2022年4月29日,新疆维吾尔自治区人民医院杨毅宁教授团队成功为一位高危心衰患者植入心脏收缩力调节器(CCM)和全皮下植入式除颤器(S-ICD),这是国内首例CCM联合S-ICD一站式植入。
患者是51岁男性,9年前因反复胸闷,胸痛于外院行PTCA+支架术,此后反复因心前区疼痛行PTCA+支架治疗。今年1月于外院行前降支架植入术,本次因“反复胸闷、胸痛9年,加重伴不能平卧1周收住入院”。患者有短阵室速、频发室早、EF值30%,符合心脏性猝死一级预防指征。QRS宽度100ms,无CRT治疗适应症。心衰反复发作,药物改善不佳,具有CCM植入适应证。为进一步改善患者的临床症状和预后,经心内科团队充分评估讨论并与患者家属沟通后建议CCM联合S-ICD一站式植入治疗。在S-ICD进行猝死预防保障的基础上,通过CCM在心跳的绝对不应期施加电刺激,在不增加心脏负担的情况下,增强心肌收缩力,改善心衰症状,提升生活质量。
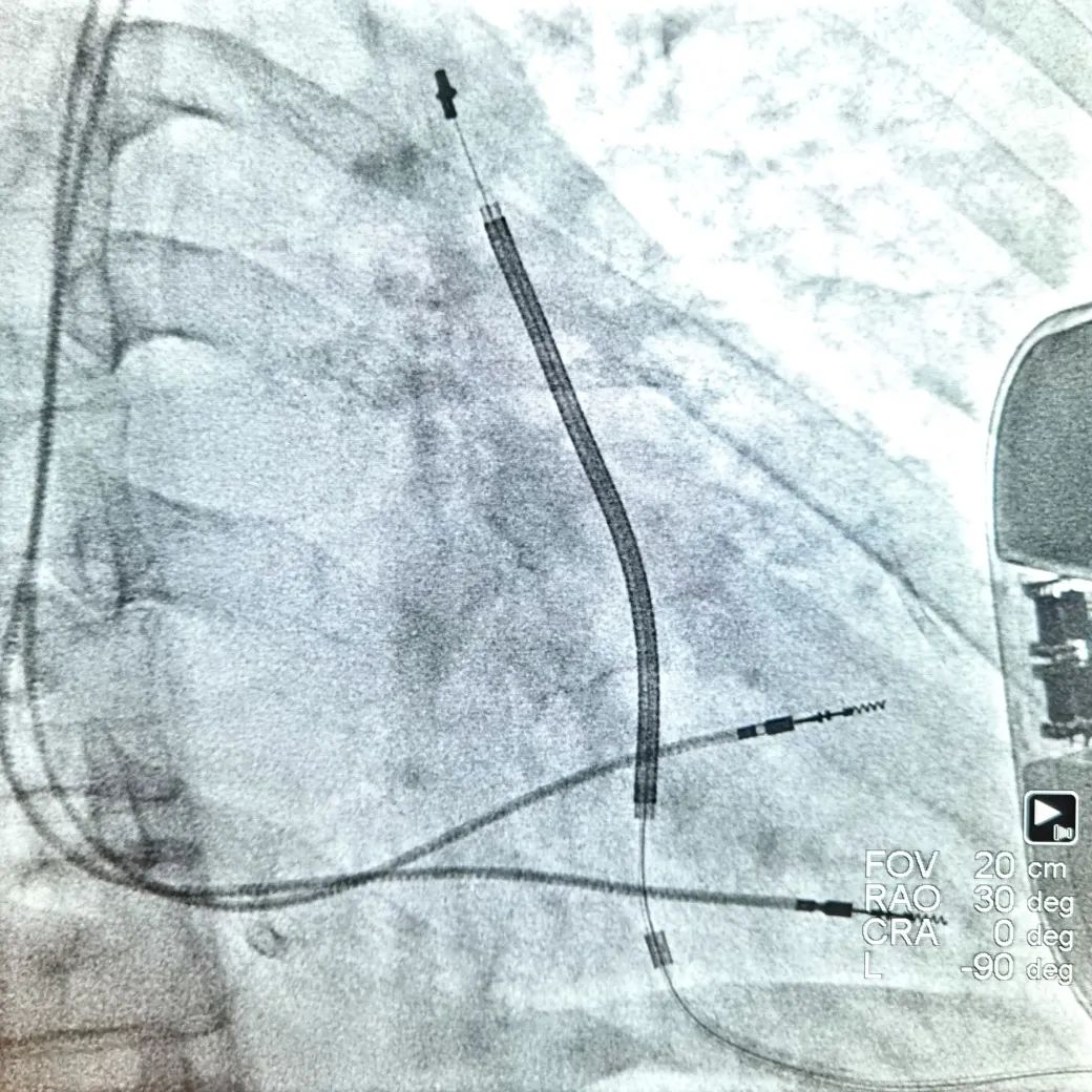
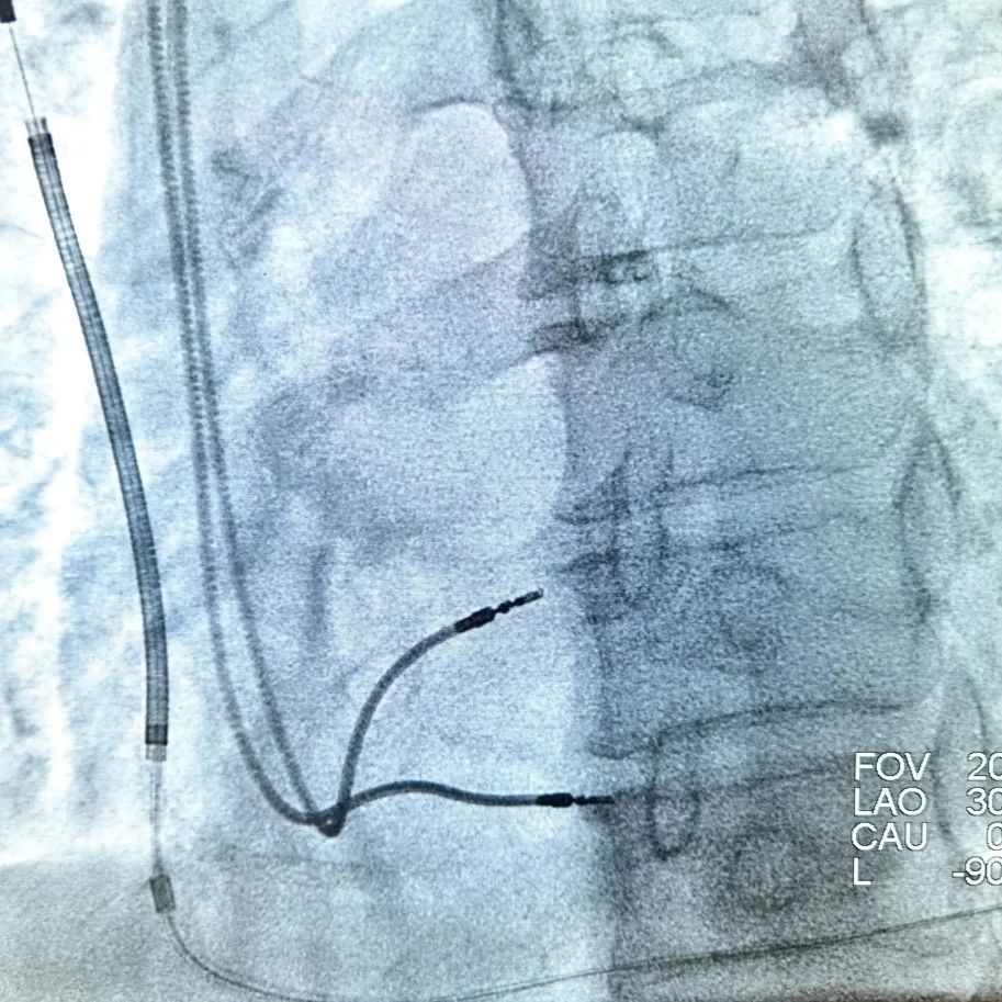
该手术需要注意S-ICD的“全皮下”特性和CCM的两根导线摆放位置,传统ICD感知的是腔内局部的电活动,而S-ICD所感知的是类似于体表心电图。而CCM是在感知到QRS波的绝对不应期发挥作用,二者工作模式有交互,尤其是S-ICD会感知CCM工作状态下对QRS波的改变,而增加“噪音N”的比例记录。姚娟教授凭借丰富的植入经验,术中首先植入S-ICD,植入后抓取模板,优化向量,随后暂时关闭S-ICD抗心动过速功能。再植入CCM,两根心室导线于右室间隔中低位,两根导线间距大于2cm,两根导线感知阈值均大于10mv,起搏阈值均为0.6v,阻抗分别为560Ω和700Ω,表明导线植入在健康的心肌上。测试完连接CCM植入,调整参数在保证正常发送比率的同时减轻对S-ICD的干扰识别,开启S-ICD功能,经过双机器同步程控测试,消除了S-ICD对CCM的工作状态识别为“噪音N”的干扰,二者均正常发挥功能。CCM联合S-ICD一站式植入顺利完成,手术全程用时2小时。
