2022年04月16日,温州医科大学附属第一医院周浩主任率领心脏瓣膜介入团队,使用雅培经导管二尖瓣夹及可操控导引导管系统MitraClip®,成功独立为一例二尖瓣关闭不全伴重度反流的患者实施了经导管二尖瓣缘对缘修复手术。在麻醉科、超声影像团队、心脏重症监护室、介入护理团队等多学科的共同协助配合下,手术顺利完成。患者术后即刻效果显著,术毕即刻拔管,术后36小时即出院。
据悉,此次手术患者诊断是继发性的二尖瓣反流,有重度肺动脉高压,从解剖结构来看二尖瓣后叶仅有9mm,前后叶对合不全伴有间隙,且反流束宽度达到了不常规的18mm,术前策略使用两个NTR二尖瓣夹,是一次超高难度的挑战。此次手术成功的开展也标志着温州医科大学附属第一医院心内科在结构性心脏病介入领域取得重大突破,跻身国内前列。
此次手术的患者为一名69岁的老年男性,因“反复胸闷气促5年加重”入院。患者7年前房颤,5年前心梗,冠脉造影显示动脉粥样硬化,考虑房颤栓塞自溶可能。此后反复心衰,药物优化治疗,仍反复心衰入院。入院后行经胸超声和经食道超声发现二尖瓣重度关闭不全。患者存在心力衰竭症状,经积极药物治疗改善不明显,手术风险高,操作难度大,经心脏瓣膜团队多次充分讨论评估后,决定行经导管二尖瓣缘对缘修复治疗。
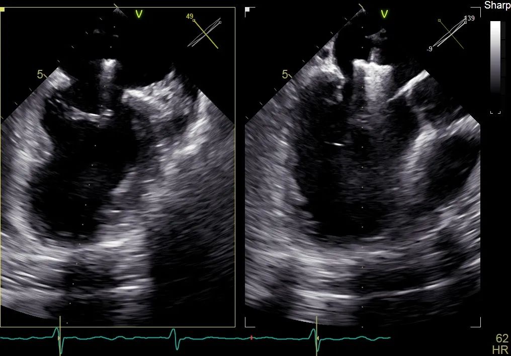
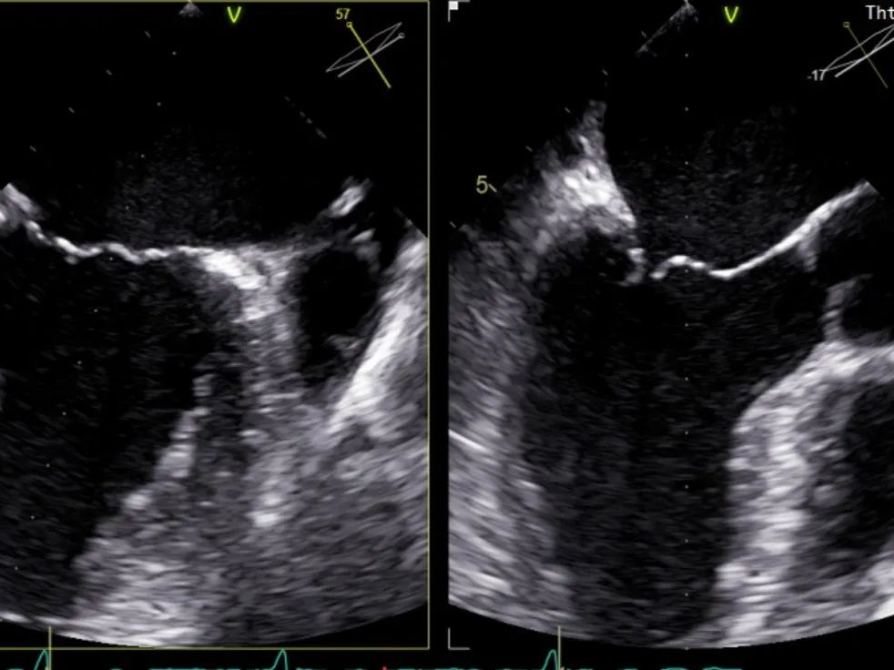
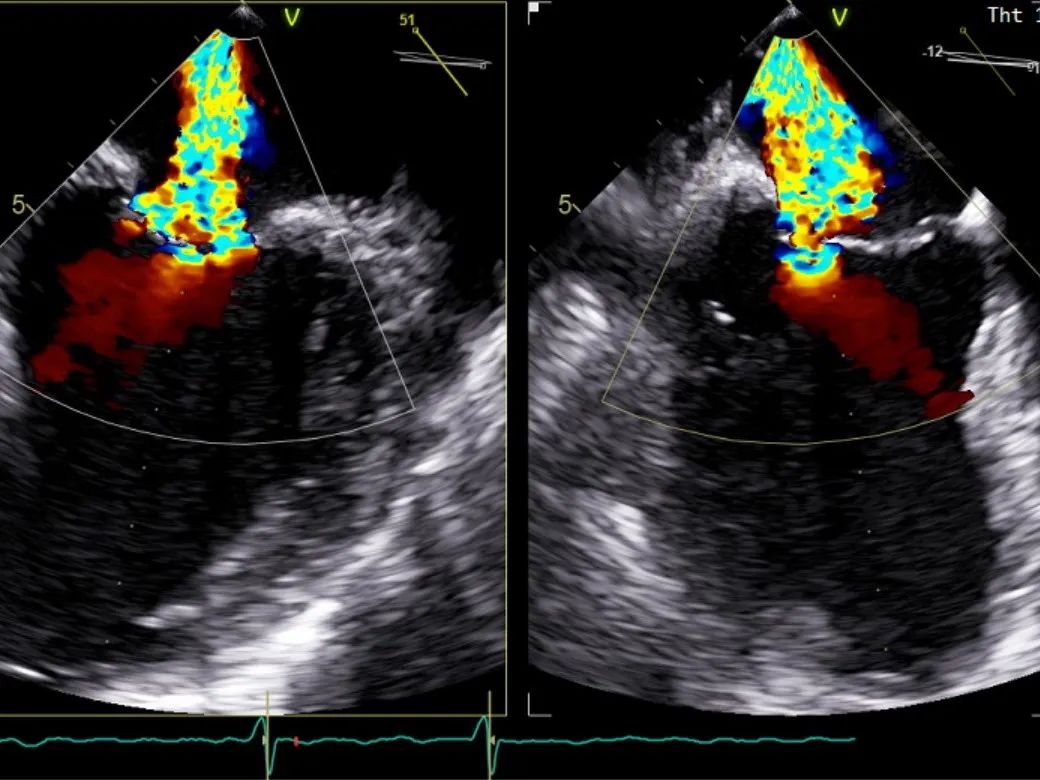
