阳春三月,柳舞莺飞。厦门大学附属心血管病医院王焱教授团队,与云南省阜外心血管病医院潘湘斌教授团队,应用新一代国产介入二尖瓣缘对缘修复器械,分别为一名重度功能性二尖瓣反流(FMR)患者施行了经股静脉二尖瓣钳夹手术,患者术后恢复良好,常年胸闷气短的症状也得到很大改善。在这个春天,妙手仁心的医术与创新的医疗器械让患者重获新生。此次手术是申淇淇麟®经导管二尖瓣夹及可操控导引导管全国多中心注册临床试验FMR的首批入组。随后,该研究的DMR首例入组也在北部战区总医院顺利完成。FMR和DMR患者的入组标志着北部战区总医院韩雅玲院士主导的经导管二尖瓣介入治疗多中心注册临床研究正式开始。
【厦心FMR首例入组】
近日,厦门大学附属心血管病医院王焱教授团队为一名缺血性心肌病、ICD植入术后的终末期心衰患者成功施行了经股静脉二尖瓣钳夹手术。
病例概述:
患者简介:
患者,男,64岁,该患者1年前因急性心肌梗死于外院行急诊PCI手术,术后患者心功能差,优化药物治疗后仍频发室性心动过速,半年后植入ICD。近1年,二尖瓣反流不断进展,心衰症状反复,夜间不能平卧,血压偏低(95-80/55-40mmHg),多次因心衰就诊入院。
本次入院诊断:
冠状动脉粥样硬化性心脏病 缺血性心肌病 心功能不全IV级 心脏瓣膜病 二尖瓣重度反流。
入院后行TTE示:功能性重度二尖瓣反流(FMR4+),左心室及双房扩大,LVD 70mm LA 48mm RA 46mm LVEF 34%,左室壁运动不协调且搏动幅度普遍减低。
行TEE示:功能性重度二尖瓣反流(FMR4+),二尖瓣口舒张期几何面积 4.73cm²、收缩期二尖瓣口偏心性反流束缩流颈宽度7.4mm、PISA定量瓣口EROA=0.45cm²。STS评分11.733%。
经王焱教授领衔的结构性心脏病团队评估,使用微创二尖瓣缘对缘修复手术,改善重度二尖瓣反流是目前最佳治疗方案。
手术过程:
· 患者平卧导管床,全麻成功后,送入经食道心超(TEE)探头到位。
· 常规消毒、铺巾,穿刺右侧颈内静脉置管,穿刺左侧桡动脉测压。
· 之后,穿刺右侧股静脉,置入7F静脉鞘。于TEE指导下穿刺房间隔,TEE及透视确认穿刺针位于左房后,交换房间隔穿刺导管至左房,再予Super stiff导丝置入左上肺静脉。退出房间隔导管后予16F预扩张鞘扩张右股静脉皮下。经右股静脉鞘沿Super stiff导丝送入申淇淇麟®可操控导引导管于左房。于TEE及透视指导下,推送申淇淇麟® 经导管二尖瓣夹及输送系统(长宽型号)至二尖瓣左房面,TEE确认12点钟方向推送瓣膜夹至二尖瓣左室面,重新调整输送手柄使瓣膜夹支撑臂至12点钟方向。顺利捕捉二尖瓣前叶A2及后叶P2区域,锁定后完全关闭瓣膜夹。
· TEE评估二尖瓣反流由MR4+减少至1+,确认瓣叶夹持牢固及有效长度后,释放瓣膜夹,二尖瓣压差2mmHg,未见右向左分流,退出申淇淇麟®经导管二尖瓣夹及可操控导引导管。
· 予8字缝合右侧股静脉穿刺处。
· 患者术后即刻麻醉清醒,血压维持在100/60mmHg, 胸闷,呼吸困难症状明显缓解。
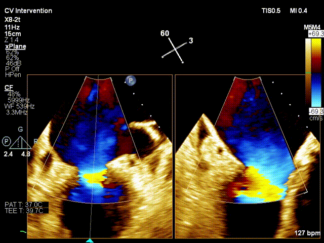
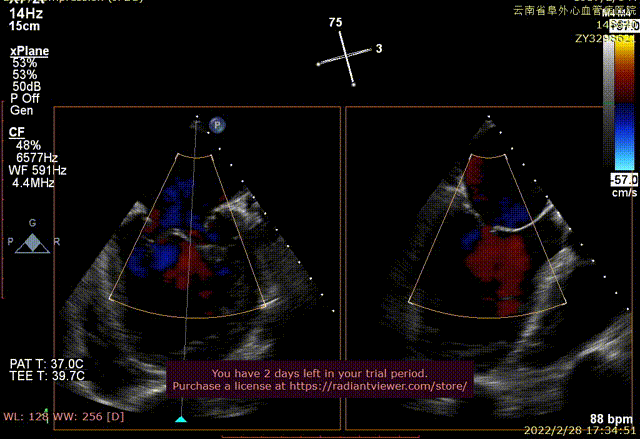
术前xPlane view提示:二尖瓣重度反流
术后xPlane view提示:二尖瓣反流显著减少
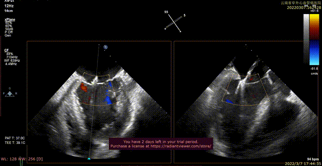
术前3D view提示:二尖瓣重度反流
