第23届南方国际心血管病学术会议飞利浦线上专场,飞心视界——腔内影像及新技术分享会将邀请资深心血管专家,对血管内超声及其他冠脉介入新技术进行深入探讨,我们诚挚邀请您一起参与此次盛会。
飞利浦IVUS病例大赛将于4月15日下午正式开启!各大医院的选手摩拳擦掌,精心准备了各种优秀病例。今天,我们将会对其中两个病例基本情况进行介绍,让我们一起来看看病例的基本情况吧!
刘益州教授:
病例1:IVUS指导ACS患者RCA开口夹层一例
刘益州
南华大学附属南华医院
南华大学附属南华医院心血管内科主治医师、硕士研究生、南华大学附属南华医院心内科总住院、南华大学附属南华医院胸痛中心秘书。
擅长血管内科急危症的诊断及治疗,在急性心肌梗塞、心绞痛等冠脉介入治疗方向有较丰富的经验,先后发表SCI论文2篇,中文期刊论文2篇。
患者基本信息:
患者:男,65岁
主诉:胸闷、胸痛、气促1+月。
病情简介:8年前因“胸痛3天”在我院诊断“急性下壁心肌梗死”,当时拒绝手术治疗,本次因胸痛再次住院。
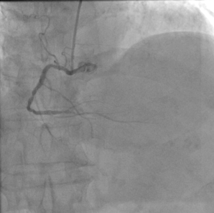
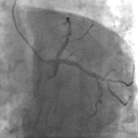
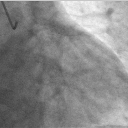
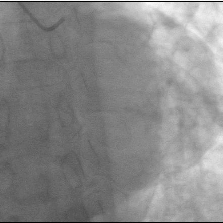
造影图:

造影显示提示前降支严重狭窄、回旋支次全闭塞、右冠慢性闭塞。
先后分期完成右冠及左冠PCI手术,但右冠CTO病变PCI手术术中出现开口夹层,一直撕裂至后三叉,且导丝位于假腔内。
该病例将如何指引导丝回到真腔?又如何完成血运重建?
林峰教授:
病例2:IVUS联合FFR指导下LAD钙化病变处理一例
林峰
深圳市人民医院
深圳市人民医院心内科副主任医师,2015年博士毕业于南方医科大学,擅长冠脉介入、心血管重症等。2021年于广东省人民医院进修冠脉介入,主持市级课题一项,参与多项国家级、省市级课题。发表SCI论文3篇,中文期刊3篇,现任广东省医师协会心力衰竭分会委员、深圳市医学会心血管分会委员等。
主诉:间断胸闷10年余,加重半月。
既往史:高血压20年。
个人史:否认烟酒史。
冠心病;
不稳定型心绞痛;
心功能I级;
高血压病3级 很高危组。
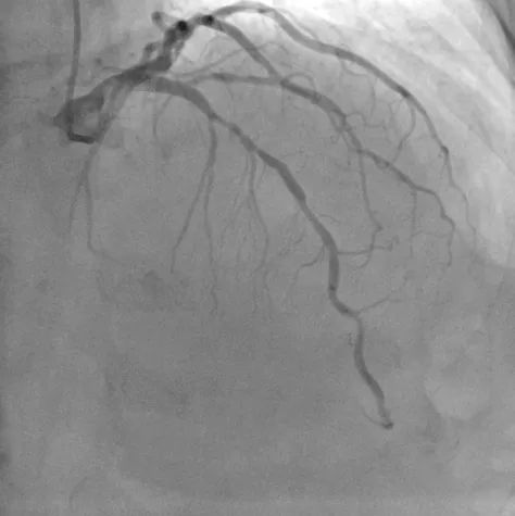
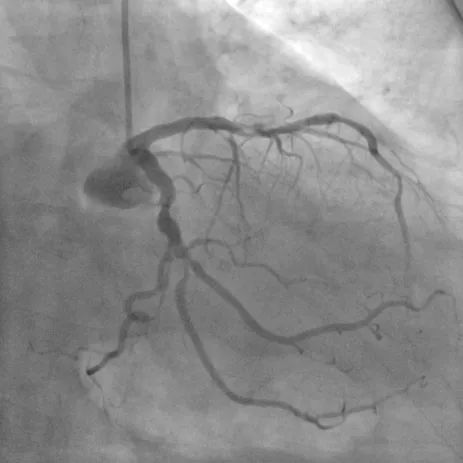
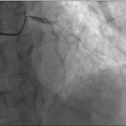
造影:
造影可见,LAD中段狭窄90%,伴有弥漫钙化影,LCX中段次全闭塞,RCA中段60%狭窄,决定先行处理左冠。面对钙化弥漫病变,该病例又将采取什么样的手术方案呢?
4月15日下午14:30开始的IVUS病例大赛中,将分享这两例病例的处理办法,同时还会有PCI最新技术的分享,敬请期待!
会议日程

