2022年4月19日,广东省人民医院张斌教授进行了华南区首例Judo导丝的临床应用。此次为两例CTO患者,J-CTO 评分均≥3分,合并钙化、迂曲成角、甚至双支CTO,手术难度极高。张斌教授通过积极的手术策略和导丝升级技术,均成功正向开通血管,一气呵成、连过两关。
CASE1 病历资料
男,53岁
现病史:患者于1年前起,运动后出现心前区闷痛,范围约拳头大小,呈压榨样,无向他处放射,休息5分钟后可缓解。否认有既往病史。
术前诊断:冠状动脉粥样硬化性心脏病;脑梗死;脂肪肝;胆囊结石;胆囊息肉;糖耐量受损;高尿酸血症。
Hs-cTnl 9.1,NT-proBNP<10pg/mL;肌酐79.9umol/L。
外院辅助检查:心电图提示ST-T改变,异常Q波,窦性心动过缓。
心脏彩超左房轻度扩大,室间隔轻度增厚,升主动脉轻度增宽并主动脉瓣轻度反流。
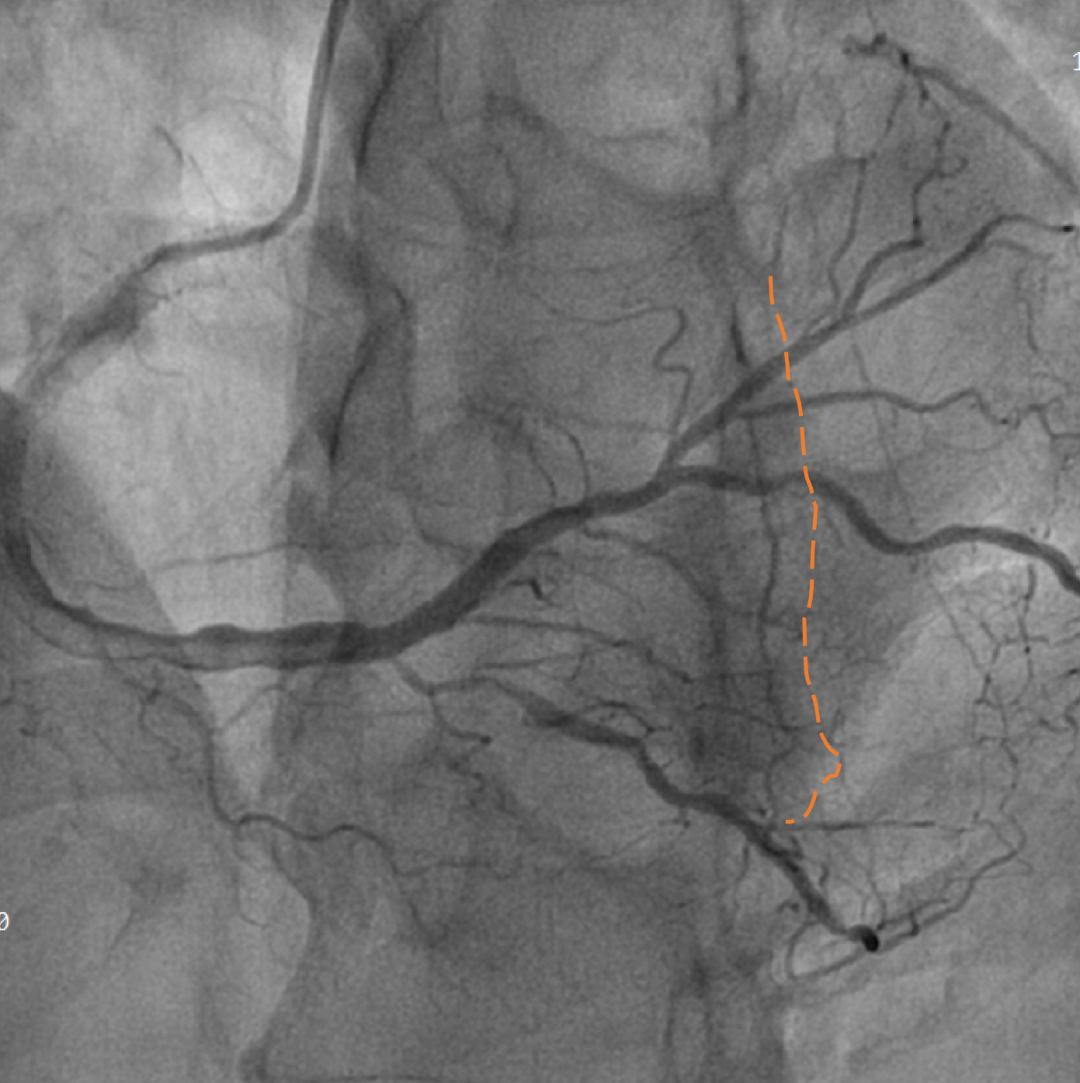
手术影像
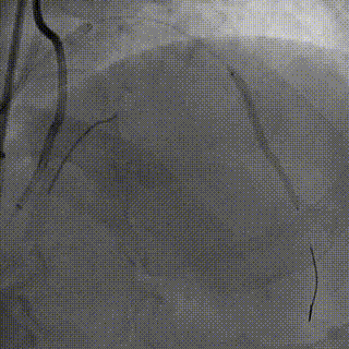
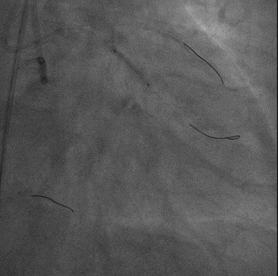
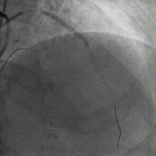
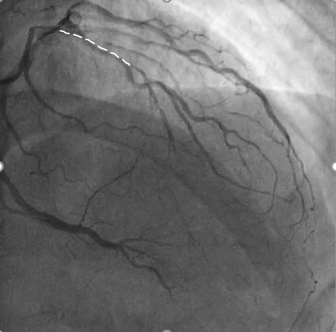
左冠优势,LM、LCX未见狭窄,TIMI3级;LAD近段CTO,TIMI0级
RCA细小,近中段狭窄40%-50%,TIMI3级;远端可见LAD侧枝血流
