中南大学湘雅二医院周胜华教授团队应用DragonFly成功完成经导管二尖瓣缘对缘修复治疗(FMR)手术

2022年4月14日,中南大学湘雅二医院周胜华教授团队方臻飞教授、胡信群教授应用由德晋医疗科技有限公司研发的经导管二尖瓣瓣膜夹系统(DragonFly)成功完成医院首例注册性临床研究治疗扩张型心肌病功能性二尖瓣反流(FMR)经股静脉二尖瓣缘对缘修复手术。今年1月,应用DragonFly治疗中重度或重度器质性二尖瓣反流(DMR)的临床研究已取得完美收官,此次针对功能性二尖瓣反流(FMR)的临床研究再次标志着中国第一款完全自主研发的经股静脉二尖瓣缘对缘修复产品在我国二尖瓣介入治疗领域取得重大突破。

图片

患者为47岁男性患者,受活动后胸闷气短困扰七年余,诊断为扩张型心肌病、心脏扩大、二尖瓣反流(重度),优化药物治疗后仍反复活动后气促,术前经胸超声心电图检查提示二尖瓣中重度反流,左室舒张末径66mm,左室收缩末径56mm,左室射血分数35%,缩流颈宽度0.65cm, 有效反流口面积0.49cm²,二尖瓣瓣口面积4.81cm²,心功能不全表现严重。

手术在患者全麻状态下进行,经股静脉入路,穿刺房间隔后在经食道超声和DSA引导下将瓣膜夹器械输送到左心室,采取单独捕捉策略,先后钳夹二尖瓣前叶和后叶并关闭瓣膜夹,经食道超声反复确认手术效果后,最终释放0609型瓣膜夹,患者术后平均跨瓣压差3mmHg,患者即刻二尖瓣轻度反流,术后第二天自觉临床症状改善明显。

图片

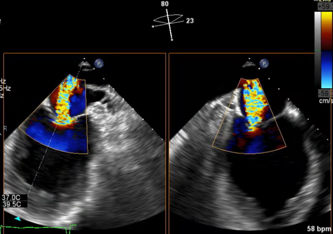
术前心超

图片

术后心超

手术由湘雅二医院周胜华教授团队独立完成,团队核心成员方臻飞教授、胡信群教授带领超声医师等共同参与,在麻醉科李志坚教授、李辉教授的配合下高效完成手术。

目前DragonFly的临床应用案例结果证明,经股静脉房间隔路径的介入下二尖瓣缘对缘修复术具有非常广泛的临床适应证 ,不仅可用于修复难度较高的1区和3区脱垂的器质性二尖瓣反流(DMR)患者,还可用于治疗病变类型复杂、合并症多的功能性二尖瓣反流(FMR)患者,手术时间短,患者创伤小、恢复快。

DragonFly是由德晋医疗科技有限公司研发的经导管经股静脉二尖瓣瓣膜夹系统,其产品具有设计精密,型号齐全,独特的单独瓣叶抓捕功能、弹性中心封堵网及灵活可调式机械开合锁定设计,使得该系列瓣膜夹操作精细、稳定、病变处理效果好、安全性高,前期应用已显示出优秀的临床效果,未来必将造福国内广大的二尖瓣反流患者。湘雅二医院周胜华教授带领的心脏瓣膜团队自2015年成立以来一直致力于推动瓣膜介入诊疗新技术的开展,尤其注重国产原创器械的推广,此前团队已为15名重度二尖瓣反流患者实施该手术,是国内几家能够独立完成该手术的中心之一。



阅读数: 547