术前行经食道超声评估:继发性二尖瓣反流,反流程度4+;二尖瓣有效反流口面积(EROA) 0.81 cm²,缩流颈宽度18 mm,反流容积112.36ml,二尖瓣瓣口面积5.06 cm²,平均跨瓣压差5 mmHg,二尖瓣前叶(A2)长度15mm,二尖瓣后叶(P2)长度9 mm;左房内径54mm,左室收缩末期内径50mm,左室射血分数43%,肺动脉压83 mmHg。
术前食道超声可见二尖瓣重度反流,前后叶对合不全伴有间隙,且反流束宽度18mm
患者全身麻醉后,建立右侧股静脉入路,在经食道超声指导下精准穿刺房间隔。
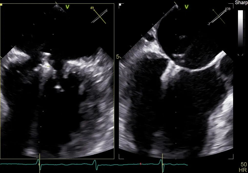
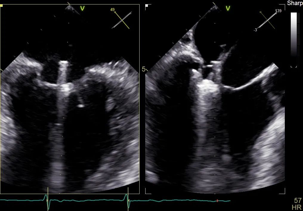
将可操控导引导管和瓣膜夹输送系统送入左心房
调整二尖瓣夹,使其定位于反流6-12点钟方位
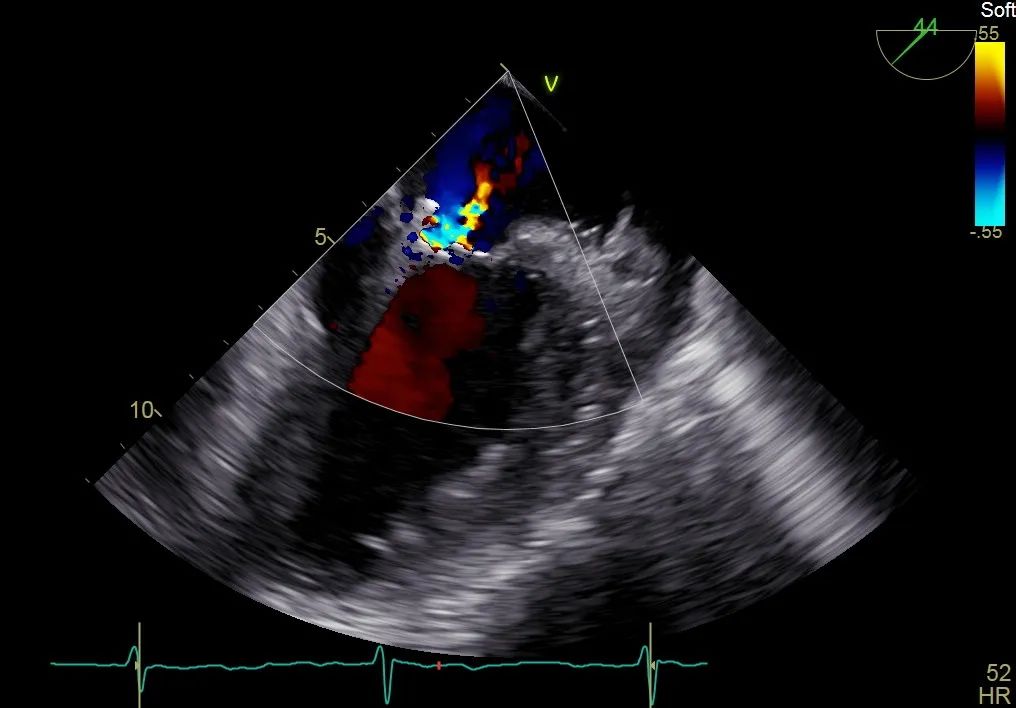
二尖瓣在收缩期变成双孔状,反流有效减小
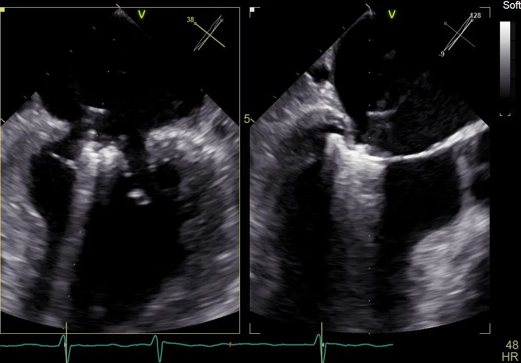
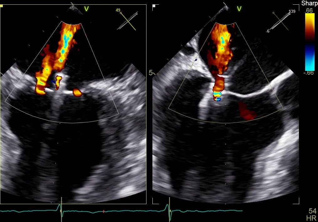
周浩主任继续在食道超声影像引导下进行高难度操作,在第一个二尖瓣夹内侧再置入第二枚二尖瓣夹。
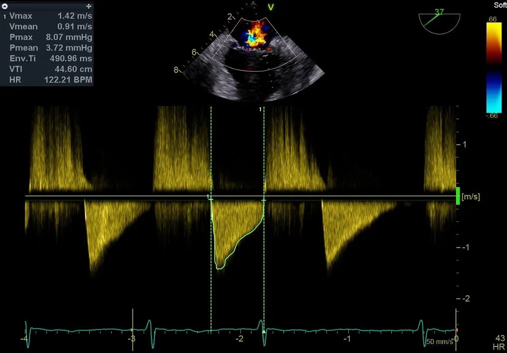
再次反复测试第二枚二尖瓣钳夹的稳定性,超声复查提示二尖瓣反流明显改善,平均跨瓣压差4 mmHg
周浩主任评价道:“该病例为超高难度的继发性二尖瓣反流患者,二尖瓣反流范围广,重度肺动脉高压,解剖结构分析后叶较短,且前后叶对合不佳伴有间隙,有很大手术挑战,MitraClip®经导管二尖瓣夹的结果令人非常满意。
患者术后一天即可以下床活动
