新疆维吾尔自治区人民医院心内科起搏电生理团队成功为一位年轻的限制性心肌病患者进行了SICD联合房颤一站式治疗。
患者基本情况
患者女性,31岁,2021年3月29日因“间断胸闷、心悸、气短六年,加重五天”入院。患者2017年2月因上述症状就诊于北京协和医院,明确诊断为:1)限制性心肌病,慢性心功能不全,心功能Ⅲ级,阵发性房颤;2)左心耳血栓形成,予以口服“华法林钠片,诺欣妥片,呋塞米片,螺内酯片,酒石酸美托洛尔片”等药物治疗后出院。2019年10月再次因胸闷、气短不适加重就诊于我院,住院期间突发意识丧失,当时心电图监护显示心室颤动,予以电除颤、心肺复苏后患者意识恢复,药物治疗病情稳定后出院。出院后长期服用“利伐沙班片,诺欣妥片、盐酸胺碘酮片、螺内酯片”等药物治疗,病情仍有反复,此次因再次出现上述症状入院。家族史:其母亲明确诊断限制性心肌病,50岁因房颤合并急性脑梗死逝世。
辅助检查
入院心电图检查:不纯心房扑动,ST-T改变
实验室检查:BNP :2380 pg/ml,其余检查均未见异常
超声评估
超声心动图显示:患者左房大,室间隔增厚,二尖瓣轻中度反流,左室舒张功能障碍。左房内径51mm,LVDd=40mm,LVDs=21mm,LVEF=45%
房颤患者卒中及长期抗凝出血评分
根据2019年中国心源性卒中防治指南,该患者存在左室功能障碍(C=1分),女性(S=1分),既往血栓史(S=2)房颤CHA2DS2-VAsc卒中评分为4分;患者INR值波动(L=1分),服用抗凝药物(D=1分),HAS-BLED 出血评分为2分。
治疗策略
入院诊断:
1) 慢性心力衰竭加重,心功能Ⅳ级,限制性心肌病;
2)阵发性房颤(EHRA 2B),阵发性心房扑动;
3) 心室颤动(电除颤术后 个人史)
心内科主任李国庆教授、副主任姚娟教授根据患者的基础疾病、心脏彩超等临床资料综合评估,分析如下:
患者限制性心肌病诊断明确,已出现心律失常、循环衰竭表现,在药物治疗基础上仍频发室早,且有明确室颤发作史,符合心脏性猝死二级预防,ICD治疗的I类适应证。
患者合并有症状的阵发性房颤,药物治疗无效,符合导管消融适应证(I 类)
房颤CHA2DS2-VAsc评分为“4分”,HAS-BLED 出血评分“2分”,且患者不愿意长期口服抗凝药物。符合左心耳封堵适应证。
与患者及家属的充分沟通后,考虑到患者为年仅31岁的年轻女性,对未来生活质量的需求,姚娟主任为患者定制了个性化的治疗方案,将治疗分为两个阶段:
第一阶段:全皮下心脏复律除颤器(S-ICD)植入术
患者年轻,且没有起搏和CRT治疗适应证,S-ICD导线不经过静脉血管,不仅为患者保留了静脉通路,为后续治疗提供更多的可能,同时也兼顾了患者对上胸部的美观要求,其植入位置也不影响患者的活动。
第二阶段:房颤射频消融+左心耳封堵一站式手术
一站式手术,不仅减轻房颤症状,改善心功能,同时预防卒中,还避免了长期口服抗凝药的出血风险,也解决了患者不愿意长期口服抗凝药的问题。
第一阶段手术
手术在全麻下进行,采用两切口植入技术。在经过X光片正位和左侧位确认后,标记能够获得最大心室除颤面积的导线和机壳所在位置并且划线,囊袋切口和剑突旁切口以及隧道,于囊袋切口切开皮肤6-7cm,逐层分离皮下组织至深筋膜层,制作前锯肌和背阔肌之间的肌间囊袋,保证足够的空间容纳装置并且装置位于肌间。按照标记的剑突旁切口切开皮肤3-4cm分离至筋膜层,通过皮下隧道导引针制作剑突至囊袋隧道,撤除导引针保留鞘管,将皮下除颤电极从鞘管穿出到剑突切口,撤除鞘管固定电极;再用另一个隧道针沿着既定路线制作胸骨上隧道,撤出隧道针,将皮下电极送入保留的鞘管,最后撕除鞘管。对所有伤口区进行有效止血,同时通过冲洗清洁所有切口,通过按摩将隧道内空气排出,避免因为空气残留导致的误放电。随后连接装置,置入囊袋内,逐层缝合皮下组织和皮肤,术区纱布覆盖,包扎,弹力绷带加压包扎止血。
术中行DFT测试, 65J一次除颤成功。
第二阶段手术
术前左房肺静脉+左心耳CT成像
经食道心脏超声左心耳多角度测量
房颤导管消融术
左心耳封堵术
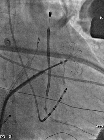