心脏收缩力调节器(CCM)是一种新型的植入式电子装置,通过在心肌绝对不应期内发放电刺激,增加钙离子调节相关蛋白的表达,增强心肌收缩力,改善心衰患者的心功能。相比于传统药物治疗,CCM不增加心肌耗氧,不会导致心律失常,可与其他心脏植入器械比如起搏器、CRT/CRT-D、ICD等共存而无相互影响。S-ICD与传统ICD相比整个系统只植入于皮下,电极不接触心脏,能够避免可能的血管损伤、减少潜在的系统感染风险,降低导线相关并发症,保留静脉通路。
中心简介
新疆维吾尔自治区人民医院始建于1934年,是一所集医疗、教学、科研、预防、保健和社区卫生服务为一体的大型综合性“三级甲等医院”。曾先后荣获“全国文明单位”、“全国百佳医院”、“全国五·一劳动奖状”、“全国卫生系统先进集体”、“全国万名医师支援农村卫生工程先进集体”、“全国十大百姓放心医院”、“全国卫生系统思想政治工作先进集体”、“自治区民族团结进步模范单位”等荣誉称号,是中国医院竞争力·顶级医院100强。
专家简介
杨毅宁
新疆维吾尔自治区人民医院
医学博士,博士生导师,教授、主任医师。
现任新疆维吾尔自治区人民医院党委副书记、院长。2004年和2007年分别于新加坡国立大学医院导管室和德国Mainz Johannes Gutenberg大学临床医院心内科研修冠状动脉介入治疗。目前研究方向为冠心病、先天性心脏病及瓣膜病的介入治疗及相关基础研究。国务院特殊津贴专家,新疆自然科学专家。2017年入选“国家百千万人才工程”并被授予“有突出贡献中青年专家”荣誉称号,第十二届“中国医师奖”获得者,先后入选教育部新世纪优秀人才计划,自治区“天山雪松计划”科技创新领军人才后备,“天山英才”培养计划第一层次。
主持国家重点研发计划1项,国家自然科学基金6项,教育部新世纪优秀人才计划项目1项,自治区级科研项目14项,参与国家自然科学基金、国家“十一五”计划子课题及横向课题、自治区重大专项等20余项研究。以第一作者或通讯作者身份发表学术论文250余篇,其中SCI收录论文60篇,CSCD收录论文174篇。