引言
法国医生Cribier教授自2002年首次报道TAVR以来,在20年的时间里,其安全性和有效性被不断的得到验证,目前已经成为高龄、高危且症状较为明显的主动脉瓣狭窄患者的标准治疗方案。而在中国,主动脉瓣反流的患者要多于狭窄的患者,对于重度反流且高龄高危的患者而言,开胸手术有很大的风险或明确的禁忌症。普通的长支架瓣膜仅具备治疗主动脉瓣重度狭窄的资质,因此在治疗反流方面是off-label的。J-Valve具有国际专利的定位件设计,因此可以对抗舒张期升主动脉内的反向血流压力,将瓣膜牢牢的锚定在瓣环处而不用担心会被冲入左室的风险。另外,当患者存在横位心的情况,即主动脉根部角度大于45°时,如何保证介入瓣膜植入后良好的同轴性对TAVR的成败和效果也十分重要。
临床资料
患者,男,73岁。主诉:反复活动后呼吸费力20余天。
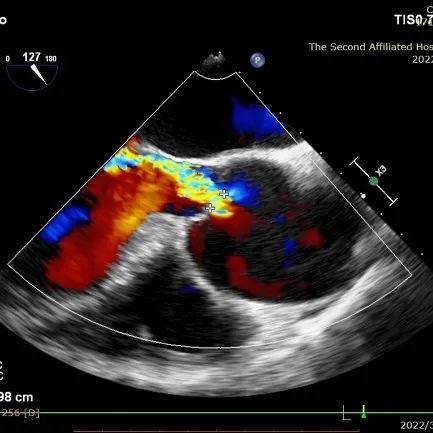
现病史:患者20余天前在上四层楼后出现呼吸费力,无胸闷胸痛,平地行走时无发作,伴咳嗽咳痰,为白色粘痰,无咯血,无恶心呕吐,无头痛头晕等,遂至外院呼吸内科住院治疗,诊断为“社区获得性肺炎”,予哌拉西林他唑巴坦钠针联合多西环素胶囊抗感染等治疗,查心脏B超示“主动脉瓣中~重度反流”,建议手术治疗,为求进一步治疗,遂来温州医大科学附属第二医院门诊就诊,并拟“心脏瓣膜病”收住入院。
治疗方案:经心尖TAVR(J-Valve)
术前CT评估
1.患者主动脉瓣三叶式,瓣叶基本等大,瓣叶增厚,瓣叶游离缘轻微钙化。
2.患者主动脉瓣环周长折算直径约25.4mm。
3.患者双侧冠脉开口高度可LCA:12.1mm,RCA:24.3mm。
4.患者术中造影角度LAO:1°,CAU:15°。
5.主动脉根部及升主动脉增宽。
6.左室流出道稍有突出。
主动脉瓣环直径:25.4mm
左室流出道直径:24.2mm
主动脉窦部增大(右窦:44.4mm)
窦管交界扩张:49.7mm
升主动脉增宽:46.9mm
瓣叶、窦内及周围无明显钙化
左冠脉开口高度:12.1mm
右冠脉开口高度:24.3mm
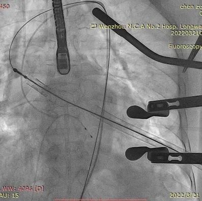
术中DSA参考投照角度:LAO 1°,Caudal 15°
主动脉瓣环平面水平夹角65°
手术过程
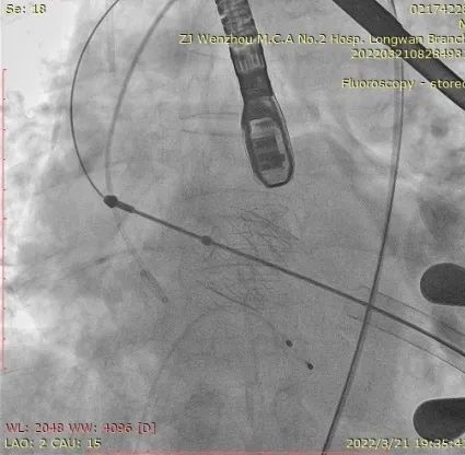
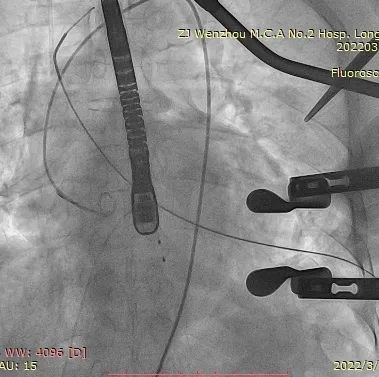
