2022年4月(总第8期)
冠状动脉阻塞(coronary artery occlusion,CAO)是TAVR手术的严重并发症,发生率相对较低(<1%),但一旦发生短期死亡率高。冠脉阻塞可分为急性或迟发性冠脉堵塞。造成冠脉阻塞的解剖相关风险因素包括自体瓣叶冗长、增厚,窦部偏小、窦管交界位置低、冠脉开口低等。TAVR术中介入瓣膜将异常的瓣叶结构推至窦内,导致冠脉开口部分或完全阻塞,也有部分患者因血栓或瓣叶团块钙化等导致冠脉阻塞。
烟囱支架冠脉保护(Mercanti, F. et al. J Am Coll Cardiol Intv. 2020;13(6):751–61.)
患者基本情况:
男性患者,77岁,2周前无明显诱因感觉气短、胸闷,当地检查提示为心脏瓣膜病、胸腔积液。给予胸腔闭式引流术,引出胸水约800ml,患者症状减轻,现来我院进一步诊疗。初步诊断为:主动脉瓣狭窄、心功能III级,冠状动脉粥样硬化。
术前超声检查:
主动脉瓣狭窄伴关闭不全(PGmean42mmHg),升主动脉扩张,二尖瓣关闭不全,左房、左室大,左室收缩功能减低,主动脉瓣上湍流,瓣下反流(中-大量),二尖瓣反返流(中量),三尖瓣反流(少-中量)。EDV154ml,ESV83ml,EF46%,FS22%,SV71ml.
术前CT评估:
CT分析提示:TypeI型二叶瓣,左右瓣叶融合,瓣叶增厚,重度偏心性钙化,钙化位于无冠瓣叶及右无瓣叶交界处,且钙化延伸至LVOT2.5mm,舒张期可见瓣叶关闭不全间隙,右冠高度可,左冠开口平面可见瓣叶,左冠堵塞风险极高,心室略大,室壁厚度可,非横位心,升主动脉瘤样扩张,大血管走行自然,右侧髂总动脉血管细小。
术前3D打印体外模拟:
3D打印模型显示左冠开口低,左冠瓣叶无钙化且冗长(红色箭头为左冠窦位)
22mm球囊预扩张显示偏心钙化导致球囊偏至左冠窦并阻挡左冠开口(红色箭头为左冠窦位)
手术策略:
瓣环直径29mm,LVOT直径31.1mm,typeI型瓣叶且偏心钙化位于无冠窦,按照常规瓣膜型号选择标准,但考虑患者两叶瓣,且左冠状动脉阻塞风险极高,downsize选择瓣膜型号,拟植入26mmVenus-A,备29mmVenus-A,高位释放,采用可回收输送系统,术中22mm球囊预扩张sizing后确定最终瓣膜型号选择。左冠预置支架保护。以左侧股动脉为主入路。
手术情况:
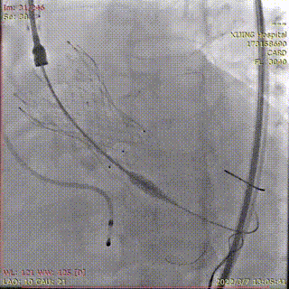
预置4.0*35mm冠脉支架左冠保护并根部造影
22mm球囊预扩张,无漏
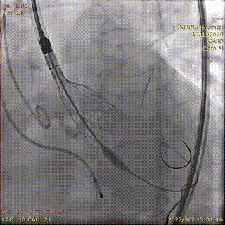
送入26mmVenus-A Plus造影定位
释放1/3瓣膜造影检查位置
释放2/3瓣膜
造影检查位置
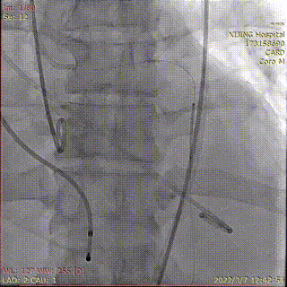
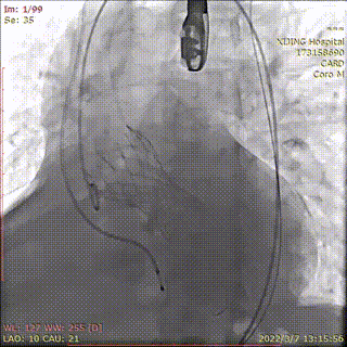
冠脉支架置于左主干并造影
完全释放Venus-A Plus
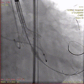
烟囱支架扩张释放
造影显示左冠通畅
术后造影显示瓣膜位置理想,冠脉充盈正常
小结:
1. 烟囱支架是预防TAVR手术冠脉堵塞的一种有效方式。
2. 冠脉阻塞高风险患者手术中在使用自膨式瓣膜时可采取downsizing、高位释放的策略,但这种方式术后可能存在一定瓣周漏,且不利于远期采用Rewire方式处理冠脉。
3. 3D打印技术体外模拟可直观综合确定冠脉阻塞风险。
4. 部分患者可采用短支架瓣膜可预防冠脉阻塞,同时便于远期冠脉再处理。
专家简介
杨剑
空军军医大学西京医院
心血管外科一病区主任,博士研究生导师。曾于德国洪堡大学Charité医学院、德国柏林心脏中心、美国Cleveland Clinic医学中心等国际知名医学中心访问研修。担任美国心脏协会专家会员(FAHA)、 美国心脏病学会专家会员(FACC)、中国医师协会心血管外科医师分会结构性心脏病专业委员会副主任委员、中华医学会胸心血管外科分会第九届委员会青年委员、陕西省医疗器械不良事件监测专家咨询评价委员会专家。获聘陕西省中青年科技创新领军人才、陕西省科技创新团队带头人,为陕西省自然科学基础研究计划杰出青年科学基金项目获得者、西安交通大学兼职教授。担任Eur Heart J, BMJ,AJC等杂志特邀审稿人,《中华胸心血管外科杂志》、《心脏杂志》、《中国体外循环杂志》、《心血管外科杂志》、《精准医学杂志》编委。临床专长于复杂结构性心脏病的微创及介入治疗,在国内较先开展了经导管肺动脉瓣置换、主动脉瓣置换、二尖瓣修复、二尖瓣置换以及瓣周漏封堵等创新性技术。主要科研方向为结构性心脏病诊疗新技术以及心肌细胞损伤修复、重构和再生的临床转化研究。在微创心血管器械研发、临床转化及以3D打印为主的多模态影像学评估方面有一定建树。先后在Eur Heart J,JACC等国际期刊上以第一或通讯作者发表SCI论文30余篇,被Circulation,JACC等国际权威杂志引用500次,承担十三五国家重点研发计划、国家自然科学基金等10余项基金,经费1000余万元。荣获国家科技进步二等奖、中华医学科技一等奖、中华医学会胸心血管外科分会Lillehei奖学金“菁英奖”、中国医师协会胸心血管外科分会优秀青年医师“杏林奖”等奖励。授权国家专利20余项,出版专著、译著12部。
刘洋
空军军医大学西京医院
空军军医大学西京医院心血管外科博士,副主任医师,副教授,硕士研究生导师。微创结构性心脏病组组长,ECMO组组长。

