2022年3月,中国人民解放军北部战区总医院顺利召开了申淇淇麟®经导管二尖瓣夹及可操控导引导管FMR(功能性二尖瓣反流)和DMR(退行性二尖瓣反流)两项上市前注册临床试验启动会,标志着由韩雅玲院士牵头的两项全国多中心研究正式开启。近日,北部战区总医院韩雅玲院士所在学科的结构性心脏病团队顺利完成了全国注册临床试验DMR的首例患者入组工作,拉开了此项多中心研究患者入组的序幕。
2022年3月30日,经过术前充分的评估和准备,由韩院士领导,在麻醉科和心外科的大力支持下,心血管内科徐凯教授、周微微教授、王斌教授、孙鸣宇教授在美国西奈山医疗系统Dr. Gilbert Tang教授线上指导下,运用全新一代经导管二尖瓣缘对缘修复系统 – 申淇淇麟®系统,成功为一位高龄退行性二尖瓣反流患者成功实施了股静脉途径经导管二尖瓣介入修复术。团队配合密切,手术过程顺利,获得成功,标志着申淇淇麟®全国多中心注册DMR临床试验的正式开启。
患者基本信息
入组患者为86岁男性,既往有肾功能不全、上消化道出血以及脑梗塞病史,常有活动后胸闷气短,此次主诉“反复发作胸闷气短”入院,仅能缓慢行走20米。
术前经胸超声显示:双房扩大,二尖瓣后叶脱垂伴重度反流(反流量4+),中度肺动脉高压。EF 62%,VC 6.8mm,EROA 0.63cm²,MVA 4.9cm²。
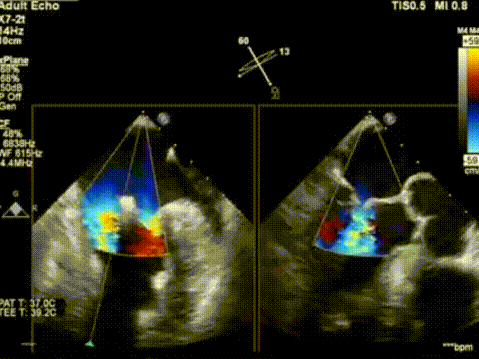
经食道超声显示(术前):二尖瓣P2脱垂,前叶长度19mm,后叶长度13mm,脱垂宽度为12m,脱垂高度为9mm,反流量4+。
诊断:心脏瓣膜病,二尖瓣脱垂伴重度关闭不全。
经心脏团队讨论评估该患者STS 评分8.6%,外科开胸手术高危。为使患者尽快得到有效救治,经韩雅玲院士会诊后决定采用申淇淇麟®经导管二尖瓣夹及可操控导引导管,在心脏超声指导下施行经皮二尖瓣钳夹术。

术前TEE显示二尖瓣重度反流,反流位置位于A2/P2区
患者全麻后,在经食道超声心动图和X射线引导下,经股静脉入路,将申淇淇麟®系统瓣膜夹顺利送至二尖瓣A2/P2区域,经调整位置使瓣膜夹垂直对合缘,跨瓣,应用单瓣叶独立捕获功能,成功地分别捕捉二尖瓣前叶和后叶,经超声心动图反复确认瓣叶夹持牢固,反流量降至1+。遂释放瓣膜夹,超声心动图评估瓣膜夹位置和功能良好,瓣膜夹活动度低,手术顺利完成。

术后TEE显示,二尖瓣夹植入后反流减少
术后患者恢复良好,第二天即可下地活动,胸闷气短症状完全消失,能够连续独立行走距离达到400米以上。当韩雅玲院士查房时,患者激动地说到:“是你们用先进的技术给予了我第二次生命。”
术后韩雅玲院士查房
二尖瓣病变是发病率最高、介入治疗难度最大的瓣膜疾病。据不完全统计,我国二尖瓣病变潜在患者人数逾千万,治疗缺口极大。同时,由DMR及FMR二尖瓣关闭不全构成的复杂二尖瓣反流疾病谱,也大大增加了该类瓣膜病变治疗难度。介入二尖瓣诊疗器械的研发已成为全球心血管介入诊疗领域的热点及难点,而目前唯一成熟的介入二尖瓣技术便是经股静脉途径经导管二尖瓣缘对缘修复(TEER),以雅培的MitraClip™系列产品为代表,其已被FDA、CE和NMPA批准用于包括DMR及FMR的全二尖瓣反流疾病谱病变,临床技术体系已然成熟。
申淇淇麟®经导管二尖瓣夹及可操控导引导管是由上海申淇医疗科技有限公司研发的具有完全自主知识产权的瓣膜介入修复系统,该产品已于2021年9月通过《创新医疗器械特别审查程序》,进入国家药监局创新产品"绿色通道"。该系统的核心技术参数对标国际最新一代经导管缘对缘修复系统,其输送系统具备在三个方向稳定调弯,并且拥有多型号力学优化的二尖瓣夹设计及瓣叶独立捕获能力。该系统的问世为我国广大的二尖瓣反流患者提供了更多新的治疗选择。韩雅玲院士牵头的申淇淇麟®经导管二尖瓣夹及可操控导引导管FMR注册临床试验前期已由厦门心血管病医院王焱教授团队和云南省阜外心血管病医院潘湘斌教授团队启动入组。随着此例DMR患者首例入组的成功完成,相信通过这两项临床研究,能够充分验证该系统的安全性和有效性,让国产创新性医疗器械更早、更多地惠及中国瓣膜病患者。
专家简介
韩雅玲
北部战区总医院
中国工程院院士,著名心血管病专家。现任北部战区总医院全军心血管病研究所所长、心血管内科主任。中华医学会心血管病学分会主任委员、中国医师协会全科医师心血管诊疗能力提升工作委员会主任委员、辽宁省医师协会会长、国家心血管中心专家委员会副主任委员兼冠心病质控中心专家委员会主任委员、《中华心血管病杂志》、《Cardiovascular Discovery》杂志及《临床军医杂志》主编。从事复杂危重冠心病的临床治疗、教学与研究工作40余年,为提高我国危重复杂冠心病救治水平做出了重要贡献。以第一完成人获得国家科技进步二等奖2项、何梁何利基金科技进步奖1项,发表论文900余篇,其中在JAMA 等SCI期刊发表论著210余篇,主持发表心血管病相关指南/共识及专家建议32项。曾被评为全国优秀科技工作者、全国“三八”红旗手、中国发明创业奖特等奖。荣立一等功、二等功各1次、三等功7次。是中国共产党的十六大代表和第11届~13届全国政协委员。
