顶峰相“鉴”:飞利浦旗舰国产超声EPIQ 7C获批上市
图片

2022年4月22日,经国家药品监督管理局审评,飞利浦医疗(苏州)有限公司生产的第三类医疗器械EPIQ 7C“彩色超声诊断系统”获批上市。

据悉,EPIQ 7C系列是飞利浦旗舰级超声系统,代表着目前国产超声系统的最高水平,该系列共包含3款产品,具备超大容量数据瞬时采集技术,像素级图像显示及人工智能处理技术,在提供顶尖的心血管超声解决方案的基础上,同时带来智能的全身应用及妇幼关爱等更为丰富的超声解决方案,满足全面临床需求。

图片

过去的十几年,本着“立足中国,辐射全球”的理念,飞利浦用行动践行中国“智”造,全面贴合中国市场的需求,打造全场景服务,此次EPIQ 7C系列全面国产化,让中国患者在“家门口”就能享受到国际顶尖医疗服务,引领行业技术发展方向,拉开国产超高端超声市场的序幕。

飞利浦大中华区高级副总裁、精准诊断业务群总经理陈胜裕表示,飞利浦尤其强调自研、创新与需求匹配。除了在中国大规模兴建工厂外,飞利浦还成立了“中国数字创新中心”,以适应中国多元的、本地化需求。

“我们的目标是要充分利用中国市场充沛的高级人才以及中国的供应链优势,始终立足本土需求,加快效率、优化成本,研发生产为本地量身定制的解决方案,来服务中国、服务全球。”

图片

 ✦ 

EPIQ 7China

国际品质,中国智造

智能 极致体验

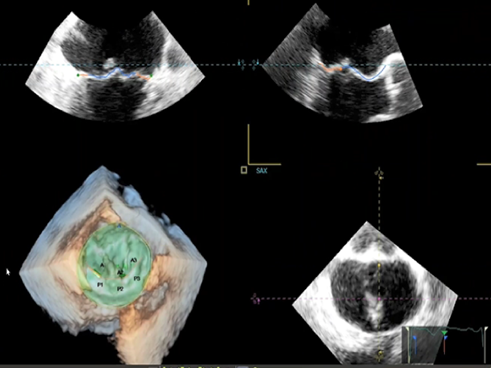
飞利浦国产EPIQ 7C搭载革命性的nSIGHTx天玑平台架构,具备领先的探头技术,带来卓越的结构心脏成像,以真正的人工智能心脏功能定量技术和全面的拓展应用,将科研解决方案和临床解决方案带入新纪元。

图片

影像,火眼“晶”睛

飞利浦国产EPIQ 7C带来业内首创的TrueVue技术:TrueVue Light光源心腔镜,光影变化,可透过表面看本质,真实还原心脏立体结构,协助准确诊疗;TrueVue Color彩色心腔镜,血流溯源,更直观、准确的显示心脏血流动力学形态,带来全方位的极致体验。

图片
TrueVue Light光源心腔镜
图片

TrueVue Color彩色心腔镜

数据,随手可得

极速运算+人工智能AITT,飞利浦国产EPIQ 7C为心血管定量技术领域树立了更高更新的标准。获得FDA和NMPA双认证的AI技术,3D Auto MV三维自动二尖瓣定量,可自动建模追踪分析,快速获取二尖瓣三维模型,瓣叶及瓣环等多参数多时相运动功能曲线。AAA 腹主动脉瘤评估,快速获取腹主动脉容积数据,数字化综合评估腹主动脉瘤样病变进展。

图片

3D Auto MV三维自动二尖瓣定量

图片

AAA  腹主动脉瘤评估

全面,拓展无限

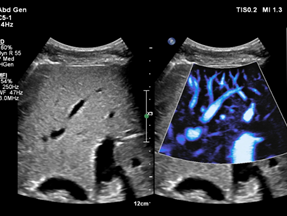
飞利浦国产EPIQ7C系列可搭载业内最全的纯净波探头群,提供全身超声检查解决方案,可应用于腹部,浅表器官,外周血管,妇科,产科,及盆底超声诊疗,在提供像素级超清影像的同时,联合多模式弹性成像,超声造影技术,为临床提高全面,精准的诊疗信息。
图片

部分探头群

图片

MFI微视血流成像

图片

胎儿臻容成像

 ✦ 

飞利浦

在中国,为中国

在全球总部的支持下,飞利浦正在全面加大对中国市场的创新投入,调整创新模式,整合全球与本地资源,在中国布局产品、系统、软件三大创新中心,提升本土创新能力。

图片

伴随着旗舰级超声系统EPIQ 7C系列的顺利上市,飞利浦本土化版图初成格局。多年以来,飞利浦在超声领域不断苛求与耕耘,以其领先的创新成果,应答临床需求,开启国造超声新纪元,为临床应用创造无限可能!

未来,飞利浦超声将进一步洞察中国客户需求,发挥集研发、生产、教学与培训一体的影像中心优势,不断加大对超声本土化的投入规模,带来更智能、更丰富的临床解决方案。

图片
阅读数: 2097