主参编专著16部,荣获自治区科技进步奖10项,其中一等奖4项、二等奖6项,荣获中华医学科技奖2项,2020年被评为自治区“最美科技工作者”。在临床工作中不断开拓创新,年均完成经皮冠状动脉介入治疗(PCI)2000余例,先心病介入封堵术350余例,积极开展和推广IVUS、OCT、远隔缺血适应治疗等新技术的临床应用。在疑难危重症治疗上,使用TAVR、ECMO等新技术,成功救治多名危重冠脉、先心病、瓣膜病患者。
李国庆
新疆维吾尔自治区人民医院
新疆维吾尔自治区人民医院心内科主任,主任医师,教授,石河子大学与新疆医科大学硕/博士研究生导师
现任中华医学会心血管病学分会委员会委员,中华医学会心血管病分会第十一届委员会心血管急重症学组副组长,海峡两岸医药卫生交流协会委员会常务委员,中国医师协会心血管内科医师分会委员会委员,哈斯克斯坦国家科学中心心血管病特聘专家,中国医师协会委员会委员,新疆胸痛联盟副主任委员,新疆绿色电生理联盟委员会名誉主任委员。
在心血管核心期刊上发表论文30余篇,荣获自治区科技进步奖7项,承担自治区自然科学基金项目2项,院内自然科学基金项目1项,获发明专利2项,荣获“全国省级综合性医院优秀医生”称号。
姚娟
新疆维吾尔自治区人民医院
新疆自治区人民医院心内科副主任,房颤中心主任,医学博士,主任医师,教授,硕士研究生导师;
全国心律失常介入诊疗培训基地导师;中国医师协会心律失常治疗规范和新技术培训项目导师;中华医学会心血管分会心律失常学组委员;中国医师协会心律学会中青年专家委员会委员;中华医学会心电生理和起搏分会女医师联盟委员;中国老年保健医学研究会心脏学会西部左心耳封堵联盟委员;新疆医学会心电生理和起搏学会委员;新疆绿色电生理联盟主席;新疆房颤中心联盟常委;新疆卒中学会理事;新疆医学会医疗事故技术鉴定专家库专家;
长期从事心血管病临床医疗、科研工作,擅长各类起搏器安置、快速心律失常射频消融、先天性心脏病介入封堵等心血管病介入性诊断治疗作为主持人承担国家自然科学基金项目1项、自治区自然科学基金项目3项,并参于多项自治区、院级科研课题的研究工作。多次荣获自治区级院级科技进步奖先后在国内外学术核心期刊上发表论文30余篇。


