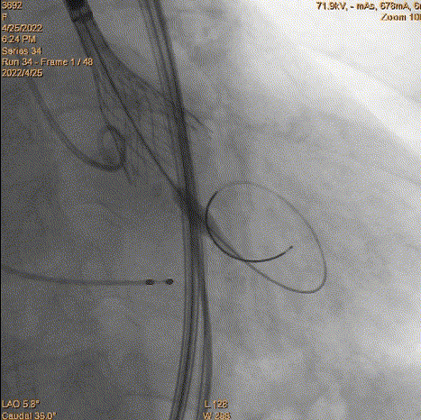
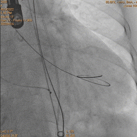
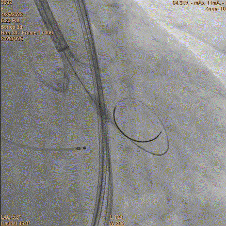
6、瓣膜回收和再释放:到达2/3后小弯侧较深,经多角度评估评估较深,起搏回收再次释放。
瓣膜再次释放
7、释放完成:第二次释放评估深度合适,缓慢释放脱钩,同轴性良好。撤递送系统,撤抓捕器。
二次评估深度
缓慢脱钩
术后结果:
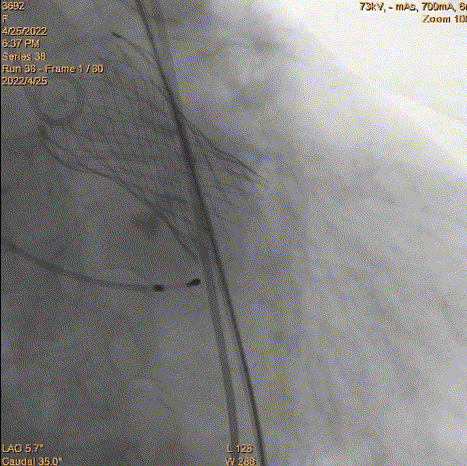
超声显示支架内径21.5mm,有创压差12mmHg,使用23mm球囊后扩,术后血压115/74mmHg,右无融合处有微量瓣周漏。鉴于血流动力学、舒张压显示良好。没有瓣中瓣的必要。后续保持观察。综合评估,手术达到预期效果,复查通路没问题,结束手术。
23mm球囊后扩
最后造影
复查入路
术者点评:
对于术者而言,面对每一项新产品大家都要充分体会设计理念以及特点。就像一名优秀的赛车手,只有经过反复实操,磨合手感才能做到‘人车合一’。我们术者也是如此,如何精准操作,将产品优势最大程度发挥,都需要在术前做大量的演练。同时,也要积极虚心地吸取同行经验,通过交流也能促使我们更快进步。”
广东省人民医院多学科瓣膜介入团队
2001年,广东省人民医院心内科罗建方教授联合心外科范瑞新教授组成血管诊疗团队,2016年,在罗建方教授和范瑞新教授带领下,联合心脏彩超,体外循环,CCU,麻醉科,放射科,心脏康复,组成了广东省人民医院多学科瓣膜介入团队;2016年至今完成超过700例TAVR手术,在华南地区及全国均名列前茅;团队致力于TAVR技术的推广及规范化培训,建立岭南瓣膜数据库,是国内首个区域性的瓣膜介入治疗数据库,带教全国超过80家中心开展TAVR手术,参与制定《中国经导管主动脉瓣置换术专家共识》。未来,团队将继续凝心聚力,开拓进取,为学科发展贡献力量。
专家简介
罗建方
广东省人民医院
医学博士、主任医师、博士生导师。现任广东省人民医院南海医院院长、广东省冠心病防治研究重点实验室副主任。担任美国心脏病学院Fellow (FACC)、欧洲心脏病协会Fellow (FESC)、美国心血管造影与介入学会Fellow (FSCAI)、首批Global Hybrid Algorithm Community国际认证Hybrid CTO带教专家、卫生部心血管疾病介入诊疗培训基地(冠心病介入治疗)导师。
中华医学会心血管病学分会大血管学组副组长、中国医师协会心血管内科医师分会结构性心脏病学组副组长、中国研究型医院学会心血管影像专业委员会副主任委员、中国研究型医院学会血管医学专业委员会副主任委员、中国医疗保健国际交流促进会血管疾病分会副主任委员、中国医疗保健国际交流促进会难治性高血压与周围动脉病分会副主任委员、中国医药教育协会血管医学分会副主任委员、广东省介入性心脏病学会周围血管介入分会主任委员、广东省医师协会心血管介入医师分会副主任委员、广东省医师协会心血管内科医师分会常务委员、广东省医学会心血管病分会结构性心脏病学组副组长等。
血管疾病多学科协作论坛(VMDT)执行主席、冠心病与周围血管介入沙龙(CPIS)执行主席、亚太CTO俱乐部广州峰会共同执行主席、亚洲心脏病学会年会秘书长等。
技术特长:擅长复杂冠脉病变、主动脉疾病、瓣膜疾病、周围血管病等的介入治疗。在国内率先开展脑保护装置下颈动脉介入治疗、经桡动脉行肾动脉介入治疗、快速起搏与经皮穿刺主动脉腔内修复术(TEVAR),2016年4月完成华南地区首例经导管主动脉瓣置换术(TAVR),2019年2月成功实施全球首例经股动脉途径TAVR联合TEVAR一站式手术,多次应邀到国外行复杂冠脉及主动脉腔内修复术带教交流。
科研成果:获中国医药教育协会科学技术奖二等奖1项、广东省科学技术奖二等奖2项、三等奖2项。参编学术专著6部,发明专利4项,发表学术论文100余篇。先后承担省市级课题数项,培养硕博士20余人。