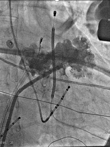
患者术前心电监护示房颤心律,穿刺左侧股静脉1次,经6F静脉鞘送“电生理电极导管(四极)”至右室心尖部行右心导管检查,穿刺右侧颈内静脉一次,置入6F静脉鞘,沿鞘送“电生理诊断导管(十极)”至CS,穿刺右侧股静脉2次,分别置8.5F房间隔穿刺鞘,分别使用“一次性使用房间隔穿刺针”成功穿刺房间隔成功后将房间隔穿刺鞘置入左房,分别置入“星型磁电双定位标测导管”和“诊断/消融可调弯头端导管”。Carto3 三维标测系统指导下构建左房三维电解剖图。然后按以下步骤消融:在离右侧肺静脉口0.5cm处对右侧肺静脉进行环形消融,放电设置(50瓦,冷盐水流速30ml/min),各点时间10s左右,星型磁电双定位标测导管检测,肺静脉与心房达到双向电隔离为准;同样方法对左侧肺静脉进行环形消融,星型磁电双定位标测导管检测,肺静脉与心房达到双向电隔离为准。消融后给予200J同步电复律,患者转复为窦性心律。将其中一个8.5F房间隔穿刺鞘置换为心脏超声导管至左心房,将8.5F房间隔穿刺鞘置换为封堵器专用长鞘后将猪尾导管置入左房,调整至左心耳内,行左心耳造影,测量左心耳口部最大直径35mm,左房内无血栓,DSA指导下选用左心耳封堵器LAmbre3640,置入长鞘内,在左心耳内释放成功,造影检查提示封堵器位置良好,植入器械位置正确。造影检查提示未见明显分流,经心腔内超声可见植入器械位置正常,释放封堵器。结束手术,拔除电极及鞘管,局部加压止血,安返病房,术中生命体征平稳。
讨论
限制型心肌病是心肌间质纤维增生所致心肌僵硬度升高,导致限制性舒张功能障碍,以单侧或双侧心室充盈受限和舒张容量减少,最终导致心力衰竭的心肌病。虽然限制型心肌病的发病率较低,约占心肌疾病的4.5%,但其预后较差,且常难以与缩窄性心包炎鉴别,从而影响治疗方案及对预后的判断。
目前临床诊断限制性心肌病主要根据病史询问、体格检查及辅助检查,包括血液检查、心电图、X 线胸片、 超声心动图、核磁共振成像、心肌活检、心导管检查等方法。目前大量文献提示基因突变为特发性限制型心肌病主要病因。
在所有类型心肌病中,限制性心肌病预后最差,50%的患者在确诊后2年左右死亡。Matsumori等报道,限制性心肌病年死亡率约为10%,其中1/3死因为猝死或心律失常。
目前为止,限制性心肌病的治疗方法主要为对症治疗,包括药物治疗、手术治疗,目的是改善心功能。目前限制性心肌病病因研究也是研究重点之一,考虑到基因突变为主要病因,基因治疗或将成为根治限制性心肌病的新方向。因限制性心肌病可致循环衰竭及心律失常等表现,对于有明显心肌缺血及晕厥的患者,可考虑置入埋藏式心脏复律除颤器,对猝死高危患者有利。
本病例患者为年轻女性,结合患者临床表现及心脏彩超、心电图、基因检测结果明确诊断为限制性心肌病,同时患者合并心律失常-阵发性心房颤动、心房扑动、心室颤动,由于患者基础疾病及室颤病史考虑患者有植入ICD适应症,但患者年龄较轻,对植入心腔内ICD难以接受因此给予植入SICD。术后经胺碘酮、利伐沙班等药物对症治疗后患者仍反复发作心房颤动,房颤发作时患者出现心功能明显下降,导致患者生活质量显著降低,同时由于既往左心耳血栓形成病史及其母因心房颤动-脑梗死病故等情况,患者强烈要求行房颤射频消融术+左心耳封堵术。经与患者及家属反复沟通后为患者行房颤射频消融+左心耳封堵一站式手术。术后给予小剂量胺碘酮维持窦性心律、抗凝治疗3个月后随访患者无心房颤动/扑动发作、经食道心脏彩超提示封堵器周围未见血栓、无残余分流,抗凝药物调整为阿司匹林+氯吡格雷片双抗血小板治疗,术后6个月随访患者无房颤/房扑发作,封堵器未见分流及血栓,药物治疗方案调整为小剂量胺碘酮及氯吡格雷单抗血小板治疗。
目前限制型心肌病合并心房颤动时常规应用洋地黄制剂改善心室充盈;有附壁血栓和(或)已发生血栓栓塞者应加用抗凝及抗血小板药物。尚未见到限制性心肌病合并心房颤动患者行射频消融+左心耳封堵治疗的相关报道。该患者接受房颤射频消融+左心耳封堵治疗后近半年随访过程中未再发房颤,左心耳封堵器封堵效果良好,有效预防左心耳血栓导致脑栓塞风险。为限制性心肌病合并心房颤动患者的治疗提供新的思路和方案。