经股静脉置入临时起搏器,并经股动脉植入6F猪尾管。行第五肋间小切口并在心尖部缝制荷包。穿刺心尖后进泥鳅导丝过主动脉瓣经过主动脉弓到达降主动脉膈肌水平。单弯管交换硬导丝后,用16F扩张鞘预扩心尖穿刺处,后将 J-Valve瓣膜(27mm)装入输送器并经心尖穿刺处推送至主动脉根部,释放定位件,并微调角度使其入窦,后完全释放瓣膜,撤出输送器。通过DSA和TEE观察人工瓣膜膨胀后金属支架的形态、位置,有无瓣周漏。撤出导丝,收紧心尖处荷包线并打结,后鱼精蛋白中和肝素,彻底止血,逐层关胸,封皮,拔出股动脉鞘并在股动脉穿刺处压迫止血。手术过程顺利,患者生命体征平稳。
术中影像监护与评估(DSA&TEE)
瓣膜释放泥鳅导丝和单弯管过弓
加硬导丝建立轨道
介入器过瓣环平面
释放定位件
瓣膜入座
瓣膜自膨
松开锁丝,撤出输送器
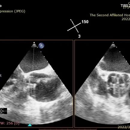
DSA和TEE显示无瓣周漏,瓣膜位置、形态良好
结果
DSA和TEE显示J-Valve瓣架形态、位置良好,瓣叶开放活动度正常,收缩期前向血流通畅。术后一天患者精神状态良好。
讨论
主动脉角度指水平面和主动脉瓣瓣环平面之间的夹角。主动脉角度过大会增加TAVR手术难度,影响其手术效果。吴连拼教授团队考虑到该患者的主动脉角度偏大(65°),属于横位心,尚若采用经股路径则可能需要利用圈套器配合,保证其顺利过弓,但也很难使瓣膜位于主动脉瓣环的中央位置,这不仅增加了手术难度和时间,术后出现瓣周漏的概率也较大,于是决定使用J-Valve行经心尖TAVR。其优点在于:1)导丝顺行跨瓣,且时间短,5秒内即可完成跨瓣;2)输送路径短,只要术前在DSA下选择好经心尖路径,可以保证瓣膜较好的同轴性,同时降低了手术难度。因此J-Valve的经心尖路径在横位心患者的TAVR手术中有着无可比拟的绝对优势。
该患者为重度AR,其主动脉瓣的虚拟瓣环内径为25.4mm,按照常规J-Valve在AR时的选瓣原则(Oversize),选择外径为27mm的J-Valve较为合适。但该患者的主动脉根部较膨大(窦部最大内径为44.4mm,窦管交界平均内径为49.7mm,升主动脉平均内径46.9mm),如果选择29号的瓣膜可能使定位件的展开更为充分,进而增加其对瓣叶夹持力度。然而该患者的左室流出道内径为24.2mm,29mm的瓣膜相对过大,增加了房室传导阻滞的发生概率。因此,术前考虑到上述可能出现的情况和风险,吴连拼教授团队决定选用27mm的J-Valve作为该患者的理想介入瓣膜。术后的影像学表现也证明上述选择是正确的,即瓣膜锚定牢固,展开充分,没有瓣周漏和房室传导阻滞的发生,患者的血流动力学得到了较高的改善。
小结
吴连拼教授团队通过经心尖TAVR对一位高龄、主动脉瓣重度关闭不全的横位心患者进行了救治,术前讨论、准备充分,手术过程顺利,术后患者恢复良好,这体现了吴教授及该团队的综合实力,也为这类主动脉角度较大、同轴性不佳的病例积累了宝贵的经验。
专家简介
吴连拼
温州医科大学附属第二医院
