2022年4月27日,新疆维吾尔自治区人民医院杨毅宁教授团队成功为一名高危、重度主动脉瓣膜狭窄患者植入了美敦力Evolut PRO经导管主动脉瓣膜(TAVR),此例植入为新疆首例,同时也是全国首批。
该病例为70岁女性患者,间歇胸闷气短17年,反复住院药物保守治疗,效果不佳,10日前症状加重,伴有胸痛、头晕、黑朦,双下肢水肿,转于我院就诊。经检查分析,诊断为重度主动脉瓣狭窄,风心病,患者主动脉瓣叶增厚,左心耳血栓,左冠开口小于10mm,存在一定冠脉阻塞风险,右侧股动脉分叉在股骨头中点,左侧股动脉分叉高于股骨头中点,双侧髂外动脉最小直径小于5.5mm,主动脉弓角偏大,对血管介入造成难点,同时易引起血管并发症,手术难度大。经杨毅宁教授团队充分评估,对患者采取全麻下经食道超声监测,选用目前行业最低入路要求美敦力递送系统配合自带内联鞘进行介入。
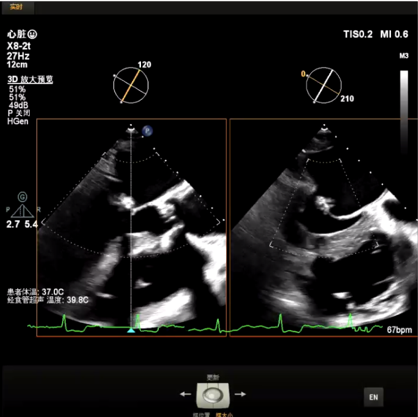
主动脉瓣狭窄(重度,跨瓣平均压差56mmHg),伴反流,主动脉瓣钙化,开放受限,有效开口面积0.6cm²;峰值流速4.56m/s,EF53%。经胸超声可见瓣膜开口严重受限,存在反流。
根据术前CT分析,结合患者瓣膜钙化情况,决定预装Evolut PRO 26mm瓣膜,采用超声引导下穿刺,确保入路精准,对血管损伤最小。
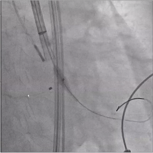
首先进行球囊预扩、造影,判断左右冠开口情况,实际显示冠脉灌注良好,将根据瓣膜植入后情况再决定是否进行冠脉干预,由于患者血管入路短径小于5.5mm,使用大鞘将难以通过并造成血管损伤,采用内联鞘直接进入递送系统,超强的顺应性使得递送顺利过弓和跨瓣。
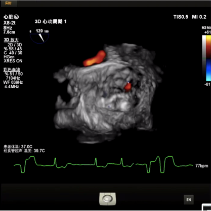
在CUSP OVERLAP投照角度下进行瓣膜释放,释放过程中杨毅宁教授密切关注患者各项体征指标以及各器材位置情况,稳步操作最终达到预计位置精准定位,术后跨瓣压差即刻降低至0,患者双侧冠脉灌注良好,无反流,超声检测血流动力学明显改善,手术取得圆满成功。 中心简介 新疆维吾尔自治区人民医院始建于1934年,是一所集医疗、教学、科研、预防、保健和社区卫生服务为一体的大型综合性“三级甲等医院”。曾先后荣获“全国文明单位”、“全国百佳医院”、“全国五·一劳动奖状”、“全国卫生系统先进集体”、“全国万名医师支援农村卫生工程先进集体”、“全国十大百姓放心医院”、“全国卫生系统思想政治工作先进集体”、“自治区民族团结进步模范单位”等荣誉称号,是中国医院竞争力·顶级医院100强。 专家简介 杨毅宁 新疆维吾尔自治区人民医院 医学博士,博士生导师,教授、主任医师。 现任新疆维吾尔自治区人民医院党委副书记、院长。2004年和2007年分别于新加坡国立大学医院导管室和德国Mainz Johannes Gutenberg大学临床医院心内科研修冠状动脉介入治疗。目前研究方向为冠心病、先天性心脏病及瓣膜病的介入治疗及相关基础研究。国务院特殊津贴专家,新疆自然科学专家。2017年入选“国家百千万人才工程”并被授予“有突出贡献中青年专家”荣誉称号,第十二届“中国医师奖”获得者,先后入选教育部新世纪优秀人才计划,自治区“天山雪松计划”科技创新领军人才后备,“天山英才”培养计划第一层次。 主持国家重点研发计划1项,国家自然科学基金6项,教育部新世纪优秀人才计划项目1项,自治区级科研项目14项,参与国家自然科学基金、国家“十一五”计划子课题及横向课题、自治区重大专项等20余项研究。以第一作者或通讯作者身份发表学术论文250余篇,其中SCI收录论文60篇,CSCD收录论文174篇。主参编专著16部,荣获自治区科技进步奖10项,其中一等奖4项、二等奖6项,荣获中华医学科技奖2项,2020年被评为自治区“最美科技工作者”。在临床工作中不断开拓创新,年均完成经皮冠状动脉介入治疗(PCI)2000余例,先心病介入封堵术350余例,积极开展和推广IVUS、OCT、远隔缺血适应治疗等新技术的临床应用。在疑难危重症治疗上,使用TAVR、ECMO等新技术,成功救治多名危重冠脉、先心病、瓣膜病患者。
