近期,北京积水潭医院刘巍主任团队成功应用VenusA-Plus可回收输送系统为三名重度主动脉瓣狭窄合并严重冠状动脉狭窄老年患者行经导管主动脉瓣置换术,术后患者恢复状况良好。北京积水潭医院刘巍主任团队对TAVR技术的熟练运用,推动了积水潭医院心内科新技术的发展,为京西北周边地区广大主动脉瓣重度狭窄患者带来福音。
患者基本情况
患者一:孙某某,女性,75岁,2022-1-29急诊入院。主诉:发作性胸闷、气短3年,加重2小时。现病史:患者3年前无明显诱因出现胸闷、气短,偶有胸痛,向双上肢放射。4个月前上述症状加重,持续不缓解,于我院急诊诊断为NSTEMI,行急诊CAG提示三支病变,LM狭窄80%,考虑为IRA,植入支架1枚,规律冠心病二级预防治疗。2小时前再次突发胸闷、气短,急诊考虑为再次NSTEMI,再次予以急诊CAG检查提示LCX 近段血栓,LM原支架通畅,予以血栓抽吸,未行PCI治疗。收入CCU病房。既往史:高血压病史20余年,糖尿病史9年。
患者二:董某某,女性,84岁 ,1年半前,间断胸痛、胸闷,诊断NSTEMI,于RCA近段植入1枚支架 13天前(2022-2-16),再次胸痛、胸闷,诊断NSTEMI 2022-2-22:冠脉造影示LM重度钙化,LAD近中段重度钙化,中段90%狭窄,LCX重度钙化,远段90%狭窄,RCA开口80%狭窄,近段原支架通畅,中远段重度钙化伴斑块; 2022-2-22:LAD应用药物球囊(贝朗 2.0*20mm),并植入1枚支架(Resolute 2.5*20mm) 2022-2-28:RCA应用药物球囊(凯诺德 2.75*20mm) 既往:高血压、糖尿病 。
患者三:耿某某,男性,81岁,间断胸痛8年,再发2年。8年前无明显诱因出现胸痛,伴胸闷,因症状持续不缓解于外院就诊,于冠脉病变处植入支架1枚。2年前患者再发胸痛,常于劳累或用力排便后发作,伴喘憋,休息后可缓解,于外院门诊就诊予患者欣康(1片/bid)、茶碱缓释片(1片/bid)治疗。6天前患者行超声心动图检查提示“主动脉瓣狭窄(重度),左室肥厚,左室舒张功能减低”。既往:高血压、糖尿病。
患者一术前评估
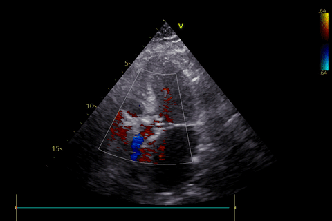
患者一超声报告:
主动脉根部解剖CT影像
瓣环平均直径:22.1 mm,左室流出道平均直径:23.7mm。
升主动脉(未见)明显扩张,心脏角度:48°。
左冠高度:9.6 mm,右冠高度:16.1 mm。
钙化积分:157mm³,轻度钙化。
患者二术前评估
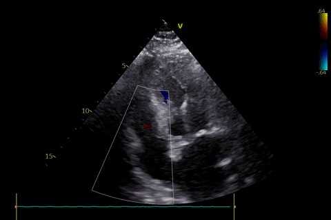
超声报告:
瓣环平均直径:21.1 mm,左室流出道平均直径:22.4mm。
升主动脉(未见)明显扩张,心脏角度:50°。
左冠高度:10.6mm,右冠高度:14.5mm。
钙化积分:61.2mm³,轻度钙化。
患者三术前评估
术前超声评估:
主动脉根部解剖CT影像
钙化积分:221.4mm³。
患者一术前分析&手术策略
孙某某:
综合患者身体状况,在TAVR术前对患者冠脉情况评估,采用IVUS指导,对患者的血管管壁形态及狭窄程度进行了有效的评估。
刘巍主任团队对该患者进行深入分析、反复讨论后,遂决定使用VenusA-Plus®可回收输送系统,选用20 mm球囊预扩张,经由右侧股动脉入路拟植入L26型号瓣膜完成此次手术。
患者一手术情况
在放射科,超声科和麻醉科的通力协作下,顺利完成了术前准备,术者团队在术中谨慎建立轨道,根据主动脉根部造影的结果选择合适的跨瓣体位。
瓣膜释放后造影
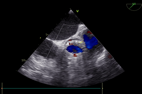
患者一术后超声评估
患者一专家点评