科室介绍
新疆维吾尔自治区人民医院心血管内科是自治区范围内规模最大、技术水平领先的心脏内科。我院心内科在2014年成为全疆首批通过国家认证的胸痛中心,2017年又被评为国家级胸痛中心示范单位,对胸痛诊断及治疗已建立了一套完整流程。从2017年1月开始,应用FMC理念,最大程度缩短急性心梗患者救治时间。建立了胸痛中心联盟单位微信群,对吐鲁番、吉木萨尔、阜康、达坂城等地区协作单位及兄弟医院急需转院行急诊介入治疗的患者实行绕行方案,配备7组急诊医护人员轮班全天候接诊,确保急性心梗绿色通道畅通无阻,最大程度缩短急性心肌梗死患者诊疗时间。
心内科致力于疑、难、危、重、杂患者的诊治,在冠心病介入治疗领域,于疆内率先开展了IVUS指导下的冠脉介入诊疗术、经桡动脉急诊PCI、左主干、分叉病变及闭塞病变介入术、冠状动脉漏封堵术、冠脉旋磨技术、FFR、逆向介入治疗技术、逆向溶栓技术。2016年,成功开展TAVR手术及室壁瘤降落伞技术。目前普遍应用IABP辅助高危PCI手术,可独立开展ECMO辅助下极高危PCI,在国内处于领先水平。拥有疆内领先的冠心病重症监护病房,配有中心监护、血气分析、多功能呼吸治疗机、PICCO、床旁血透等先进设备和专业技能高超的医护人员,为心脏急危重症患者的救治提供坚强后盾。
多年来,心内科在电生理领域开展各类复杂性心律失常射频消融手术。2005年在西北地区率先开展环肺静脉左心房线性消融,在疆内率先采用图像整合技术进行房颤导管消融。在CARTO辅助下成功实施多例室性早搏、室性心动过速、房颤射频消融手术。成功安置多例CRT、CRT-D。在全国首例完成ECMO支持下的重症心衰患者CRT左室电极心外膜植入术。拥有ICD胸腔镜放置心外膜电极等疆内领先的治疗技术。
2017年来开展多个新技术、新业务,近两年内开展的工作有提高AMI救治成功率,缩短救治时间、预防性植入主动脉球囊反搏泵(IABP)、连续血流动力学监测PICCO、低温治疗、心肺功能运动试验;即将开展冠脉激光治疗、室壁瘤折叠术,将胸痛中心、房颤中心、心衰中心各个环节进一步完善,互相衔接、为患者提供一条龙服务 。
心内科为全疆培养了大量医、技、护人才。是国家级临床重点专科和全国优质护理服务示范病房,2008年成为国家介入诊疗基地,2012年被卫生部授予心律失常介入以及冠心病介入培训基地,2017年被评为心血管病专科护理及专科护士技术培训基地。2018年先后顺利通过国家级房颤中心和心衰中心评审。
专家简介
李国庆
新疆维吾尔自治区人民医院
新疆维吾尔自治区人民医院心内科主任,主任医师,教授;石河子大学与新疆医科大学硕/博士研究生导师;现任中华医学会心血管病学分会委员会委员;中华医学会心血管病分会第十一届委员会心血管急重症学组副组长;海峡两岸医药卫生交流协会委员会常务委员;中国医师协会心血管内科医师分会委员会委员哈斯克斯坦国家科学中心心血管病特聘专家;中国医师协会委员会委员;新疆胸痛联盟副主任委员;新疆绿色电生理联盟委员会名誉主任委员;自治区科技进步奖7项;承担自治区自然科学基金项目2项;院内自然科学基金项目1项,获发明专利2项;荣获“全国省级综合性医院优秀医生”称号。
姚娟
新疆维吾尔自治区人民医院
新疆自治区人民医院心内科副主任,房颤中心主任,医学博士,主任医师,教授,硕士研究生导师;全国心律失常介入诊疗培训基地导师;中国医师协会心律失常治疗规范和新技术培训项目导师;中华医学会心血管分会心律失常学组委员;中国医师协会心律学会中青年专家委员会委员;中华医学会心电生理和起搏分会女医师联盟委员;中国老年保健医学研究会心脏学会西部左心耳封堵联盟委员;新疆医学会心电生理和起搏学会委员;新疆绿色电生理联盟主席;新疆房颤中心联盟常委;新疆卒中学会理事;新疆医学会医疗事故技术鉴定专家库专家;长期从事心血管病临床医疗、科研工作,擅长各类起搏器安置、快速心律失常射频消融、先天性心脏病介入封堵等心血管病介入性诊断治疗作为主持人承担国家自然科学基金项目1项、自治区自然科学基金项目2项,并参于多项自治区、院级科研课题的研究工作。多次荣获自治区级院级科技进步奖先后在国内外学术核心期刊上发表论文30余篇。