策略讨论:近端纤维帽不清晰,LAD中段显影可见,闭塞段长度>20mm。间隔支逆供条件尚可。CTA提示LAD多发钙化。尝试正向开通,优选亲水性滑导丝,若失败,及时调整逆向策略。
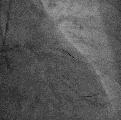
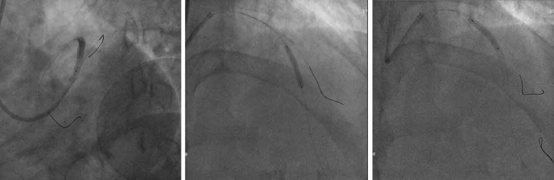
PCI过程
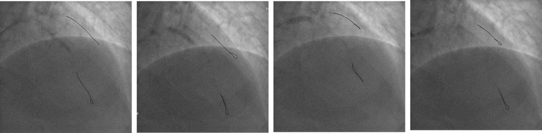
7F XB3.5,Cosair,Runthrough中间支保护,Pilot200正向进入D1,Pilot200 无法通过病变,交换Judo导丝
更换Judo3顺利到达LAD远端,Cosair跟进交换Runthrough
Ballon 2.0*15mm Dilatation & IVUS check
LAD-LM DES 2.75*20mm,2.75*18mm,3.0*30mm
Ballon 2.0*15mm Dilatation for D1 Ostial
NC Ballon & IVUS check
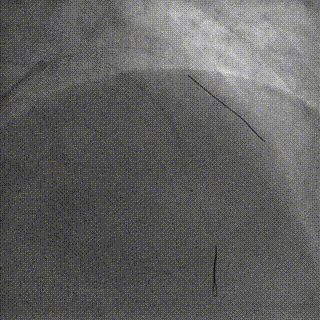
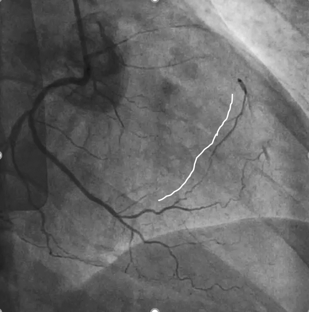
Final result:TIMI3
CASE2 病历资料
男,58岁
主诉:反复活动后胸闷2年余,植入支架4月余。
