2022年3月18日,大连市中心医院何学志主任、庄熙晶主任团队成功为重度主动脉瓣狭窄患者进行经导管主动脉瓣置换术(以下简称“TAVR”),在心脏超声科、麻醉科、影像科等多学科团队的密切协作下,大连市中心医院TAVR团队独立在全麻下应用VenusA-Plus®为一例横位心、自杀左室、二叶瓣式主动脉瓣狭窄患者挑战肋间小切口升主入路进行TAVR手术。术后评估冠脉显影良好、各项参数满意,手术圆满成功,从根本上解决了困扰患者多年的痛苦,为患者的寿命及生活质量均带来极大获益。
患者女性,67岁,1年前活动后出现心悸,心前区不适,伴有气短,偶有晕倒,1个月以来患者自觉乏力,活动明显受限,来我院门诊就诊,行心脏超声检查提示主动脉瓣钙化合并重度狭窄。
何学志主任、庄熙晶主任团队对其病变进行深入剖析,多维度评估。考虑到该患者高龄,瓣膜及根部解剖结构复杂,主动脉弓部结构特殊,选择经股动脉和经颈动脉入路的TAVR均有很大挑战。而外科生物瓣膜无匹配型号,开胸手术风险较大,手术效果恐有不佳,结合患者拒绝开胸手术的意愿,外科手术亦不合适。
综合考虑为该患者行经升主动脉入路TAVR手术。
瓣环平均直径:18.5 mm,左室流出道平均直径:18.6 mm
主动脉根部:TYPE0型二叶瓣,瓣叶增厚,中度钙化,钙化主要集中在瓣叶上,瓣环及流出道可见钙化延伸,右冠高度约12.3mm,左冠高度约 13.1mm,法式窦结构较小,STJ高度约19.5mm,直径约29.7mm,升主动脉可见增宽,最宽处约43.5mm,心脏角度呈横位,约 76°,建议备Snare,心肌肥厚,左室较小(自杀左心室),存在循环奔溃风险,建议术前及术中注意补液,工作体位:CRA:29°。不建议预扩,标准位释放。入路:主动脉弓部走行迂曲,角度约83°,无名动脉、左颈动脉、左锁骨下动脉起源自主动脉弓部,未见发育变异,降主动脉走形较平直, 管腔未见狭窄,双侧股动脉走形较平直,管腔未见狭窄,左侧股动脉分叉在股骨头下缘处,右侧股动脉分叉在股骨头下1/3处。
升主动脉准备:


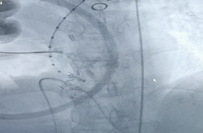
瓣膜释放完成

在影像、超声的共同指引下,术者团队通过调整输送系统至最佳位置实现精准释放,患者跨瓣压差即刻显著下降。再行主动脉造影提示瓣膜置入位置良好、形态完整,超声提示未见明显瓣周漏。术中及术后未出现相关并发症,圆满取得此次手术成功。