孙某某,急诊入院,身体虚弱,是一名合并急性心肌梗死的重度AS患者,经过团队审慎评估,决定采用PCI+TAVR一站式手术方案。患者冠脉病变复杂,外周血管条件差,给手术带来极大挑战。在术后缝合过程中,邀请血管外科支持 ,团队配合默契。体现了积水潭医院以患者为本,各科室协同作战的精神。
患者二术前分析&手术策略
董某某:
入路情况,主动脉弓部走行较平缓,主动脉弓部三根毛开口未见明显狭窄征象、未见发育变异,胸主动脉、腹主动脉走行较平直、腹主动脉钙化斑块,管腔未见明显狭窄双侧髂动脉-股动脉走形稍迂曲,双侧髂总动脉可见半环形、马蹄形钙化,管腔未见明显狭窄,左髂直径略优于右髂,推荐左侧股动脉做为主入路 左侧股动脉穿刺水平管腔直径约为6.7mm,左侧股动脉分叉约在股骨头下缘水平。
刘巍主任团队对该患者进行深入分析、反复讨论后,遂决定使用VenusA-Plus®可回收输送系统,选用20 mm球囊预扩张,经由右侧股动脉入路拟植入L23型号瓣膜完成此次手术。
患者二手术情况
在放射科,超声科和麻醉科的通力协作下,顺利完成了术前准备,术者团队在术中谨慎建立轨道,根据主动脉根部造影的结果选择合适的跨瓣体位。
瓣膜释放后造影
患者二术后超声评估
患者二专家点评
董某某,周一冠脉,周三TAVR,严重心衰,肾功能差,术中球扩时可见球囊滑脱,植入23mm瓣膜后位置良好,但随之发生了滑脱。紧急情况下刘巍主任团队临危不乱,经审慎评估,果断植入另一个23mm瓣膜。VIV第二个瓣膜铆定位置极佳。
患者跨瓣压差即刻显著下降。再行主动脉造影提示瓣膜置入位置良好、形态完整,超声提示未见明显瓣周漏。术中及术后未出现相关并发症,圆满取得此次手术成功。
患者三术前分析&手术策略
耿某某:
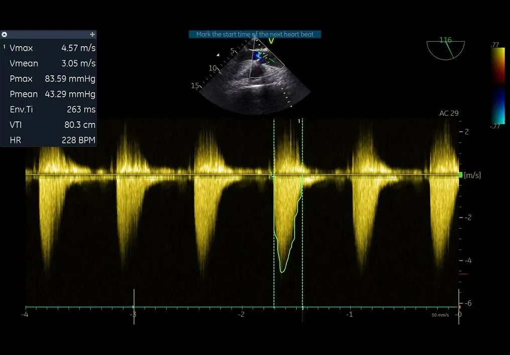
主动脉瓣狭窄(重度),收缩期主动脉瓣上流速增快,最大流速约4.5m/s,最大压差约82mmHg,平均流速约3.3m/s,平均压差约49mmHg。左室肥厚,左室舒张功能减低。D-Dimer5.22mg/1FEU,NT-proBNP780.3pg/ml,hsTNI最高270pg/ml,CK-MB最高4.9ng/ml,肌酐56μmol/L,血钾3.7mmol/L。双下肢大动脉超声显示双侧股动脉多发斑块。双侧锁骨下动脉超声未见明显异常。双侧颈动脉超声显示颈动脉内中膜增厚、斑块形成。双下肢深静脉超声显示双下肢深静脉未见血栓。主动脉+腹主动脉+髂动脉CTA:主动脉、髂动脉粥样硬化,主动脉瓣钙化。冠脉造影显示RCA中重度狭窄,于RCA植入支架2枚。
患者三手术过程
在放射科,超声科和麻醉科的通力协作下,顺利完成了术前准备,术者团队在术中谨慎建立轨道,根据主动脉根部造影的结果选择合适的跨瓣体位。
耿某某
主动脉根部造影
球囊预扩
瓣膜定位
瓣膜释放过程
球囊后扩
患者三术后超声评估
患者三专家点评
患者耿某,高龄男性患者,周三进行冠脉手术,周五择期进行TAVR。患者听力条件差,在进行术前CT扫描时图像质量不佳,综合患者肾功能条件考虑,采取全麻并在术中进行食道超声,对术者团队水平要求高。整场手术刘巍主任团队配合默契,技术精湛,在术中进行了准确评估,瓣膜型号选择及释放角度的判断极为精准。患者术后恢复佳。
专家简介
刘巍
北京积水潭医院
北京积水潭医院心内科主任 ,医学博士,1996年毕业于白求恩医科大学临床专业,并先后赴新加坡国立大学Tan Tock Seng医院,日本东邦大学大森医院心血管介入中心,美国休斯顿德州医学中心Methodist医院Debacky心血管中心及德州大学医学部交流访问积累了丰富的心血管疾病诊疗经验。擅长冠心病诊治、心脏介入治疗和主动脉疾病的介入治疗。特别在主动脉疾病的诊断及介入治疗方面具有丰富的临床经验,帮扶国内十余家医院实施介入工作。担任中国医疗及保健协会对外促进会医疗质量控制会委员兼秘书长,中国老年保健协会心血管分会委员,中国医促会胸痛分会常务委员, 北京生理科学学会血管分会副主任委员。担任中西医结合心血管病杂志副主编,中国医药杂志社英文编辑等社会职务。
