近期,温州医科大学附属第一医院心脏外科顺利完成由北京安贞医院牵头,联合国内多家知名心脏中心实施的佰仁医疗Renatus®球扩式介入主动脉瓣临床试验入组及手术任务。温州医科大学附属第一医院心脏外科作为浙南地区最早开展TAVI手术,并拥有最大手术量的科室,成为浙南唯一授权使用该介入瓣膜的单位。此次也交了一份满分答卷。所有7例接受该微创球扩瓣膜植入的患者,手术效果满意,无一例并发症,均无明显瓣周漏,无需术后安装起搏器。意味着温州医科大学附属第一医院心脏外科从2018年率先开展经导管主动脉瓣置换术(TAVR/TAVI)以来,又迈入一个新的台阶。
心脏是循环系统的中枢,像一个水泵一样,推动全身的血液循环。而主动脉瓣是这个“水泵”出口的阀门,一旦出现狭窄,会导致血液难以从心脏内泵出,会加重心脏负担并影响心脏的供血能力。随着狭窄的加重,会出现胸闷、晕厥等症状,甚至危及生命。主动脉瓣重度狭窄的患者出现症状后若不接受治疗,2年生存率只有50%,5年生存率仅20%。手术治疗是该疾病的唯一有效治疗方案。
开胸主动脉瓣置换术是治疗主动脉瓣重度狭窄的标准方案,但一些高龄、存在严重合并症的患者可能无法耐受手术,故经导管主动脉瓣置换术(TAVR/TAVI)应运而生。
TAVI是将人工生物瓣膜通过介入导管输送到心脏主动脉瓣区打开,完成人工瓣膜的植入,恢复瓣膜功能的一种技术,具有创伤小、术后恢复快等优点。
近日温州医科大学附属第一医院心脏外科连续完成了7例佰仁球扩TAVI瓣膜手术,术中心超及随访复查结果都非常满意,没有一例并发症,完美解决了患者瓣膜狭窄的问题。
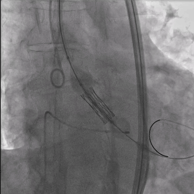
如下图所示,取得了极其满意的效果。
现在TAVI技术发展迅速,因其创伤小,不用体外循环等因素,适用于年龄大,基础情况差,难以耐受传统手术的患者。温州医科大学附属第一医院心脏外科作为浙南地区最早开展TAVI手术的科室,近两年完成了二十余例TAVI手术,TAVI手术量为浙南首位,手术效果满意,无一例严重并发症。

瓣膜释放
瓣膜释放后造影
TAVI手术为什么没有像常规手术那样大量的开展?因为目前TAVI手术也有缺点,比如费用高,耐久性较传统瓣膜差,不适用于较年轻、能接受传统手术的患者。温州医科大学附属第一医院心脏外科年体外循环手术量600余例,其中瓣膜手术323例,近一半瓣膜手术采用胸腔镜微创的方式进行。温州医科大学附属第一医院心脏外科掌握了心脏瓣膜手术的全部手术方式,所以可以根据患者情况,量身定制最适合的手术方式,严格把握手术指征,以患者长期疗效为重,避免过度医疗。同时,温州医科大学附属第一医院心脏外科与北京阜外医院、上海中山医院心脏外科保持了长期的紧密联系,与全国最顶级的专家随时进行疑难患者的病例讨论,制定最优的治疗方案。因此,温州医科大学附属第一医院心脏外科的TAVI患者并发症发生率极低,无严重并发症及死亡,手术效果佳。
现在最新型的球扩TAVI瓣膜在温州医科大学附属第一医院心脏外科成功顺利开展,取得满意的效果,拥有更好的手术效果及更低的风险,为主动脉瓣重度狭窄的患者带来福音。
专家简介
王珏
温州医科大学附属第一医院
科副主任(主持)、主任医师、副教授。
毕业于北京协和医学院阜外医院,博士学历及学位,心脏外科副主任(主持工作),获得中国卫生部先天性心脏病介入操作资格,能够对心脏病患者进行手术和介入治疗,曾在澳大利亚及美国进修心胸外科学。
年心脏手术例数300多台,使主动脉夹层手术死亡率从15%下降到6%,常规开展各类瓣膜手术,冠心病手术,在温州率先开展胸腔镜下微创心脏手术及介入下心脏外科微创手术,开展浙江省第一例介入二尖瓣瓣中瓣手术,独立开展温州市第一例介入下主动脉瓣植入手术,连续开展20余例TAVR手术,均获成功。2017-2020年连续4届先进科主任;获2018及2019年度院级优秀住院医师规范化培训导师;获2020年中国青年医师微创瓣膜手术大赛三等奖,获2020年温州市抗击新冠肺炎疫情先进个人称号,参与获得2019年度浙江省科技进步一等奖。第一作者发表SCI文章8篇,总影响因子22分,参与及主持国家自然基金项目5项,主持国家自然基金面上项目一项,主持省自然基金项目一项,参与国家级重点项目7项。
现任浙江省医学会心胸外科分会常委,浙江省医生协会心血管外科分会副会长,温州市医学会心胸外科分会副主委,国家心血管病专家委员会血管外科专业委员会委员,浙江医学会移植分会委员,中华医学会移植分会委员,中华医学会组织修复与再生分会委员,中国医药教育协会心脏外科分会委员。