MitraClip于2020年6月获得NMPA对DMR适应证的批准,2021年4月获得FMR的适应症。该系统目前已在80多个国家和地区获得上市批准。全球有超过150000名患者接受了MitraClip手术。目前国内于2021年1月份开展至今已经有40多家中心开展,累计手术超过200例。该技术对患者症状的近远期改善效果在全世界已经有了充分的临床证据,使更多的高危患者具备了手术条件,值得推广和普及。
专家简介
周浩
温州医科大学附属第一医院
温医大附一院心内科科主任,兼CCU科主任,教授,主任医师,博士生导师。
擅长:复杂冠心病,结构性心脏病诊治,心脏急重症处理。
美国匹兹堡大学访问学者,美国哈佛大学医学院、日本札幌心血管病中心,北京阜外心血管病医院学习。
浙江省创新人才培养对象,浙江省高校中青年学科带头人,温州市511人才第二层次。
国家卫计委冠心病介入导师,亚洲心脏病学会理事,中国医师协会心衰、高血压专委会委员,世界中医药学会介入委员会理事,中国医药教育协会心血管内科专委会委员,浙江省医学会介入心血管分会副主委,浙江省医师协会心血管内科医师分会委员,浙江省医学会心血管分会冠脉介入学组副组长,温州医学会心血管分会委员,介入学组委员。
多次参加美国TCT、亚太TCTAP大会交流挑战性病例。
主持国家、省部级各级课题10项,国家级、省市继教项目3项,第一作者或通讯作者发表30余篇论文,其中SCI 17篇。
以第一负责人获浙江省科技进步三等奖,省厅级科技进步奖二等奖,温州市科技进步三等奖。参编5本著作。
陈长曦
温州医科大学附属第一医院
温州医科大学附属第一医院心血管内科、副主任医师。
中国医师协会冠心病介入治疗培训导师;中国医药教育协会心血管内科专业委员会青年委员;浙江省医学会心血管病学分会心脏瓣膜病学组成员;温州市医学会心身医学分会心脏心理医学学组成员。