现病史:患者于2年前起,无诱因出现体力劳动后快步行走后气喘胸闷,无明显胸痛,休息约5分钟后可自行缓解。2年来偶有发作,半年前来觉症状发作增多。三个月前行前降支PCI,使用Pilot200正向PCI失败。
既往史:高血压病史8年。
术前诊断:冠状动脉粥样硬化性心脏病;高血压病1级(极高危);高尿酸血症。
TNT8.3,BNP185.5;肌酐116.64umol/L;LVEF66%。
心电图正常,心彩超提示轻度二尖瓣返流,轻度主动脉瓣返流,轻度三尖瓣返流。
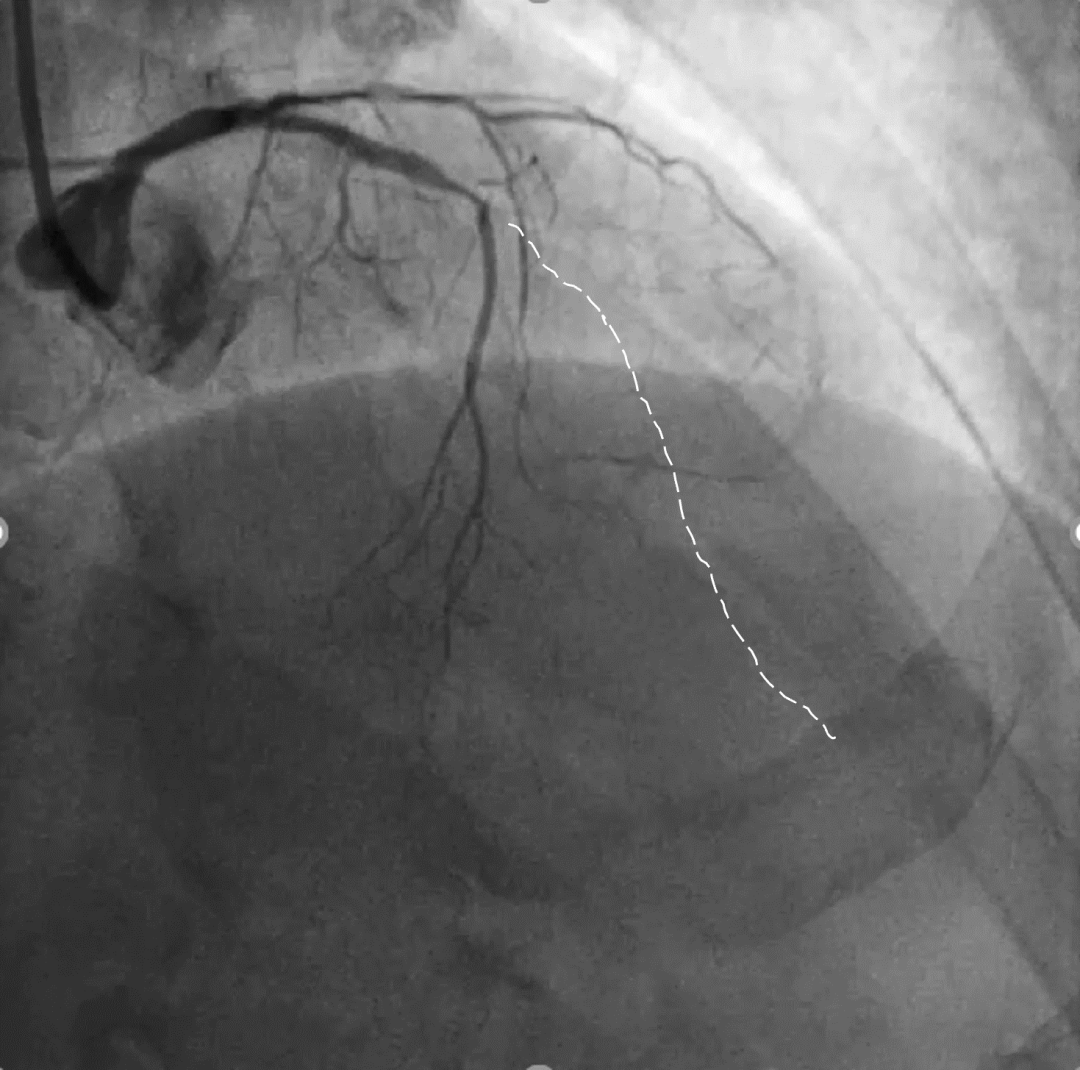
手术影像
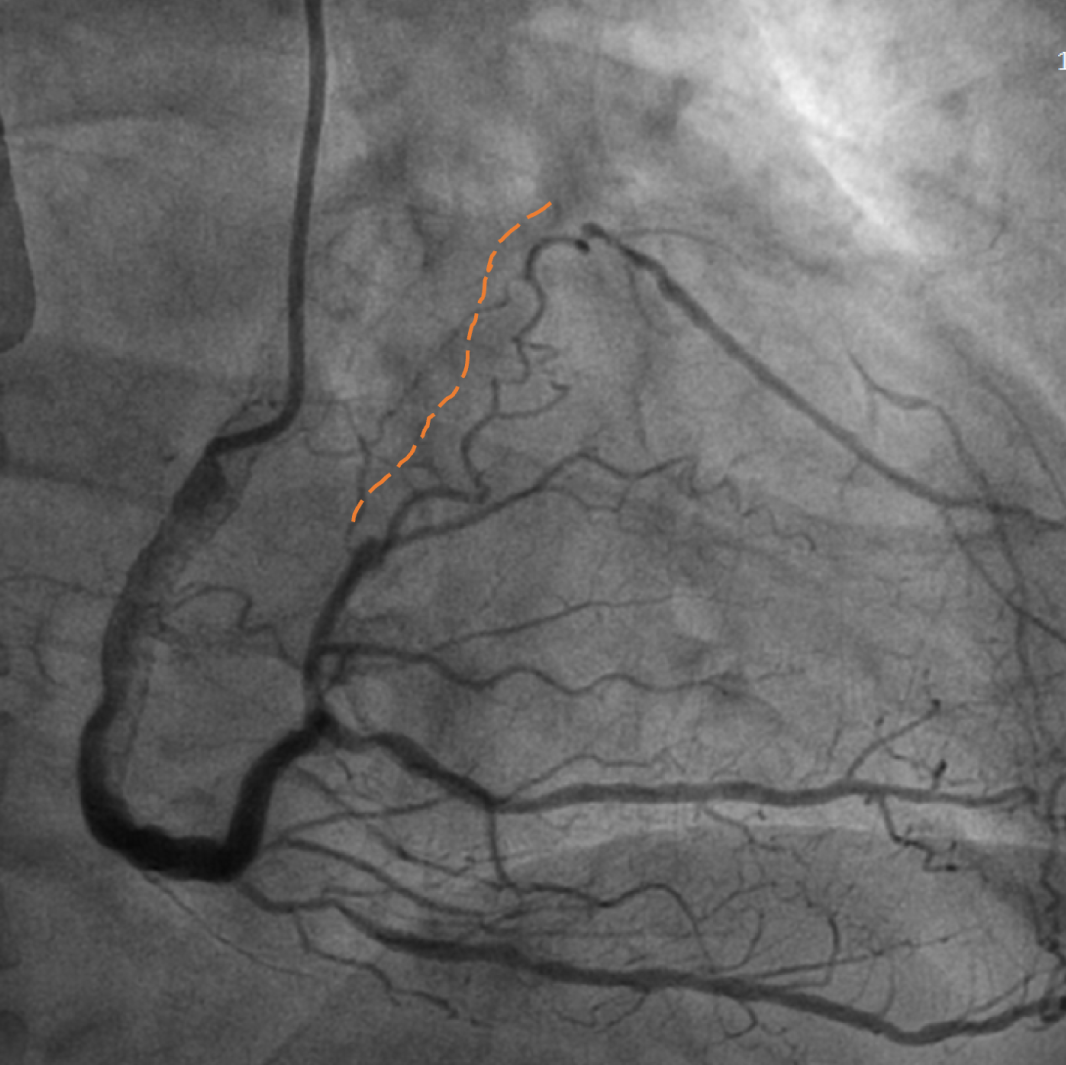
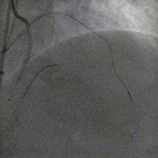
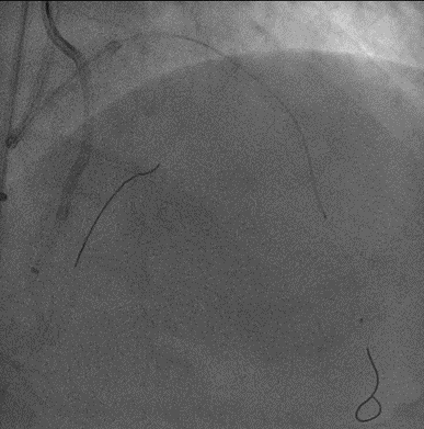
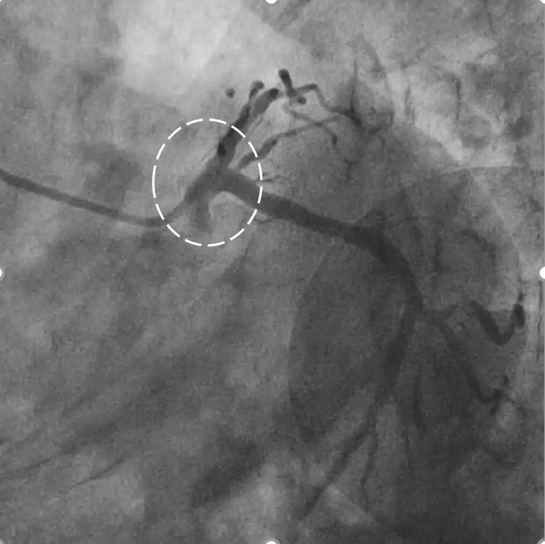
LAD、LCX双支 CTO ,LAD 近端50%狭窄
RCA粗大,支架代偿良好。远端60%狭窄,PDA开口80%狭窄
策略讨论:双支CTO,闭塞段残端清晰,钙化,右冠造影可见PLV/PDA侧供LCA。由于有前降支PCI失败史,该次已经做好充分准备,大概率需要逆向PCI。
PCI过程
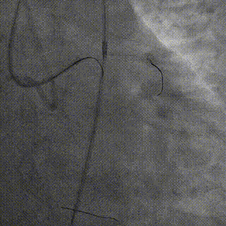
双侧造影,RCA 7F AL1.0,Runthrough导丝置于远端。
