重磅:阜外首例!冠状动脉欲“钙”弥彰,阜外医院突破性应用LiqMagic C14冲击波球囊成功救治冠状动脉严重钙化病变患者
图片

2022年04月14日,“评价冠状动脉冲击波碎石系统用于重度钙化冠脉病变预处理的安全性和有效性的前瞻性、多中心、单组目标值临床试验中心启动会”在中国医学科学院阜外医院成功召开。本次启动会的主办方为深圳市赛禾医疗技术有限公司,阜外医院心血管内科的窦克非教授担任主持,参与本次启动会的研究人员有:杨伟宪院长、吴永健教授、高立建教授、朱成刚教授、尹栋教授、崔锦刚教授、袁建松教授等。

图片

2022年04月19日,中国医学科学院阜外医院(以下简称“阜外医院“)心血管内科的窦克非教授高立建教授及其团队成员使用深圳市赛禾医疗技术有限公司(以下简称“赛禾医疗”)自主研发的LiqMagic C14冲击波冠脉球囊,成功为一名右冠脉远端严重钙化病变的患者提供手术治疗,该手术应用属于阜外医院首例,是阜外医院在冠状动脉冲击波碎石术方面成功的突破性尝试。

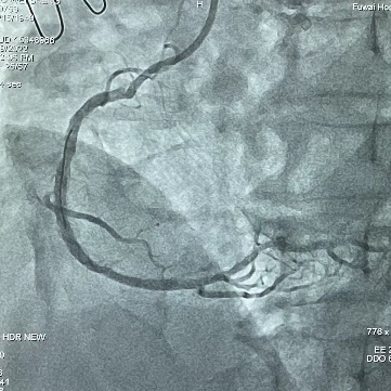
患者为73岁男性,自述间断胸闷已9年有余,近半年胸闷症状复发;经冠脉造影显示,患者右冠状动脉远段有明显狭窄,狭窄率90%,靶血管严重钙化,病变长度目测40mm,参考血管直径为3mm,未见夹层产生,TIMI血流3级,在心脏搏动和不搏动时皆可见清晰高密度影。

在局部麻醉下,经右侧远端桡动脉入路,首先对靶血管进行球囊预扩,然后术者先将2.75*12mm冲击波冠脉球囊送至靶血管近端,并在4atm低压扩张后启动脉冲放电,持续一个治疗周期;然后更换3.0*12mm冲击波冠脉球囊,再次送至靶血管远端,再次进行一个治疗周期的脉冲放电。整个治疗过程总计进行了2个放电治疗周期(总计20次脉冲),钙化斑块被安全地“压裂“,靶血管管腔获得良好,植入串联双支架后经冠脉造影检查显示,支架贴壁良好,未见夹层与血栓,目测残余狭窄0%。

窦克非教授表示:“冲击波冠脉球囊的安全性好,操作简易,此次在本院的首例应用很成功,我们期待这一创新器械尽快完成临床研究,早日上市造福更多的患者。”

高立建教授表示:“用球囊预扩张后,导管的通过性良好,虽然是首次操作此系统,但比想象中要容易得多。”

图片
图片

据调查显示,中国大陆地区全年PCI例数已接近100万例;其中,中重度血管钙化病例占比20~30%。随着经皮冠状动脉介入治疗(PCI)的不断发展,介入治疗更多涉及到更为复杂的病变,而冠状动脉钙化病变是心血管介入医生所面临的主要挑战之一。冠状动脉冲击波碎石系统的出现,使介入医生针对原来束手无策的严重钙化病变有了高效安全的解决之道,使医生能够轻松攻克最坚硬的堡垒,显著降低了术中难度与风险。我们相信,血管内冲击波碎石(ISL)术将为血管钙化病变治疗难题的破解带来一道“新曙光”,为钙化病变患者带来福音。

传统血管钙化病变的治疗手段包括:非顺应性球囊、刻痕切割球囊、斑块旋磨术、激光消融导管等,与这些传统介入器械相比,血管内冲击波球囊具有三个明显的优势:

(1)冲击波能量更安全,可有效减少血管穿孔、夹层等并发症发生;

(2)适用范围更广,针对钙化结节、偏心型钙化、内膜或深层钙化病变都能获得良好的治疗效果;

(3)学习曲线几乎为零,非常适合向基层医院推广。

赛禾医疗是一家致力于研发和生产有源心血管植介入医疗器械的高科技企业,并于2021年自主研发出国内首个冠状动脉冲击波碎石系统。

图片

该冠状动脉冲击波碎石系统由LiqMagic C14冲击波冠脉球囊导管、ISL100 Pro体内冲击波治疗仪两部分组成。冲击波冠脉球囊导管和体内冲击波治疗仪连接后,通过操作手柄的控制按键能够控制体内冲击波治疗仪启动或停止血管内冲击波碎石治疗,具备良好的安全性、便捷性和可靠性。球囊内部的远端和近端都有显影环标识,方便医生精确定位。

阅读数: 5768