王建安教授团队成功完成MuguetA™经导管主动脉瓣膜全国首例植入——精彩亮相China Valve(Hangzhou)2022

4月25日,China Valve (Hangzhou)2022举办期间,浙江大学医学院附属第二医院王建安教授与团队成员刘先宝教授等成功为一名重度主动脉瓣狭窄患者成功植入MuguetA™经导管主动脉瓣膜,得到与会专家的一致好评。该瓣膜为王建安教授团队携手杭州心畅医疗联合研发。

图片

患者信息

患者为79岁女性,既往有冠心病病史。

因“胸痛、呼吸困难3月余,加重1周”入院。
心超提示主动脉瓣重度狭窄伴轻中度关闭不全,二尖瓣轻度反流,左室壁肥厚,左心功能不全。


术前CT评估

图片

图片


全主动脉入路CT评估

图片


手术策略及过程

采用镇静加局麻的方式,经由右侧股动脉置入20F大鞘,20mm球囊扩张前测跨瓣压差80mmHg,选用MuguetA™ 23mm瓣膜,标准体积+1cc充盈,180bpm快速起搏下精准释放,手术位置理想(90/10%),主动脉根部造影提示微量瓣周漏,压差完全消失,冠脉开口通畅,心电图提示传导系统无影响,复查造影右股动脉未见明显狭窄,无造影剂外渗无夹层,手术效果良好。


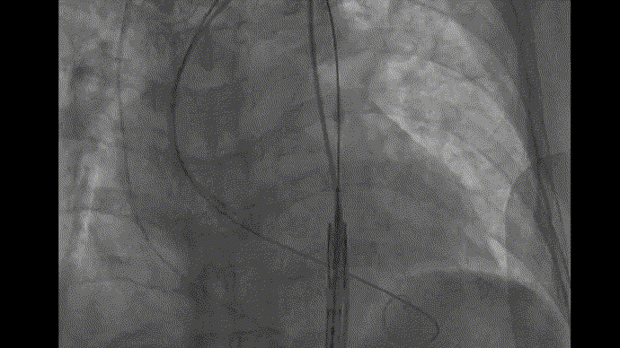
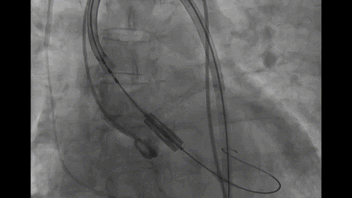
术中关键影像

图片

推送

图片

过弓

图片

释放

图片

造影


专家点评

图片

王建安教授

这款瓣膜为球囊扩张式瓣膜,其输送系统在推送瓣膜及调弯过弓性能方面,均表现流畅,输送系统进入到取出仅耗时11分钟。器械的显影环清晰,操作简单,定位精准,本例手术释放后瓣膜环上及环下高度比约为9:1。


图片

刘先宝教授

对于本例手术而言,瓣膜尺寸及充盈体积的选择非常合适,瓣膜在释放后显示位置良好,术后测得压差完全消失,患者恢复良好,当天下地活动,术后1天顺利出院。


杭州心畅医疗器械有限公司成立于2020年,专注于提供结构性心脏病领域的介入手术解决方案,致力于让每一位心脏病患者都拥有良好的生活品质。心畅医疗总部坐落于杭州,在北美分设两个研发中心,创始团队拥有世界级结构心领域产品开发能力。50%的工程师拥有5年以上海外跨国公司的一线瓣膜领域产品开发经验。公司拥有领先的技术团队、完备的配套实验室设施以及符合GMP要求的生产车间。心畅深耕研发、质检和生产的一体化流程管理,努力为患者提供经济且优质的解决方案。


阅读数: 4276
相关专题