术后3D view提示:二尖瓣反流显著减少
自经股静脉二尖瓣钳夹技术在国内获批应用以来,厦门大学附属心血管病医院在该领域不断创新,承担和主持多项该领域全国性大规模临床研究,常态化为危重心脏瓣膜病实行手术治疗。此次在为这位终末期心衰患者成功施行微创二尖瓣修复手术,有望改善这位患者的预后和生活质量,也给广大二尖瓣反流的心衰患者带来了福音。
【云阜FMR首例入组】
近日,云南省阜外心血管病医院潘湘斌、潘家华教授团队为一名慢性心功能不全急性加重的患者成功施行了经股静脉二尖瓣钳夹手术。
病例概述:
患者简介:
患者为65岁男性,4月前无明显诱因出现胸闷气促,于外院多次就诊诊断为心力衰竭,功能二尖瓣反流重度,心房颤动,规律服用指南推荐抗心衰治疗药物(GDMT),并达到最大耐受剂量,活动时仍间断出现胸闷气促,且二尖瓣反流重度。
本次入院诊断:
慢性心功能不全急性加重,心脏扩大,心房颤动,心功能II-II级(NYHA分级),高血压3级。
经胸超声检查提示:二尖瓣重度关闭不全4+,三尖瓣轻度关闭不全,LVESD 55mm,LVEDD60mm,LVEF 45%,二尖瓣反流口VC 11mm,EOA7.6cm²。
经食道超声检查提示:前瓣长度29mm,后瓣长度11mm,瓣叶及瓣环无钙化,对合深度9mm,对合高度3mm,属于Carpentier 1型二尖瓣反流。
由于在最佳药物治疗1个月以上的情况下,二尖瓣反流仍无明显减轻,且临床症状显著,不能平卧,反复心衰发作病史,同时患者合并房颤、高血压等多种并发症,经过心脏团队多学科讨论,决定行经导管二尖瓣缘对缘修复手术。
手术过程:
申淇淇麟®经导管二尖瓣夹及可操控导引导管是由上海申淇医疗科技有限公司研发的具有完全自主知识产权的瓣膜介入修复系统,该系统的核心技术参数对标国际最新一代经导管缘对缘修复系统,其输送系统具备在三个方向稳定调弯,并且拥有多型号力学优化的二尖瓣夹设计及瓣叶独立捕获能力。该系统的问世为我国广大的二尖瓣反流患者提供了更多新的治疗选择。相信在韩雅玲院士的指导下,通过此次临床研究,能够充分验证该系统的安全性和有效性,让国产创新医疗器械更早、更多地惠及中国患者。
专家简介
王焱
厦门大学附属心血管病医院
厦门大学附属心血管病医院院长;香港大学医学博士、教授、主任医师、博士生导师;美国心脏病学院会员(FACC);欧洲心脏病学会会员(FESC);国际心血管介入学会会员(FSCAI);中华医学会心血管分会委员;中国胸痛中心认证委员会副主任委员;中华医学会心血管病学分会介入心脏病学组副组长、海峡两岸医学卫生交流协会心血管病分会候任主任委员,国家卫生健康突出贡献中青年专家,具有丰富的临床工作经验,从事心血管系统疾病的诊治,在冠状动脉、外周血管疾病及心脏瓣膜疾病诊治方面有很高造诣。
潘湘斌
中国医学科学院阜外医院
中国医学科学院阜外医院院长助理,云南省阜外心血管病医院执行院长,华中阜外医院总院长助理。
复合型心血管病专家,发明15项世界首创技术,获得25项国内外专利,多项产品在国内外上市,以中国技术、中国产品构建了具有完全自主知识产权的中国方案。其发明成果以巨大的优势的到国际同行广泛认可,受聘担任美国胸外科医生协会(STS)、心血管介入协会(SCAI)及美国心脏病学院(ACC)外籍资深专家;多次受邀赴法国、英国、俄罗斯、加拿大、土耳其、肯尼亚等二十多个国家和地区现场演示手术,多次出色完成国家医疗外交任务;其主编的教材被欧美专家翻译成英文,培养了来自美国、德国、日本、土耳其等三十余个国家的学员,成规模、成体系地向世界输出中国方案。

