精益求精!2022年4月16日,世界首例TAVR(经导管主动脉瓣置换术)20 周年纪念日,咸阳市中心医院心血管中心团队应用TaurusElite经导管主动脉瓣置换系统成功完成首例TAVR手术。此次接受手术的患者,因长期重度主动脉瓣狭窄,经常胸闷气短,反复晕厥,严重影响正常生活,慕名到咸阳市中心医院就诊。心血管中心对患者进行了缜密的影像学评估及多学科术前讨论,制定了详尽的手术策略,术中多科室紧密协作,术后即刻造影及超声提示未见瓣周漏,瓣膜植入位置理想、形态良好,手术圆满成功。
患者基本信息:
患者男性,71岁,主诉反复晕厥、胸闷气短3年,加重1周。3年前无明显诱因出现晕厥、胸闷、气短,呈阵发性发作,持续时间不详。查冠脉造影未见重度狭窄,予以药物治疗。3年前患者上述症状反复发作,1周前患者间断胸闷、气短较前加重呈阵发性发作,伴大汗,平卧位加重,自服“尼可地尔及速效救心丸”后逐渐缓解,今日为求进一步诊治,遂来我院。既往有慢性糜烂性胃炎病史4年,有高血压病数年,未规律服药,有阵发性心房颤动病史3年。
术前CT评估:
主动脉根部总览
中度钙化,主要分布于R-N交界处,无窦、右窦内少量钙化结节分布
主动脉根部测量:
三叶式主动脉瓣,瓣叶增厚,R-N疑似钙化粘连,LVOT近似直筒型,非横位心。
冠脉测量:
冠脉开口高度可,切线角度测量,左窦瓣叶长于左冠开口下缘。
主动脉弓测量:
主动脉弓部宽度、角度可。
术前3D模型评估:
术前3D打印评估左冠风险,23mm球囊充盈状态下左冠仍有空间。
外周入路:
术前讨论:
•三叶式主动脉瓣,瓣叶增厚,R-N之间疑似钙化粘连,中度钙化,钙化分布不均匀,主要分布于R-N交界处,无窦、右窦内另有少量钙化结节分布;LVOT近似直筒型。
•左、右冠脉开口高度可,切线角度测量,左冠瓣叶略长于左冠开口下缘;左冠状动脉连续环形钙化附壁。
•瓦氏窦、STJ内径可,升主动脉无明显扩张。
•瓣环水平夹角约52°,非横位心 ,主动脉弓宽度、角度尚可,弓顶部有明显附壁钙化。
•双侧股-腹主动脉走形适宜,内径可,腹主-髂总动脉大量斑块钙化分布。
手术策略:
•推荐右侧股动脉为主入路,左侧为辅助入路。
•预装AV29瓣膜,建议瓣环下零位左右定位释放。
术中操作:
手术影像:
左冠造影灌注良好
右冠造影灌注良好
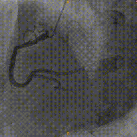
主动脉根部造影
瓣膜零位定位释放
工作位造影
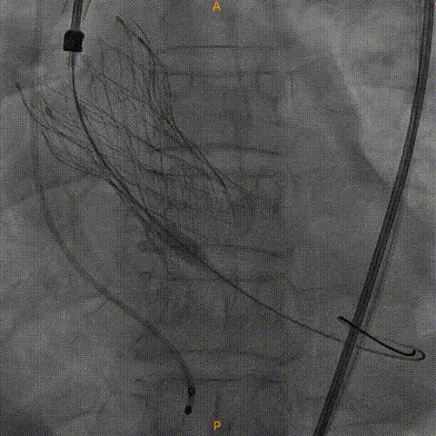
瓣膜完全释放
瓣膜膨胀不良进行球囊后扩
造影显示有瓣周漏
植入瓣中瓣
瓣中瓣形态良好,无反流
术后超声:
术者寄语:
2022年4月16日,恰逢世界首例TAVR(经导管主动脉瓣置换术)20周年纪念日当天,咸阳市中心医院成功完成院内首例TAVR、市内首例TAVR瓣中瓣术。实属不易!是机缘巧合,也是冥冥之中!
看到患者出院时的笑容和谢意,我们无比自豪,因为我们又前进了一大步。
一台手术,就是一回考验!
一台手术,就是一场战争!
一台手术,也是一次修行!
实现中国梦,共筑2030健康中国长城,紧跟心血管事业的发展,是我们坚定不移的追求!
感谢一切遇见!
樊川民主任表示:此次手术的圆满成功离不开兄弟科室的密切协作,在此感谢刘杲、樊维娜副主任的鼎力配合,超声崔蕾主任、麻醉周雷鸣医生的通力合作,最后特别鸣谢王阿利主任,许岭平、左红、秦黎明主任的保驾护航,马华总护长、李尔清护士长专业的围术期支持。
专家简介
樊川民
咸阳市中心医院
咸阳市中心医院心血管中心主任;中国医药生物技术协会心电学技术分会会员;中国妇女发展基金会女性“双心”健康公益项目专家;国家心力衰竭医联体陕西省执行委员会委员;陕西省医师协会心力衰竭专业委员会第一届委员会委员;陕西省心血管专科联盟第一届理事会理事;陕西省房颤中心联盟第一届理事会理事;陕西省医学会第七届心血管委员会冠心病与介入学组委员;西安市医学会第二届结构性心脏病学分会委员;咸阳市学会第一届介入专业委员会常委;咸阳市医学会第二届心血 管内科专业委员副主任委员;咸阳市脑心同治学会第一届常务理事;咸阳市“跨世纪三五”人才;咸阳市医疗事故鉴定委员会专家库成员;咸阳市干部保健组专家。
