随心“耳”动,顺势“耳”为|V-Clip®左心耳闭合系统由安贞医院心外科张海波教授团队完成国内首例临床入组

2022年3月25日,由华中科技大学同济医学院附属协和医院董念国教授和首都医科大学附属北京安贞医院张海波教授共同牵头,北京领健医疗科技有限公司申办的V-Clip®经心外膜左心耳闭合系统前瞻性、多中心上市前临床研究正式启动。北京安贞医院心外科瓣膜中心于当日完成首例受试者入组,患者目前已顺利恢复出院。

图片

患者信息:

患者为69岁女性,术前诊断为二尖瓣脱垂关闭不全、三尖瓣关闭不全合并持续性房颤、冠心病;

术前影像学评估:

双房增大,余心腔内径正常范围;

左心:51*64*55mm,右心:43*58mm

左心射血分数:60%

手术规划:

术前,瓣膜中心王坚刚主任、王盛宇主任、郑帅医师、张帆医师等,与麻醉科马俊主任、卢家凯主任,超声科张纯主任、吴山主任,体外循环黑飞龙主任、杨景主任等多次讨论制定严密的手术治疗策略,计划进行二尖瓣成形、三尖瓣成形、房颤双极射频消融、冠脉搭桥等多项联合手术治疗,患者需要经体外循环心脏停跳手术。

为降低患者术后短、长期的卒中风险,经反复评估和研讨,主刀医师张海波教授决定对患者实施经心外膜左心耳闭合术。使用器械为单端开口、非剪线脱载的V-Clip®新型左心耳闭合系统。

手术过程:

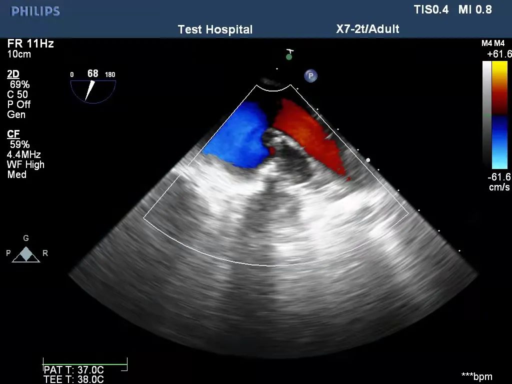
图片
术前TEE评估左心耳
图片
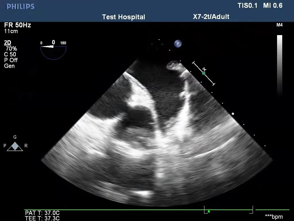
术中闭合左心耳
图片
术后TEE评估左心耳闭合效果

整个手术过程进展顺利。其中,左心耳闭合相关操作仅几分钟就成功完成。

术后评估:

术后食道超声和出院前超声复查二尖瓣成形、三尖瓣成形、冠脉搭桥效果非常满意,患者术后六天顺利出院。

左心耳闭合后经TEE(经食道超声)和出院前的超声评估,左心耳根部未见明显残余(残余<1cm)、闭合夹无移位,左心耳与左心房间无血流(CDFI:未见血流交通)通过,完全符合左心耳外科闭合的国际专家共识,V-Clip®首例入组圆满成功。

行业背景:

左心耳是心房颤动异位激动和左心房血栓的重要来源,隔绝左心耳有助于减少脑卒中发生和血栓形成。2021年,《新英格兰医学杂志》发表的全球27个国家105家中心的随机临床研究显示,在平均3.8年的随访期中,有房颤病史和卒中风险的患者,在接受心脏手术的同时隔绝左心耳,缺血性卒中或全身性栓塞的风险降低了33%。这表明左心耳闭合是房颤治疗中必须的“规定动作”。这在此次外科手术中已经充分体现,对于患者因各种原因房颤治疗不能实施时,单纯闭合左心耳也是降低脑卒中的重要措施。从事件/时间分布上看,左心耳隔绝在术后中远期获益逐件凸显,且有越来越显著的趋势。这证实了左心耳隔绝预防卒中和系统性栓塞时间的效果持久,这种获益将是持续终生的。目前国际上多项指南对于接受心脏手术的房颤患者更多地推荐同期进行左心耳干预,推荐级别也逐渐提高。

左心耳隔绝途径包括外科和介入两种方式。其中,介入封堵器材直接与血液接触,存在器械性血栓、术后需较长时间接受抗凝治疗、治疗费用高等问题。同时,受左心耳个体化形态差异因素影响,部分患者无法适用封堵。

左心耳夹闭是一种新型的外科隔绝技术,经心外膜闭合左心耳,不直接接触血液、无器械性血栓风险,适用于不同形态及开口的左心耳,同时可以降低患者长期服用抗凝药的出血风险和高昂费用。在获得足够的临床证据后,FDA于2019年扩展了对该技术的效用认证,增加了对其实现左心耳电隔离的认可。

产品介绍:

此次研究的申办方北京领健医疗科技有限公司与临床紧密配合,密切关注前沿医学技术发展,开发出具有国际领先技术的新一代经心外膜左心耳闭合系统V-Clip®

V-Clip®采用单端开口的V形闭合夹,具有良好的组织顺应性,可自适应组织的不规则结构而实现线性封闭。同时,产品的输送路径可实现11.8mm的导管兼容性,为全球同类产品最小。四键操作手柄、四向±50°调向设计可帮助术者快速可靠的实施左心耳闭合术。

V-Clip®是目前国内操作最简单、方便和最适合微创环境使用的安全左心耳闭合器械 ,特别是对于房颤治疗条件不佳需要单纯处理左心耳者是更为理想的方案。

张海波教授给予V-Clip®高度评价:“V-Clip®可单手操作,能够快速、安全、有效的捕获并闭合左心耳;便捷的操作显著降低左心耳干预的手术时间;同时,由于闭合夹单端开口,具备较小的输送路径,较高的可调自由度,免剪线脱载,V-Clip®不仅适用于开胸及小切口手术,还适用于全胸腔镜左心耳闭合术。”

图片


北京领健医疗科技有限公司成立于2018年,专注于国际先进水平心血管三类医疗器械的研发、生产和销售服务,为北京市知识产权试点单位、中关村高新技术企业、大兴区级研发中心,并获得北京市科技型中小企业荣誉称号。

“守护生命,引领健康”

领健医疗持续聚焦国际心血管领域先进技术,造福患者


阅读数: 1319