LCA 7F XB3.5,Cosair135,尝试Pilot200失败,进入假腔,Judo3成功通过闭塞段,换入Pilot150后,仍然进入假腔,再次使用Judo导丝,进入前降支远端,微导管造影,证实为真腔内,送入工作导丝。
Tip injection确认真腔,更换runthrough,2.0*20mm球囊预扩。
IVUS提示LAD近中段弥漫钙化,接近270度,钙化长度约26mm
LAD Stent 2.5*36mm,3.0*29mm ;Immediate image ,TIMI3
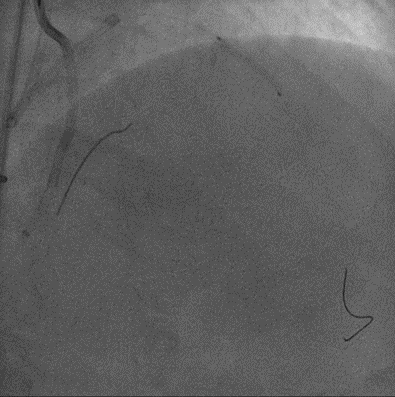
继续开通LCX,Pilot200 成功通过闭塞段,Tip injection 确认真腔
更换runthrough,Ballon dilatation 2.0*20mm,2.75*15mm
LCX Stent 2.5*36mm, Immediate image ,TIMI3
IVUS LCX-LM,RUN2
支架膨胀、贴壁良好,LCX开口MSA 5.68mm²,LM MLA 5.67mm²。
NC 3.0*15mm,3.5*15mm后扩张;LM stent 4.0*19mm
Runthrough 掏LCX支架网眼,退LAD导丝,送入 NC 3.5*15mm扩张,优化开口支架形态
IVUS LAD-LM,RUN3,LAD口部MSA 9.03mm²,LM MSA 10.18mm²
NC Ballon dilatation 3.0*15mm,3.5*15mm,4.0*12mm
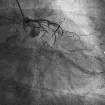