男,1976年4月出生于浙江苍南,医学博士,心血管内科主任医师,博士研究生导师,历任温州医科大学附属第二医院医务处处长、纪委书记,现任温州医科大学附属第二医院副院长、心内科学科带头人。中国医师协会浙江心血管医师分会副会长,中国心胸血管麻醉学会基础与转化医学分会常委,中国研究型医院学会心力衰竭专业委员会常委,中华医学会浙江省医学会心血管病学分会常委,中华医学会浙江省医学会介入心血管病学分会常委,中华医学会浙江省医学会心血管病学分会心肌疾病与遗传性心肌病学组组长。日本宫崎大学、美国范德堡Vanderbilt大学访问学者。从事医、教、研工作24年,获浙江省科技进步奖二等奖一项,中国中医药协会中医药科技奖二等奖一项,浙江省医药科技创新奖两项。获评“《中国医师报》第三届中青年心血管病学菁英(临床技术创新类)”、“浙江省医政工作先进个人”、“新疆维吾尔自治区优秀援疆医生”等荣誉。获“浙江好人”、“温州市道德模范”、“温州名医”等称号。
赵琦峰
温州医科大学附属第二医院
主任医师,外科学系副主任、心胸外科主任,硕士生导师。
浙江省心脏大血管疾病诊治技术研究中心副主任,浙江省卫生厅重点支撑学科-小儿外科学后备学科带头人。
中华医学会小儿外科分会心脏学组全国委员;中国妇幼保健协会胸外微创学组全国常委;中华医学会浙江省心胸外科分会常委;中华医学会浙江省小儿外科分会常委;中华医学会浙江省小儿心胸外科学组副组长;中华医学会温州市心胸外科分会副主任委员。
从事心胸外科工作27年,主要专业方向为各类心脏疾病及儿童胸科疾病的诊治。常规开展搭桥、瓣膜、大血管手术;常见先心病手术成功率达99%。曾成功救治出生仅24周700多克的早产儿心脏病患儿(为全国年龄、体重最小之一);运用ECMO技术挽救4月龄重症法洛氏四联症术后患儿生命。在浙南地区率先开展食道超声引导下介入治疗(零射线零创口)及微创漏斗胸、鸡胸矫治术。以通信作者、第一作者身份发表学术论文40余篇,其中SCI收录12篇。主持国家自然科学基金、浙江省自然科学基金,省科技厅、教育厅、卫生厅、温州市科技局课题多项。参与的课题获浙江省科学技术进步奖一等奖。
官学强
温州医科大学附属第二医院
温州医科大学附属第二医院心内科主任,医学博士,硕士研究生导师。温州市中华医学会心血管分会委员,浙江省中西医学会心血管分会青年委员,医促会心血管预防和治疗青委常委,医促会胸痛分会委员,中国CTO老伙计成员。2009年于澳大利亚墨尔本大学附属西部医院接受心血管临床专业训练。主要从事冠心病介入诊疗工作,擅长冠脉复杂病变和慢性闭塞病变介入治疗。
张新民
温州医科大学附属第二医院
心内科副主任医师,医学博士,浙江省医学会心血管分会青年委员,中华医学会温州心血管分会青年委员,温州心身医学分会双心学组成员,国家住院医师规范化培训重点专业基地专科导师。参与多项国家级、省部级课题,主持厅局级课题两项,国内外发表学术论文10余篇,多次在国家级心血管会议做病例报告。



