第23届南方国际心血管病学术会议飞利浦线上专场,飞心视界——腔内影像及新技术分享会将邀请资深心血管专家,对血管内超声及其他冠脉介入新技术进行深入探讨,我们诚挚邀请您一起参与此次盛会。
飞利浦IVUS病例大赛将于4月15日(周五)下午正式开启!各大医院的选手摩拳擦掌,精心准备了各种优秀病例。今天,我们依旧会对其中两个病例基本情况进行介绍,让我们一起来看看病例的基本情况吧!
张曈教授:
病例1:IVUS指导下的精准治疗一例
张曈
广东省中医院二沙分院
心衰中心主治医师,现任广东针灸学会针灸治未病专委会委员、广东省中医药学会五运六气专业委员会委员。擅长中西医结合诊治冠心病、心衰、高血压、心律失常等心血管系统常见疾病,同时善用中药内科杂病。近年来主持、参与了国家级、省部级、厅局级等科研项目共4项,发表学术论文共7篇,主编(副主编)专著8本。
患者:女,62岁;
病情简介:胸痛6小时;
既往史:高血压20年;
个人史:否认烟酒史;
查体:BP:123/61mmHg,hp 63bpm;
ECG:下壁导联ST-T段抬高;
cTnT:10.21μg/L;
NT-proBNP:303ng/L。
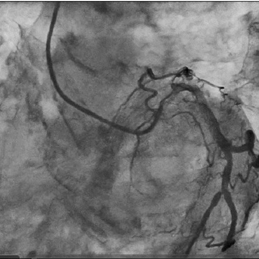
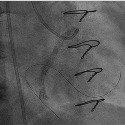
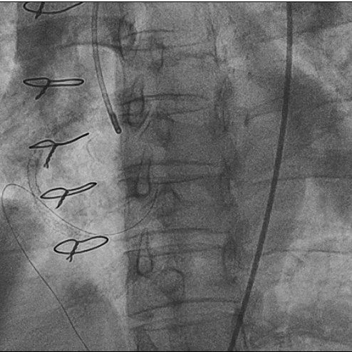
造影图:
LM呈鸟嘴样狭窄,
LAD为迂曲弥漫性病变,中段最重处狭窄80%,曾搭桥已闭塞。RCA曾植入支架,中段支架内反复再狭窄。
如若手术的是各位专家,那么会先处理哪条血管?又会采取什么样的手术策略呢?
童素霞教授:
病例2:IVUS指导下的急性心梗治疗一例
童素霞
乐山市人民医院
心血管内科主治医师。2006年6月毕业于泸州医学院临床医学专业,大学本科学历、学士学位。2006年9月参加工作。擅长心血管常见疾病如冠脉介入,高血压病,心力衰竭的诊治,起搏器置入及随访等。参与乐山市人民医院胸痛中心的建设工作,先后到北京阜外,北大一医院,台湾荣总等医院参观学习。2021年上半年到西安交大附一院进修冠脉介入。
初步诊断:
冠状动脉粥样硬化性心脏病;
急性非ST段抬高型心肌梗死;
窦性心律;
I级心功;
高血压病2级 很高危;
慢性阻塞性肺疾病急性加重期。
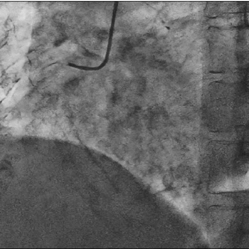
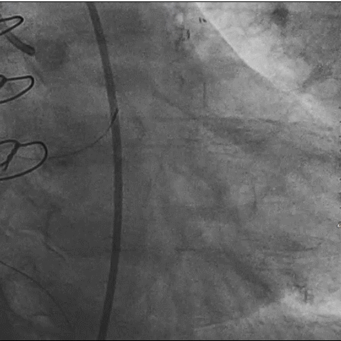
造影:
看了以上两例病例的简介,各位老师和同仁会考虑怎么处理呢?4月15日下午14:30开始的IVUS病例大赛中,将分享这两例病例的处理办法,同时还会有PCI最新技术的分享,敬请期待!
会议日程