Final result
Judo系列导丝介绍
心得体会:此次两个病例均是Pilot200导丝通过失败,升级Judo3而成功开通。相比之下Judo导丝的操控性能最为突出,特别对于前降支CTO,血管病变较直的场景优势明显。
两个病例正向开通,相较逆向开通极大地减少了手术时间。Judo系列细、滑、兼具一定穿透力的特点在合适的病变场景能发挥显著的优势,带来新的惊喜。
专家简介
张斌
广东省人民医院
医学博士、心内科主任医师、博士生导师。广东省冠心病防治研究重点实验室副主任。
美国心脏病学院院士(FACC),美国心血管造影与介入学会Fellow(FSCAI),广东省医师协会心脏重症分会主任委员,广东省介入性心脏病学会冠心病介入分会副主任委员,中国海峡两岸医药卫生交流协会心脏重症专业委员会副主任委员,广东省中西医结合学会心血管介入专业委员会副主任委员,广东省介入心脏病学会冠心病介入分会副主任委员,广东省医学会心血管病分会心脏介入学组副组长,广东省医院协会心血管介入管理专业委员会委员。卫生部心血管疾病介入诊疗培训基地(冠心病介入治疗)导师。
从事心血管内科临床工作20余年,有扎实的理论基础和丰富的临床经验。擅长于冠心病的介入治疗,有着丰富的经验和娴熟的手术技巧。较早开展对冠状动脉慢性闭塞病变的逆向PCI(经皮冠状动脉介入)手术、慢性闭塞病变的旋磨术等高难度术。每年逆向PCI手术量位于世界前列。曾多次被邀请到英国、瑞士、新加坡、阿联酋等大会手术演示,以及赴东南亚、非洲手术教学。
