2022年4月17日,天津医科大学总医院血管外科戴向晨教授和范海伦教授团队成员,成功完成了深圳市赛禾医疗技术有限公司(以下简称:赛禾医疗)自主研发的LiqMagic外周动脉冲击波碎石系统的全国首例临床试验入组。
本临床试验是国内首个在ChiCTR注册的评价外周动脉冲击波碎石系统用于外周血管钙化狭窄病变的安全性和有效性的前瞻性、多中心、单组目标值临床试验,组长单位为天津医科大学总医院,另外还包括首都医科大学宣武医院、河北医科大学第一医院等十几家合作研究单位。
患者基本情况
患者为男性62岁,因“双下肢间歇性跛行3年”入院,诊断为双下肢动脉硬化闭塞症,卢瑟福分级2级。签署知情同意书后,经影像学评估,患者股浅动脉血管近端重度钙化,病变长度约50mm。拟入组赛禾医疗外周动脉冲击波碎石系统临床试验。
冲击波球囊治疗过程
经桡动脉入路,术者首先使用裸球囊对靶病变进行预扩,然后使用直径6mm、长度60mm的LiqMagic P18冲击波外周球囊导管进行冲击波治疗,整个治疗过程释放了6个放电周期。
术前
LiqMagic P18放电前
放电二个周期后
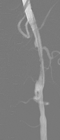
冲击波治疗前后管腔获得情况
术前造影
术后造影
研究者观点
术中朱杰昌主任、王端医师表示“赛禾医疗冲击波外周球囊导管柔顺,即使是较为挑战的桡动脉入路,推送性表现依然很好,主机操作也很便利,学习曲线短。在执行第二个放电周期后,随即观察到腰征消失,证明了冲击波对严重钙化病变的有效性。”
手术结束后,戴向晨教授表示:“首例入组的成功展现了赛禾医疗的冲击波外周球囊应对严重钙化病变的良好性能,较高的放电次数使临床医生在治疗长段、多段严重钙化病变时更加从容,不单是可作为血管准备器械来‘压裂’钙化斑块,亦可作为最终治疗器械,为外周血管钙化狭窄病变的临床治疗提供一种新的治疗策略。”
新“钙”念谋未来,下肢血管钙化病变介入治疗迎来发展新阶段
随着我国社会人口老龄化进程加快,外周动脉疾病(Peripheral Arterial Disease,PAD)的发病率呈逐年上升趋势,并且PAD与心血管疾病发病率和死亡率增高有关。在外周动脉疾病PAD中,下肢动脉硬化闭塞症(arteriosclerosis obliterans,ASO)最为常见,在70岁以上人群中发病率为15%~20%,且男性患者多于女性。血运重建是治疗下肢ASO的主要方法。相对于传统外科开放手术治疗,血管腔内介入治疗具有创伤小、并发症少、死亡率低等优点,目前已成为临床治疗下肢动脉ASO的首选方法。血管钙化是下肢动脉ASO病变的特征性表现,影响下肢动脉ASO患者血管腔内介入治疗的预后,血管钙化越严重,截肢及全因死亡率越高。
当前我国存在超5000万的PAD患者,预计超50%表现为血管钙化。在下肢动脉介入治疗中,由于重度钙化病变存在器械通过率低、支架膨胀不良、夹层、支架血栓及再狭窄等风险因素,通常会导致早期和晚期通畅率低、不良事件风险增加,仍是介入治疗领域的重要挑战。
赛禾医疗作为一家中国本土的医疗器械企业,勇于抢占全球血管介入医疗技术制高点,外周动脉冲击波碎石系统是赛禾医疗继冠状动脉冲击波碎石系统之后第二个进入确证性注册临床的有源血管介入器械产品。赛禾医疗自主研发的外周动脉冲击波碎石系包括ISL200血管内冲击波治疗仪和LiqMagic P18冲击波外周球囊导管两个部分。
赛禾医疗外周动脉冲击波碎石系统
与冠状动脉冲击波碎石系统一样,外周动脉冲击波碎石系统利用一种创新的血管内钙化斑块冲击波压裂技术,将传统液电碎石术和球囊血管成形术进行技术融合,可以高效安全地压裂钙化斑块而不损坏血管内膜,适用于外周动脉中重度钙化狭窄病变的预处理。与传统的钙化病变治疗技术相比,其优势主要在三个方面:
(1)冲击波能量的安全性更高,血管损伤、穿孔等并发症较少;
(2)适用范围更广,钙化结节、偏心钙化、中膜和深层钙化病变都能取得较好的治疗效果;
(3)学习曲线基本为零,非常适合向基层医院推广,有利于提升基层医院的血管介入手术能力。
我们相信,血管内冲击波碎石术(ISL)作为一种创新的血管介入治疗解决方案,将会显著减少血管夹层、穿孔、破裂、无复流等不良事件的发生率,帮助患者获得更大的血管管腔面积,明显减少血管支架的植入需求。
专家简介
戴向晨
天津医科大学总医院
天津医科大学总医院普外血管外科主任
